瑞穂区の歯医者・矯正歯科【すずき歯科・矯正歯科】|堀田駅徒歩3分|駐車場あり

瑞穂区の歯医者「すずき歯科・矯正歯科」

完全予約制

家族の健康 ここから。

名鉄堀田駅徒歩3分

〒467-0831
愛知県名古屋市瑞穂区惣作町1−29
診療時間
9:00-13:00 ×
14:00-18:00 ×

休診日:日曜・祝日

  • ファミリールーム

  • 託児フロア

  • オペ室

  • メインテナンス専用ルーム

  • カウンセリングルーム

  • 特別診療室

  • バリアフリー

院内について見る

歯やお口の健康を通し、
家族全員の
将来の笑顔を守る

「食べること」は、生涯にわたって続く大切な営みです。瑞穂区の歯医者・矯正歯科「すずき歯科・矯正歯科」はその営みを守るために、20年後・30年後を見据えた治療や予防ケアをご提供しています。

お子さまから親御さままで、ご家族皆さまで通っていただける環境を整え、地域のお口と身体の健康を支える歯医者です。

コンセプトについて見る

瑞穂区密着で40年以上

累計70万人以上の方に
ご来院いただいています

当院は、名古屋市瑞穂区に開業してから40年以上、これまでに延べ70万人以上の患者さまにご来院いただいています。ご家族全員で通ってくださることも多く、3世代にわたるお付き合いがあることも当院の誇りです。

これからも瑞穂区の「かかりつけの歯医者」として、皆さまのお口の健康をしっかりと支えます。

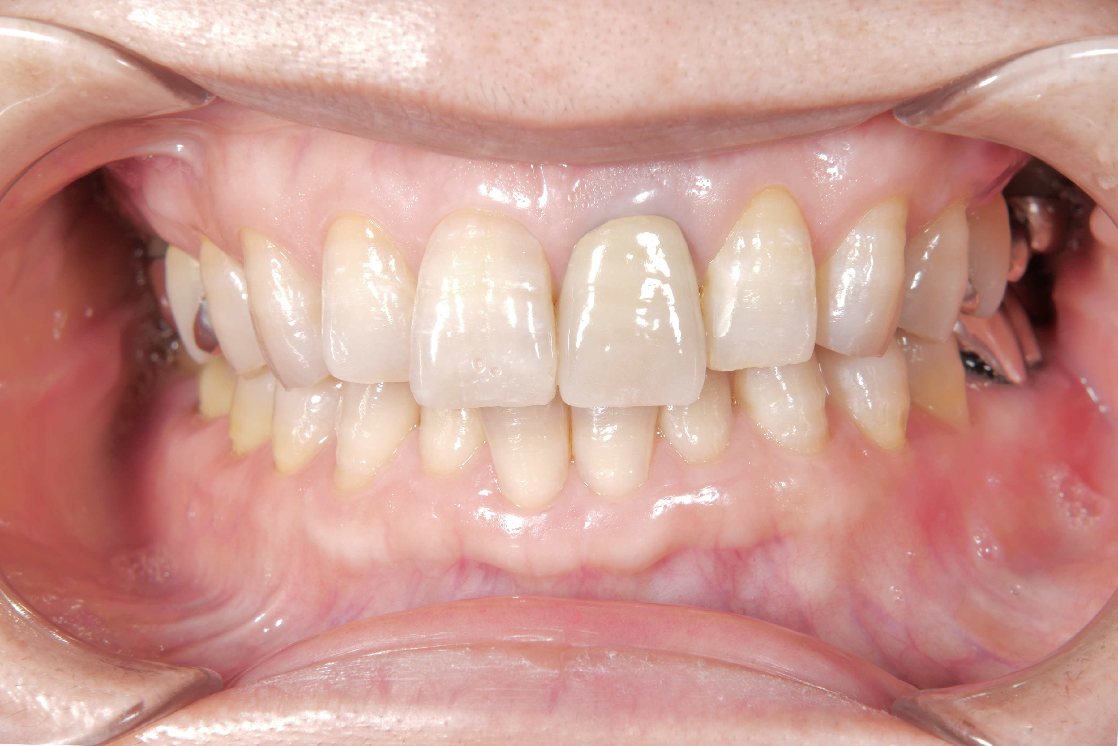
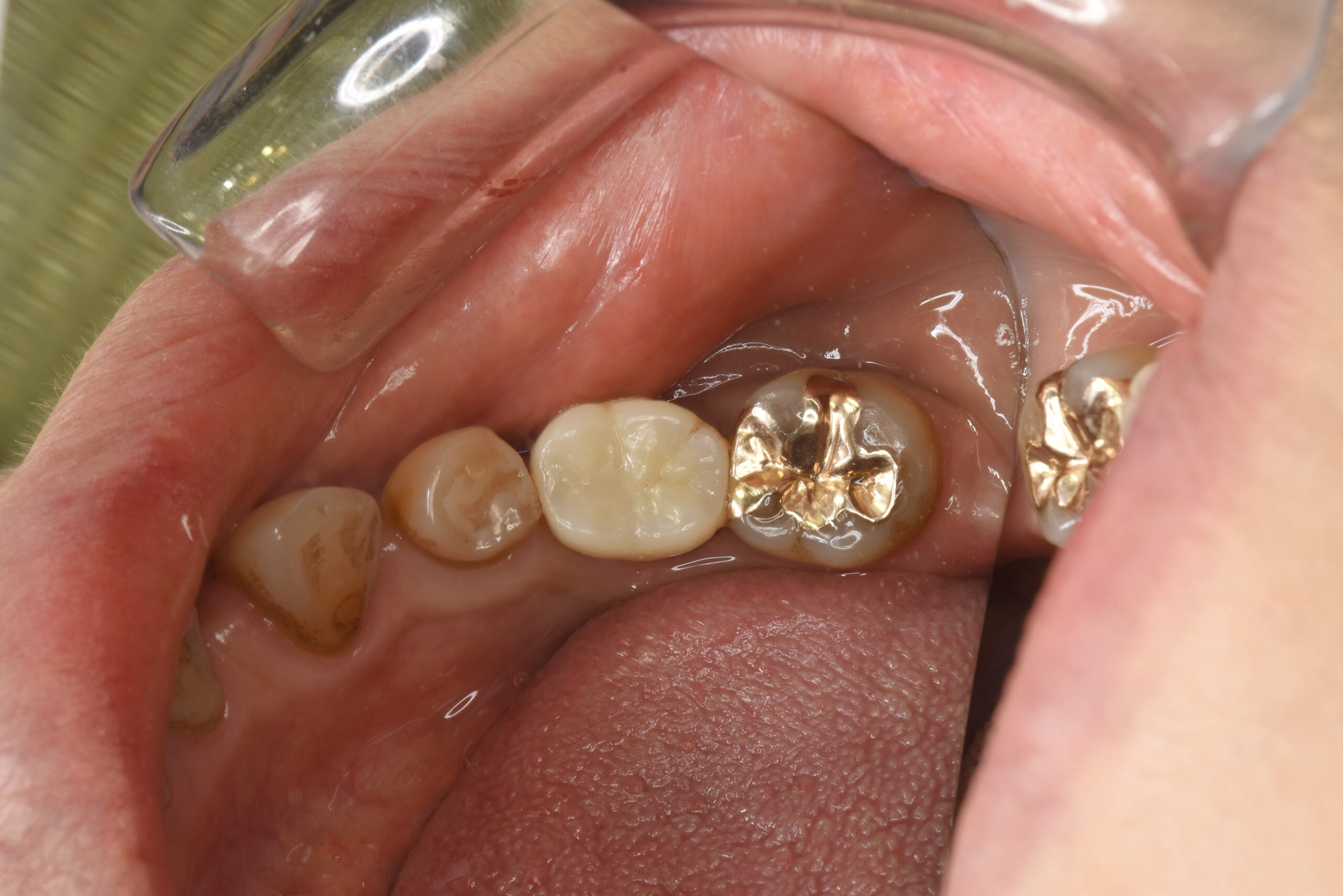
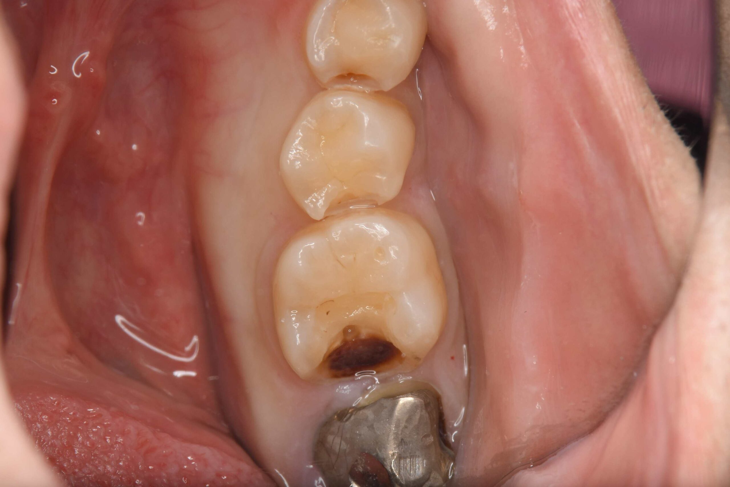
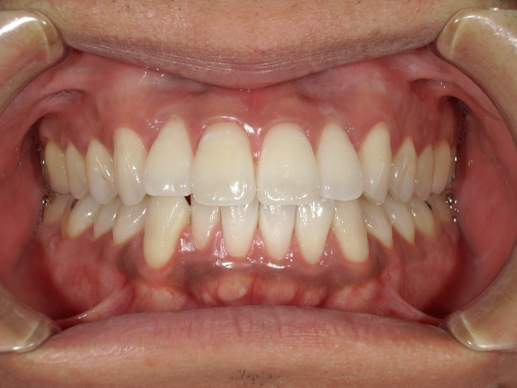
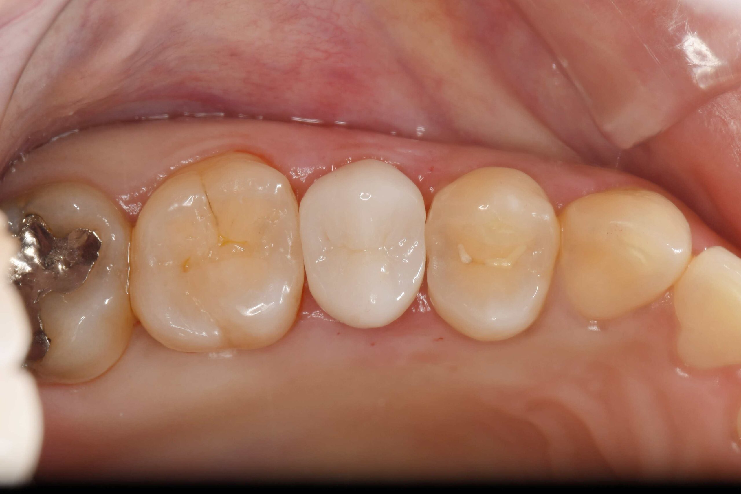
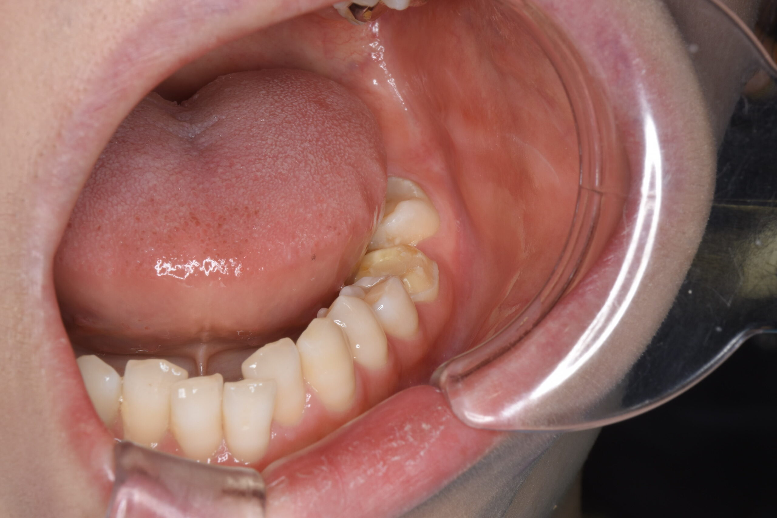
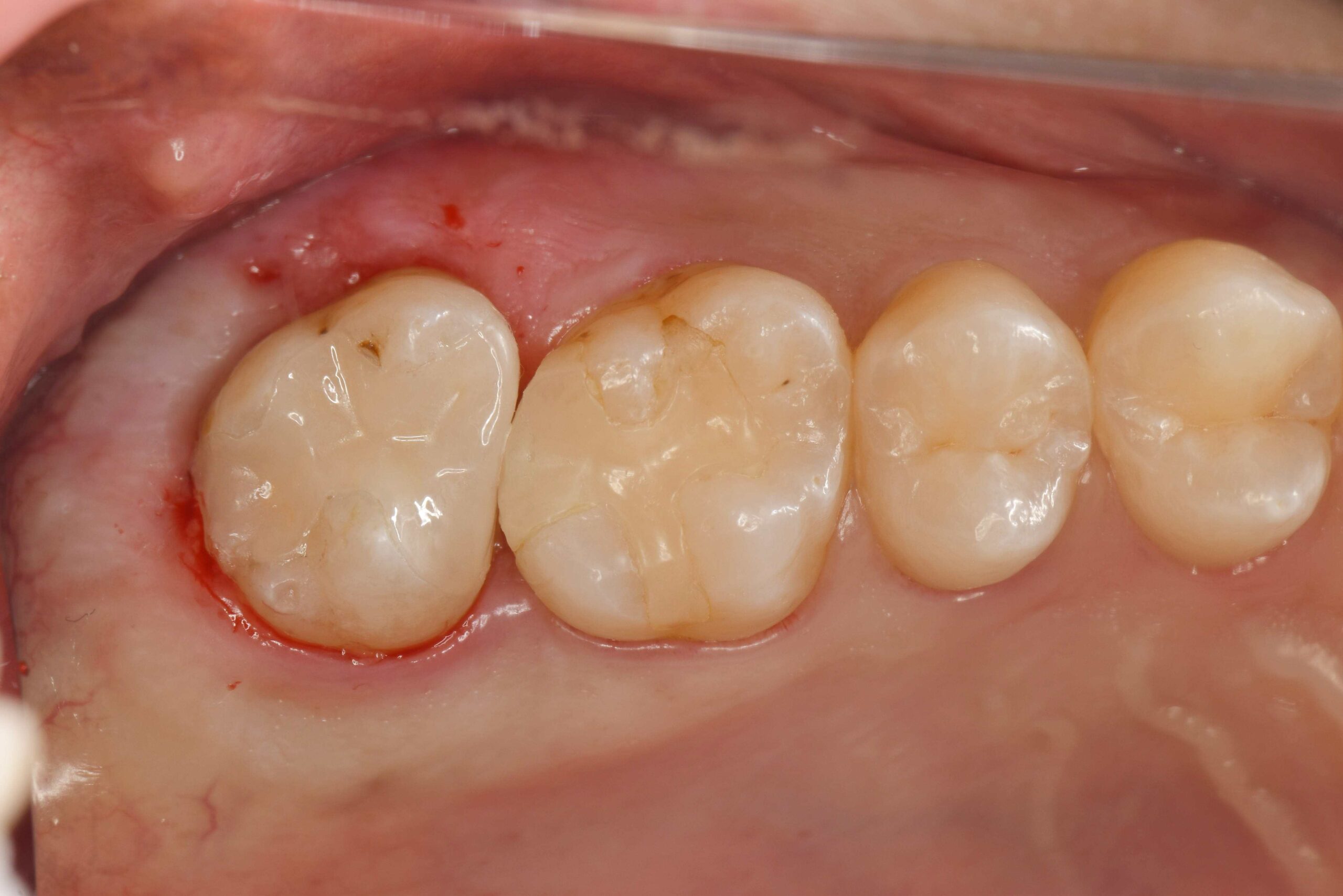
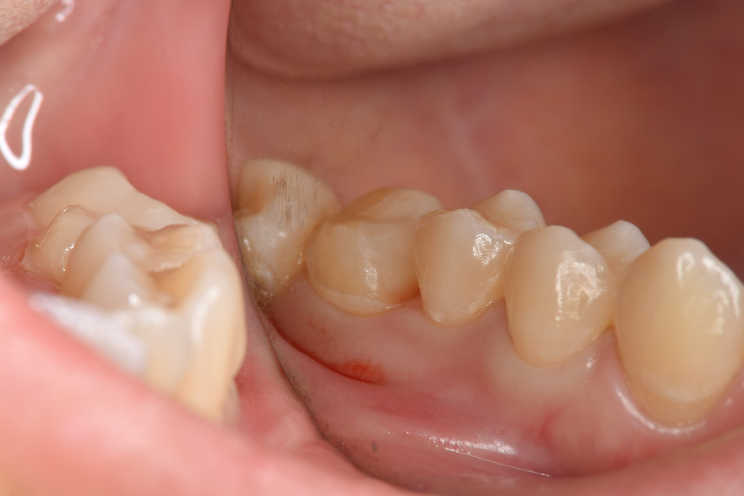
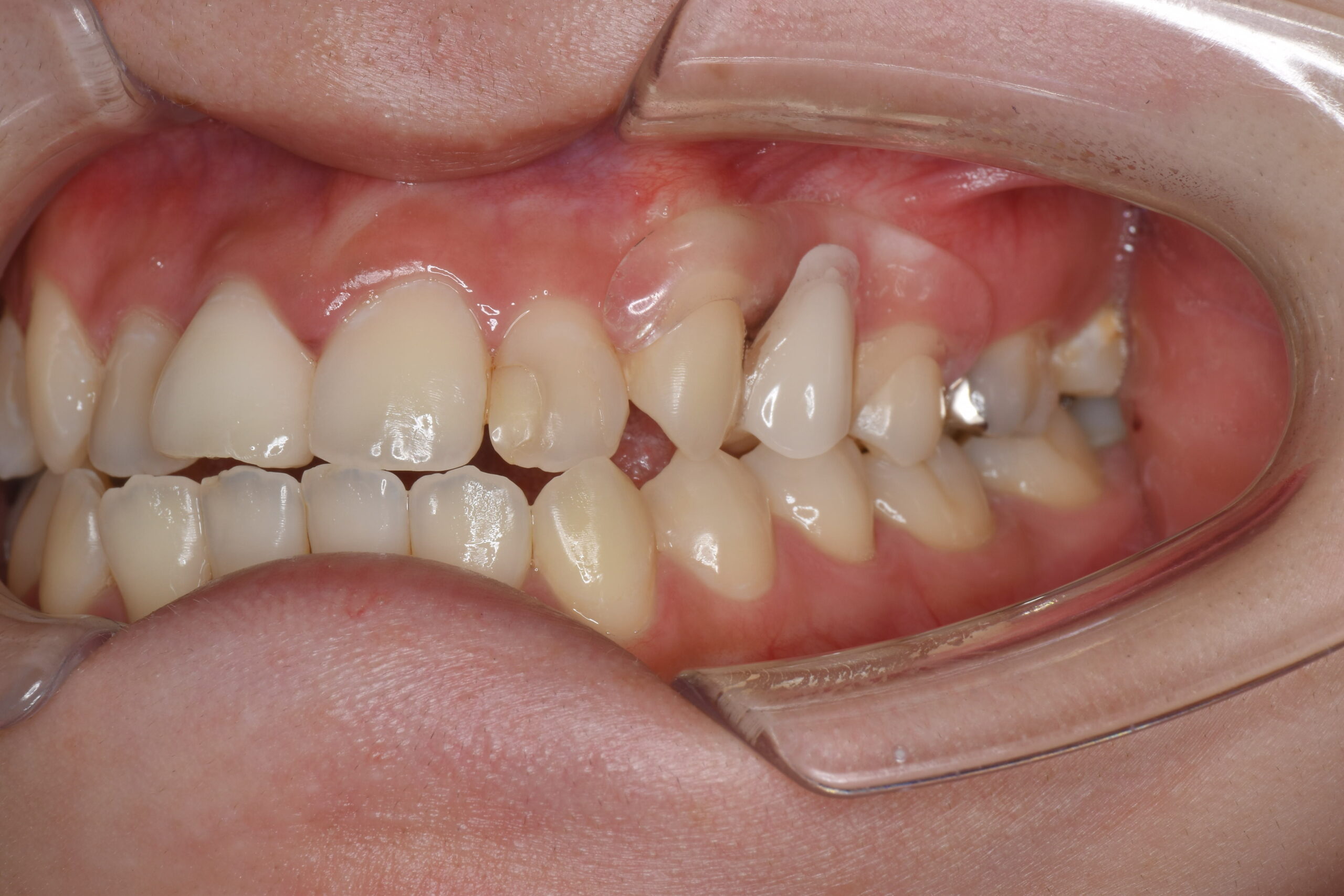
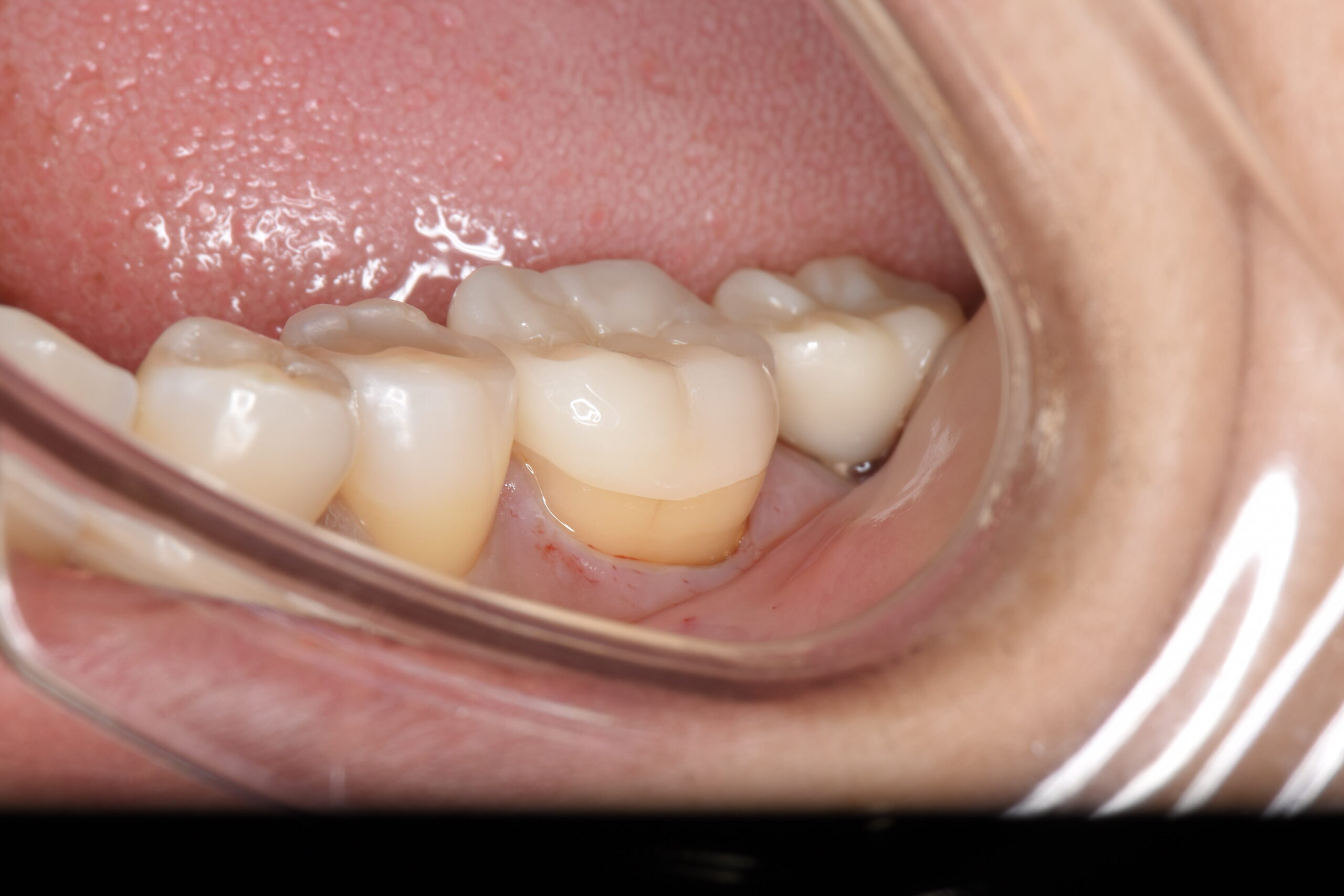
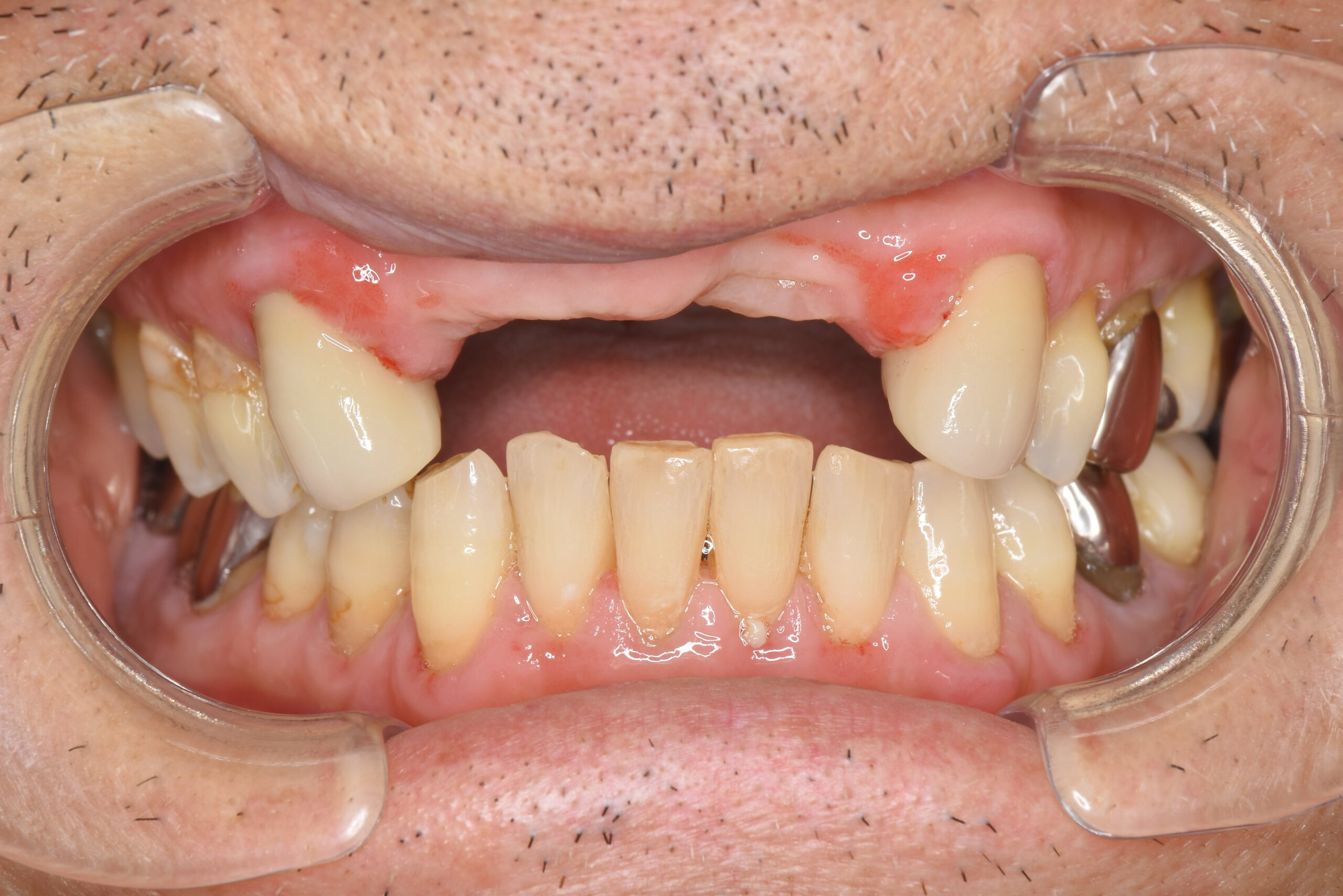
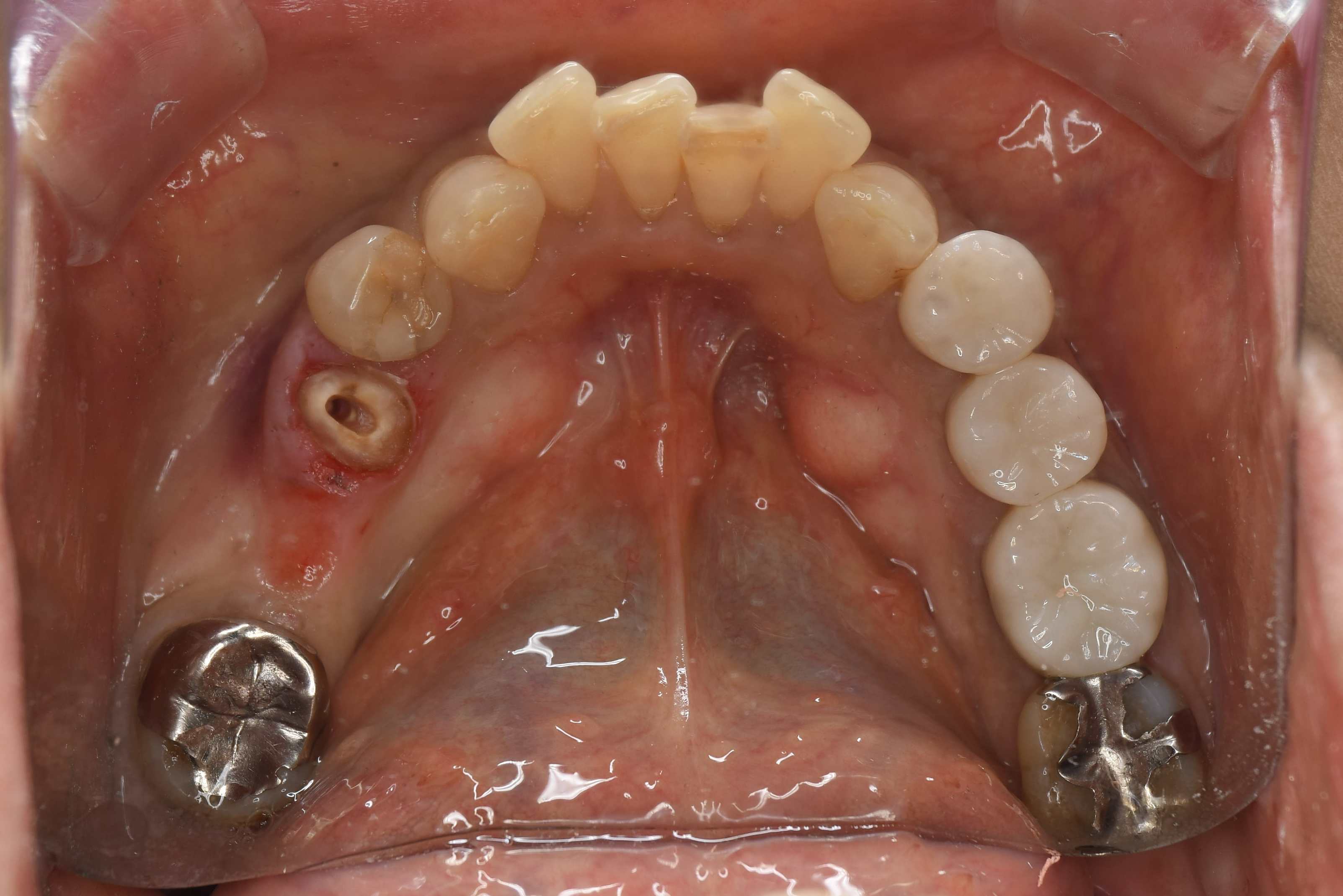
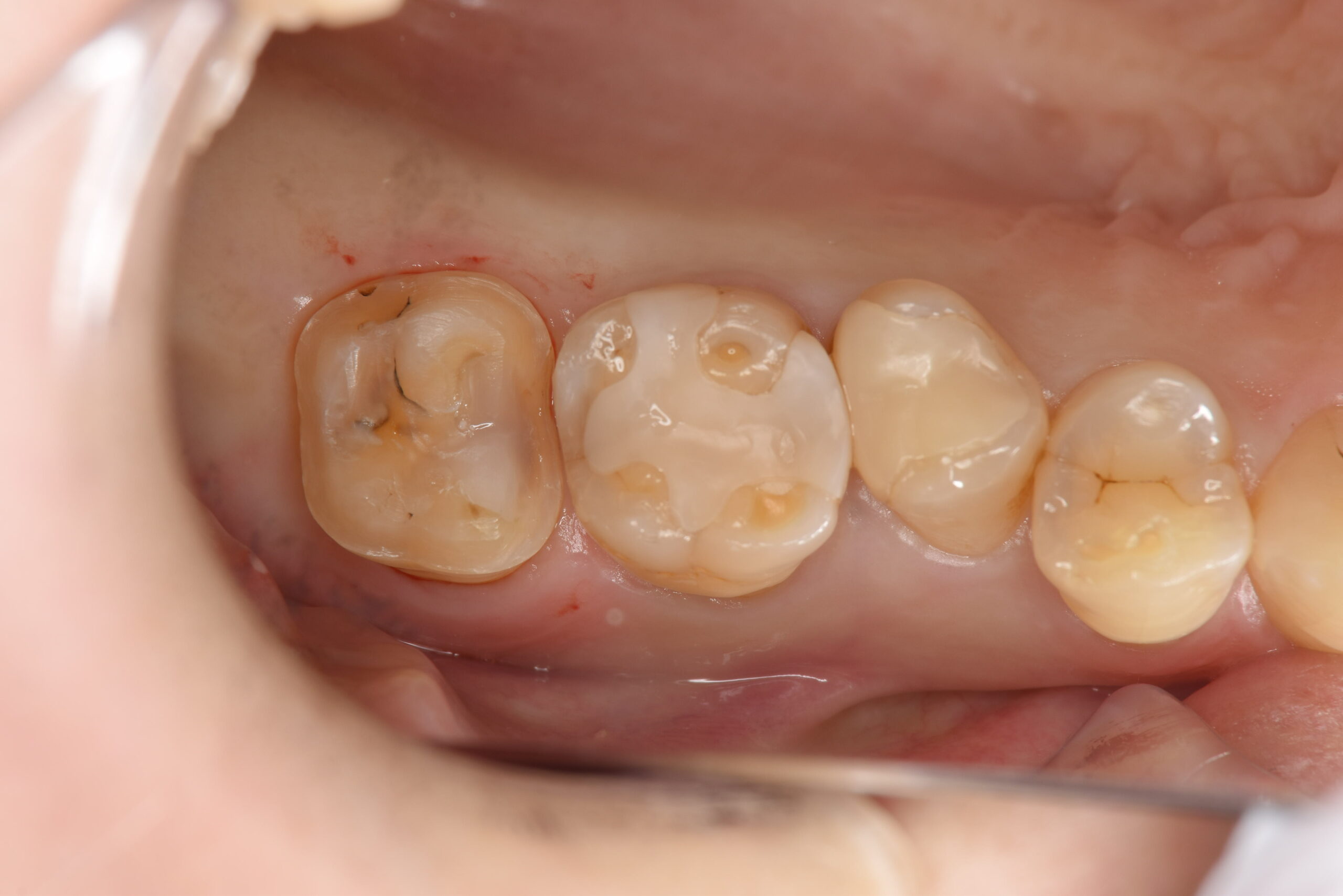
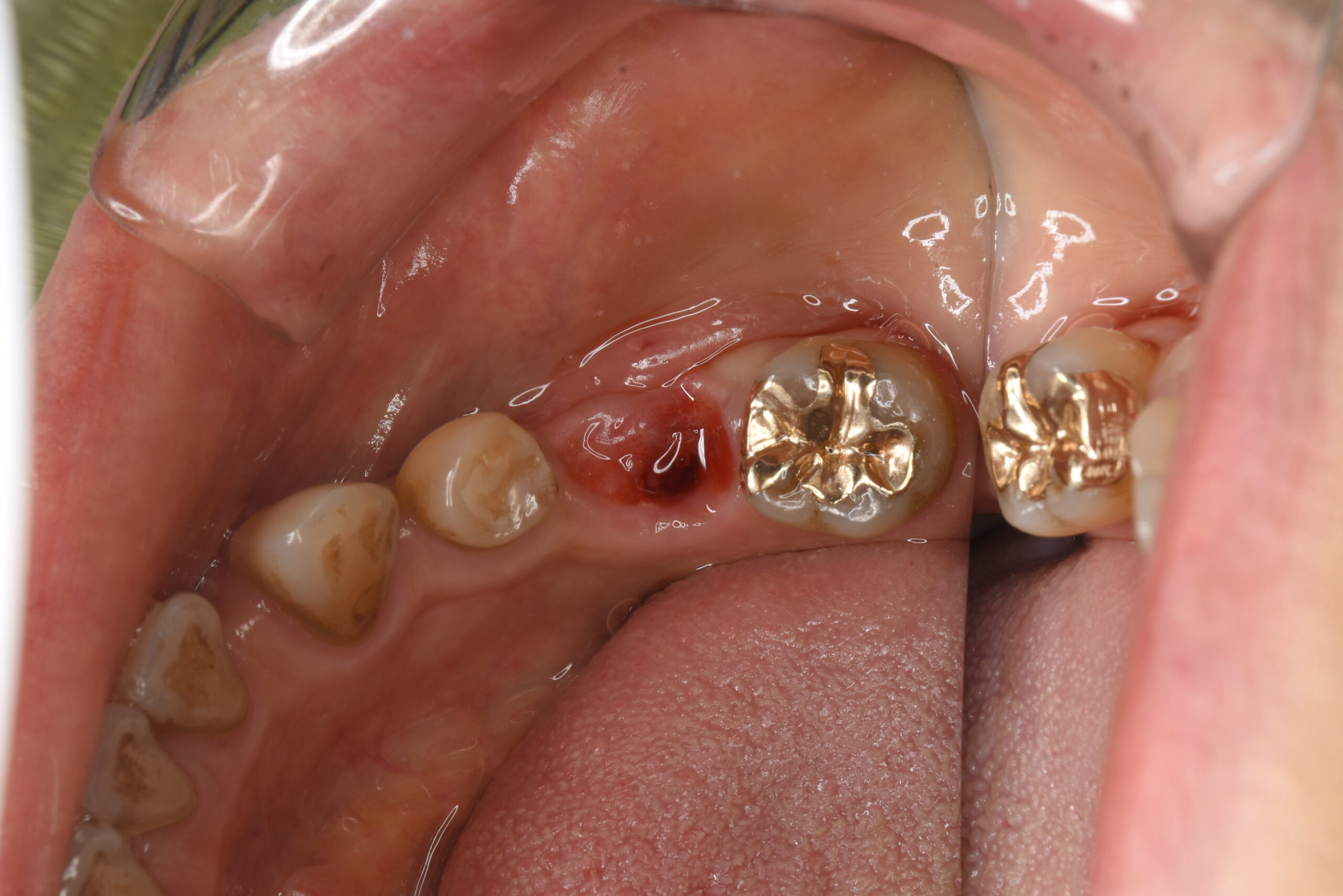
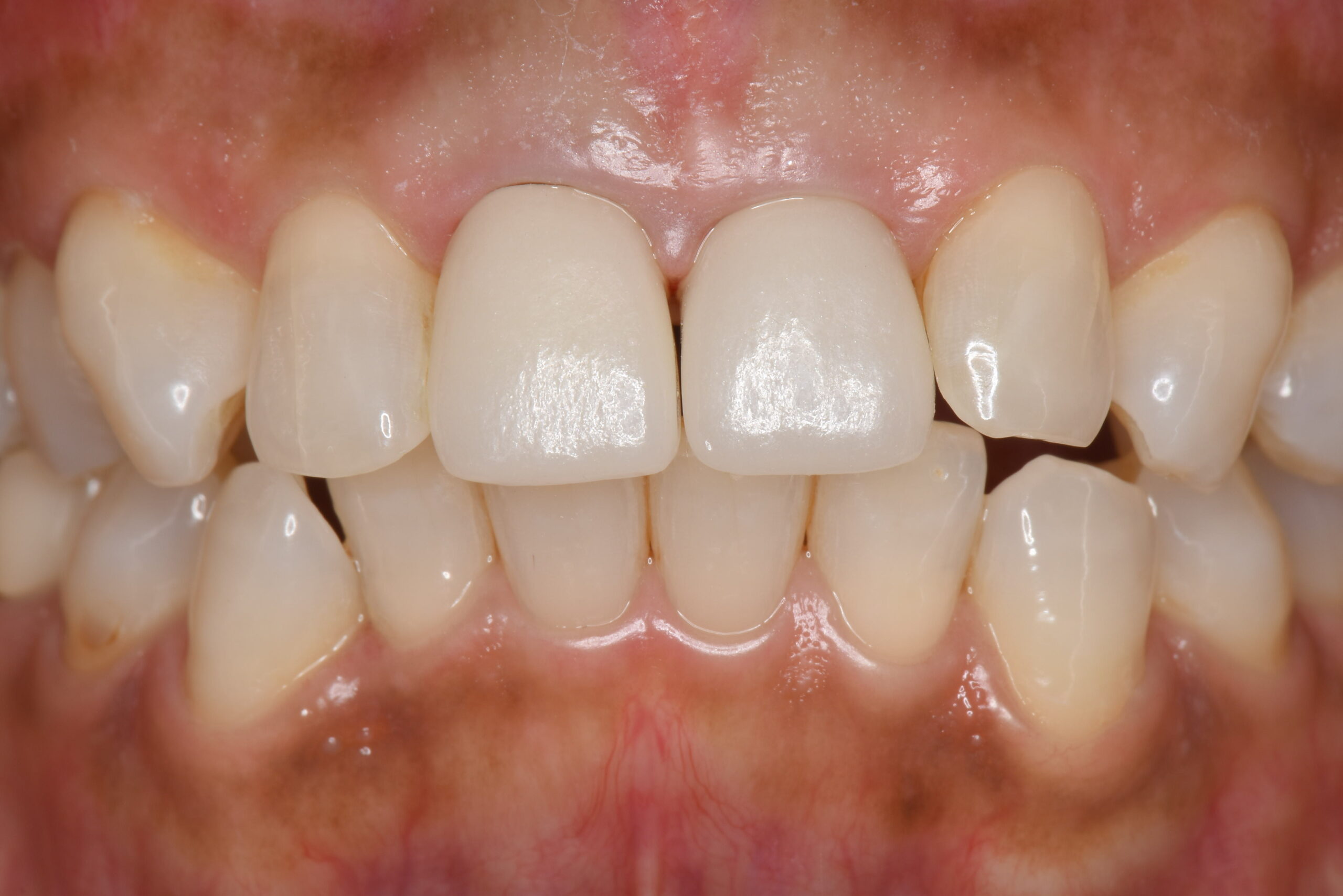
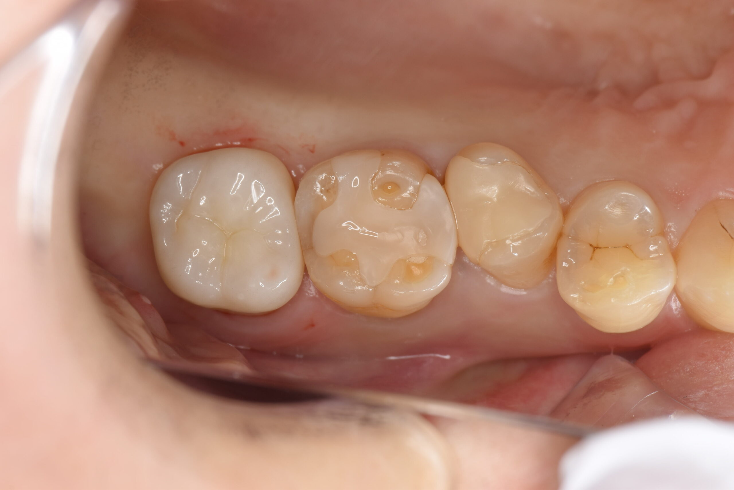
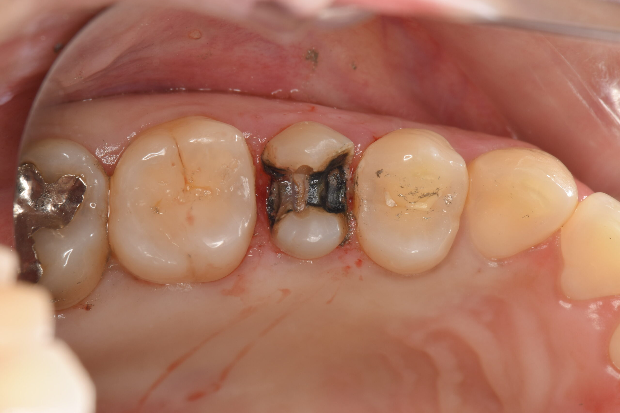
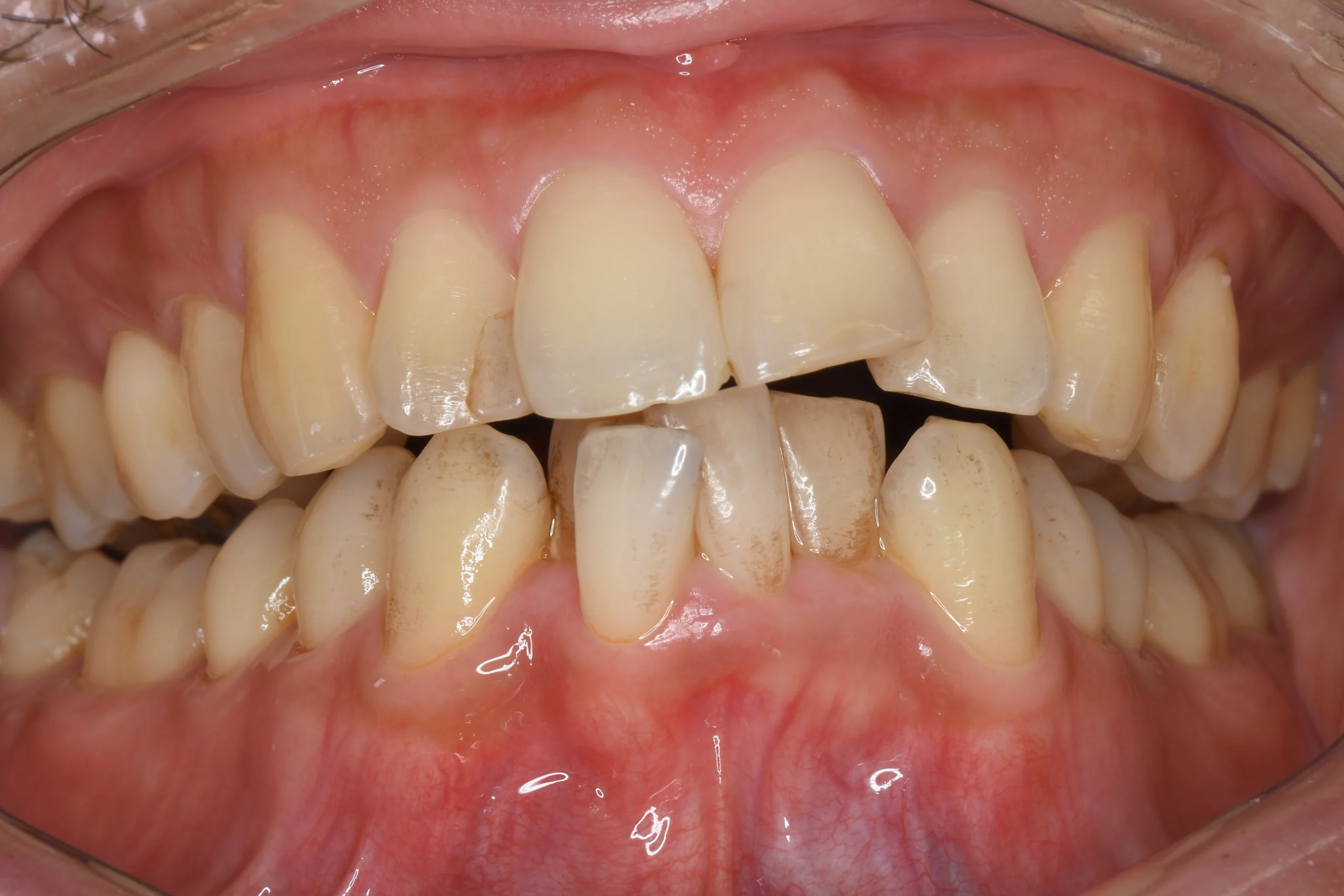
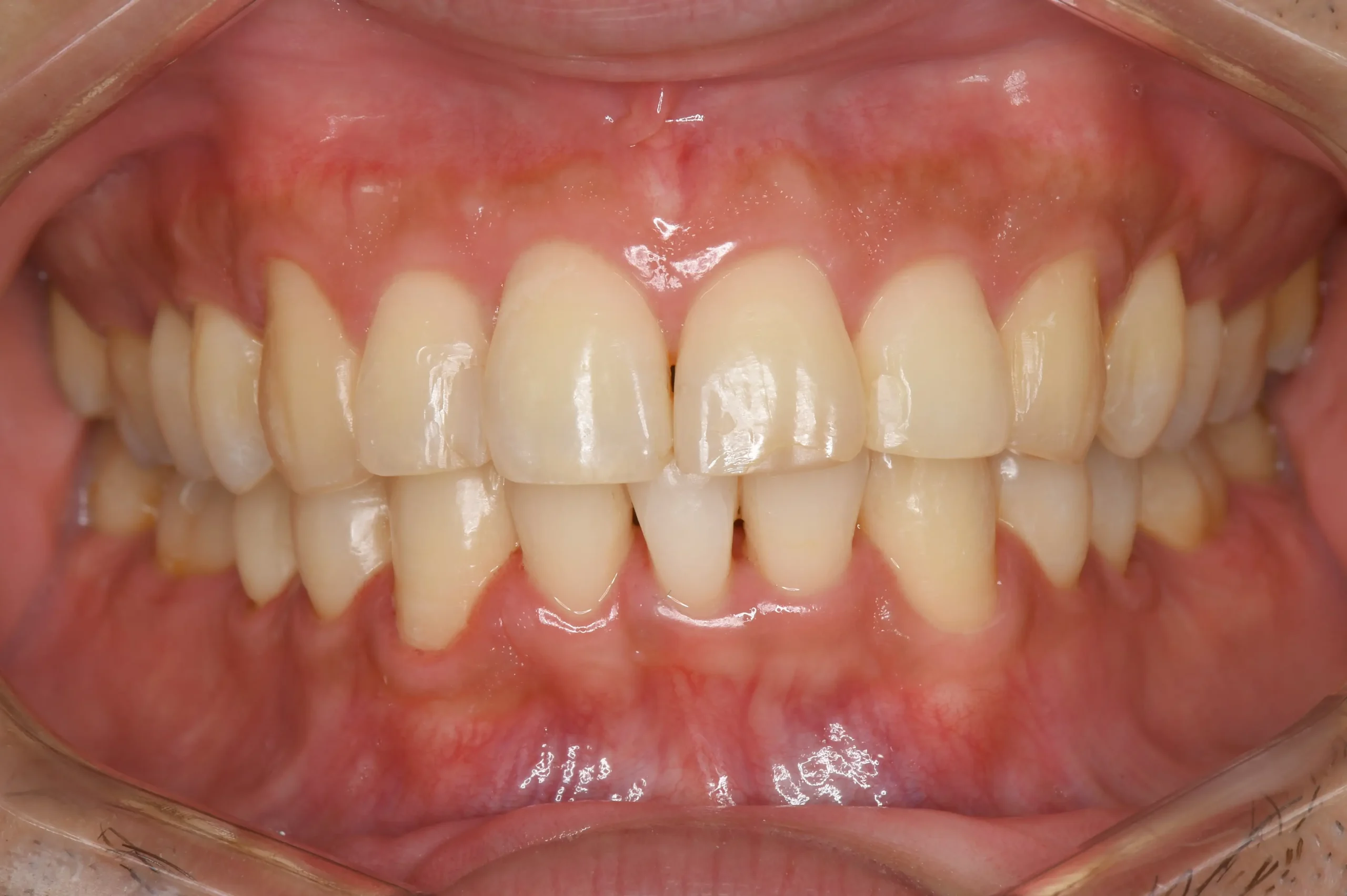
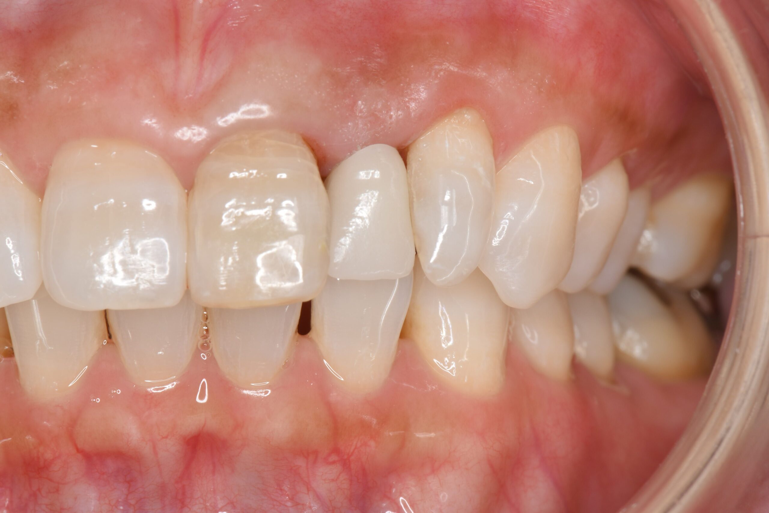
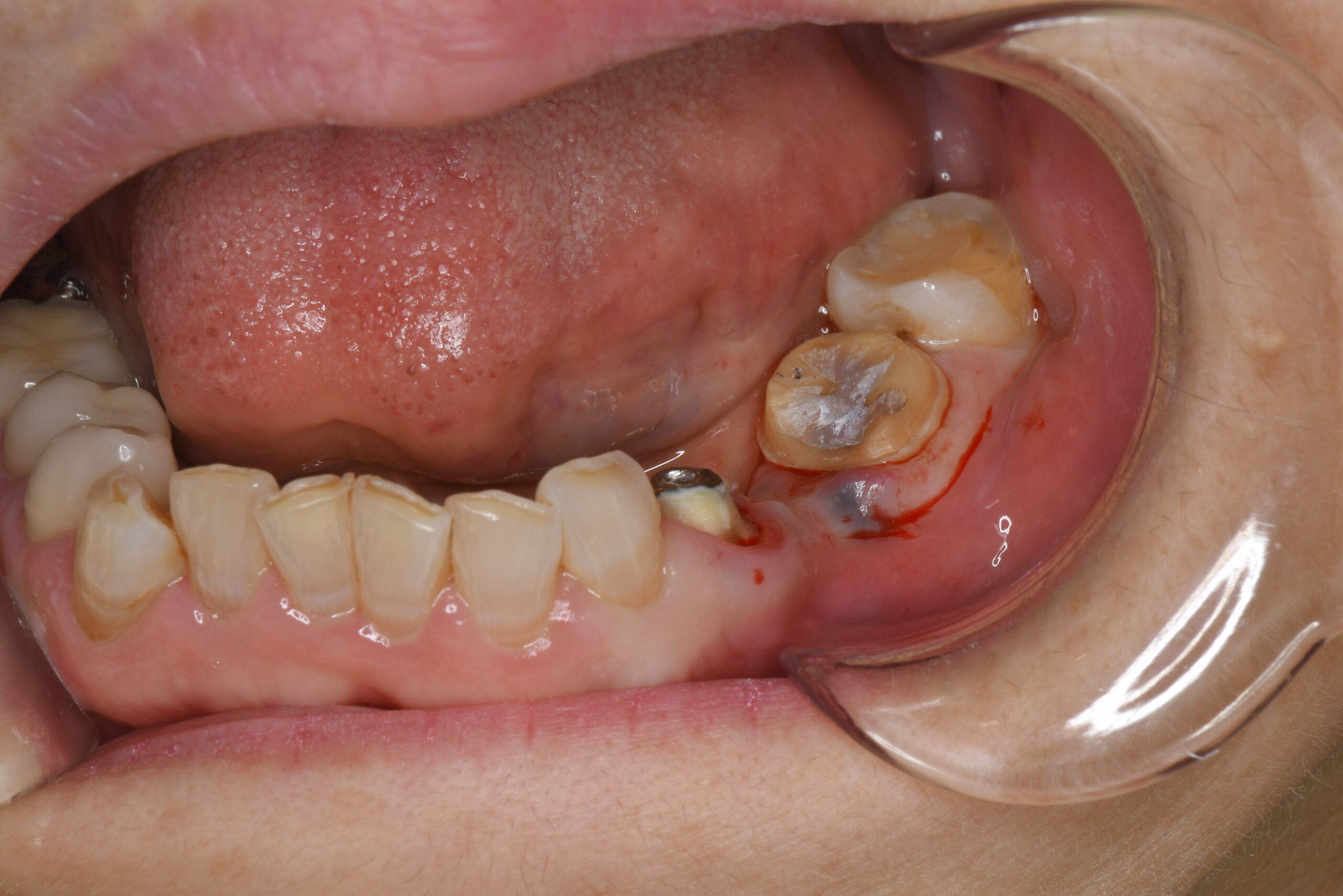
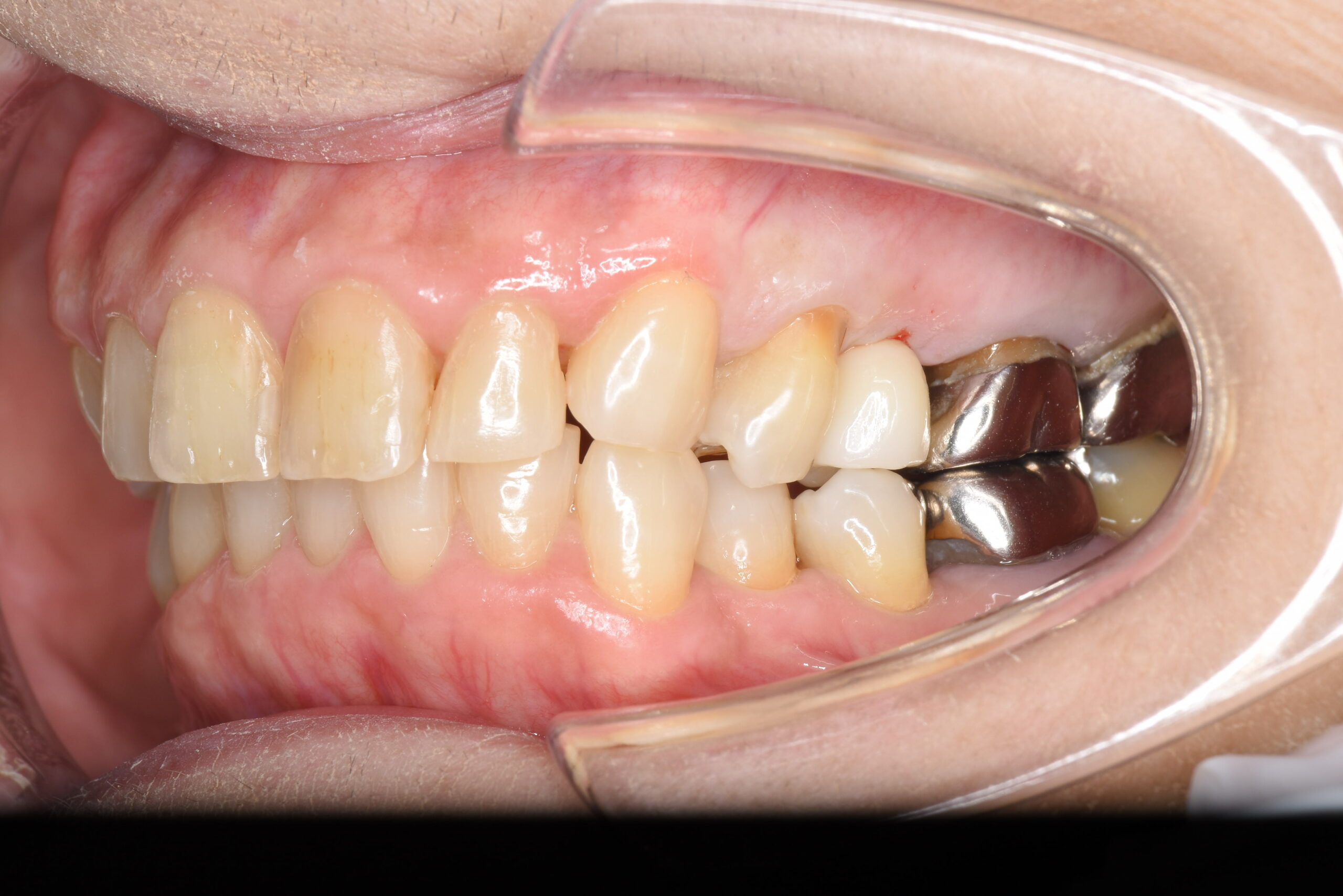
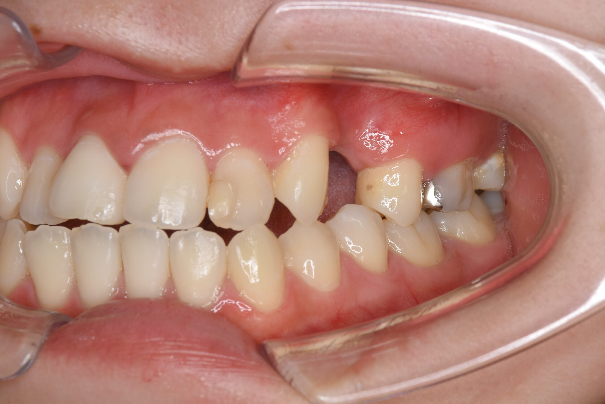
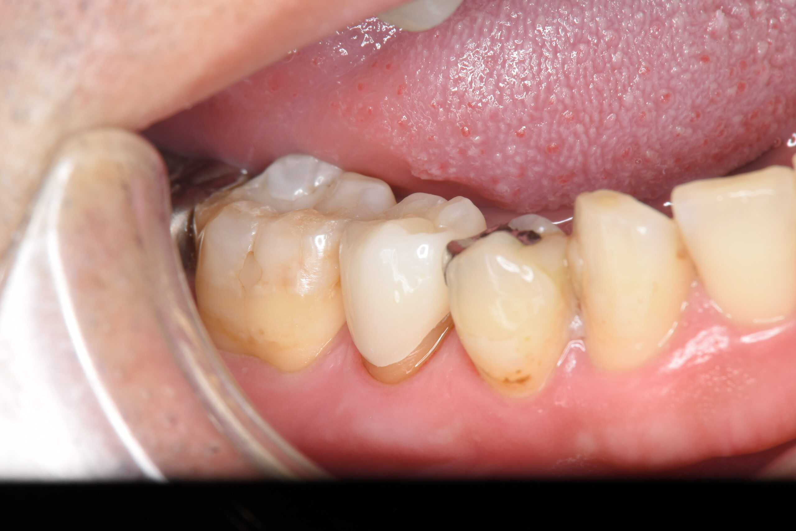
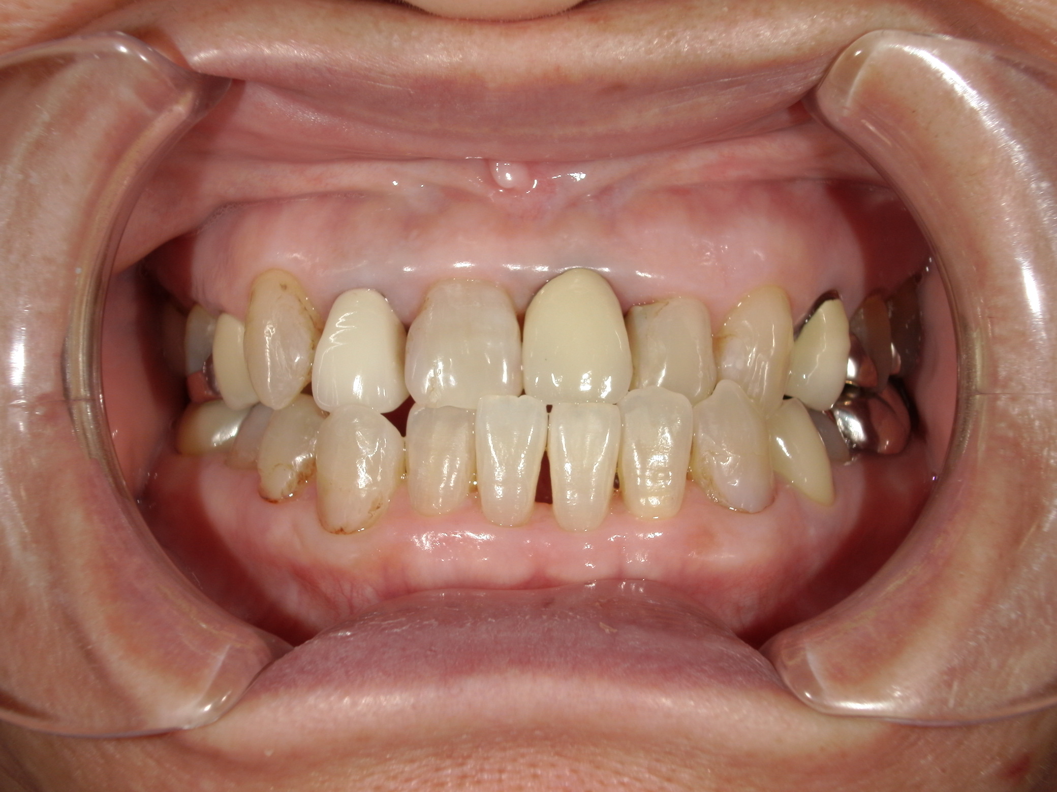
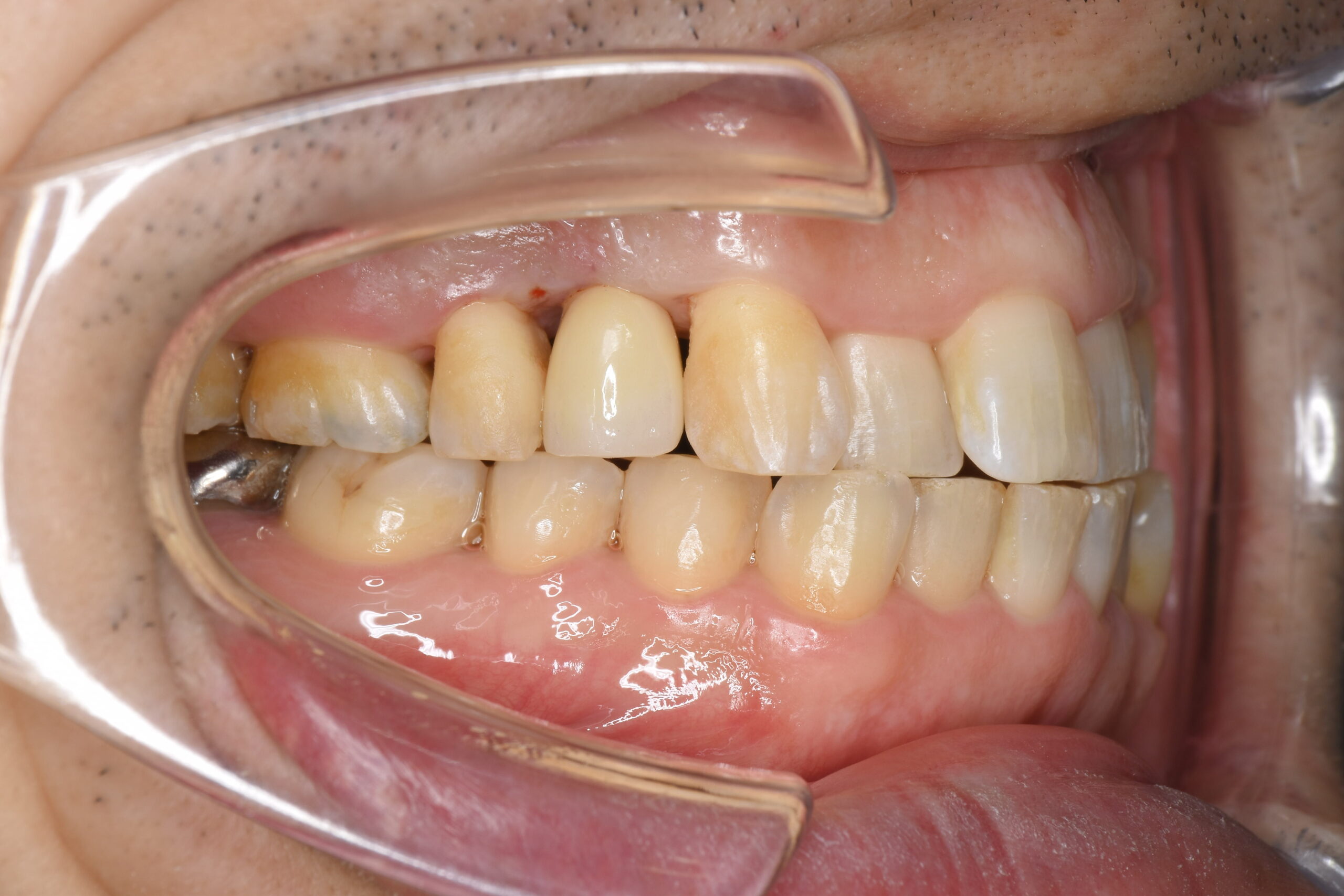
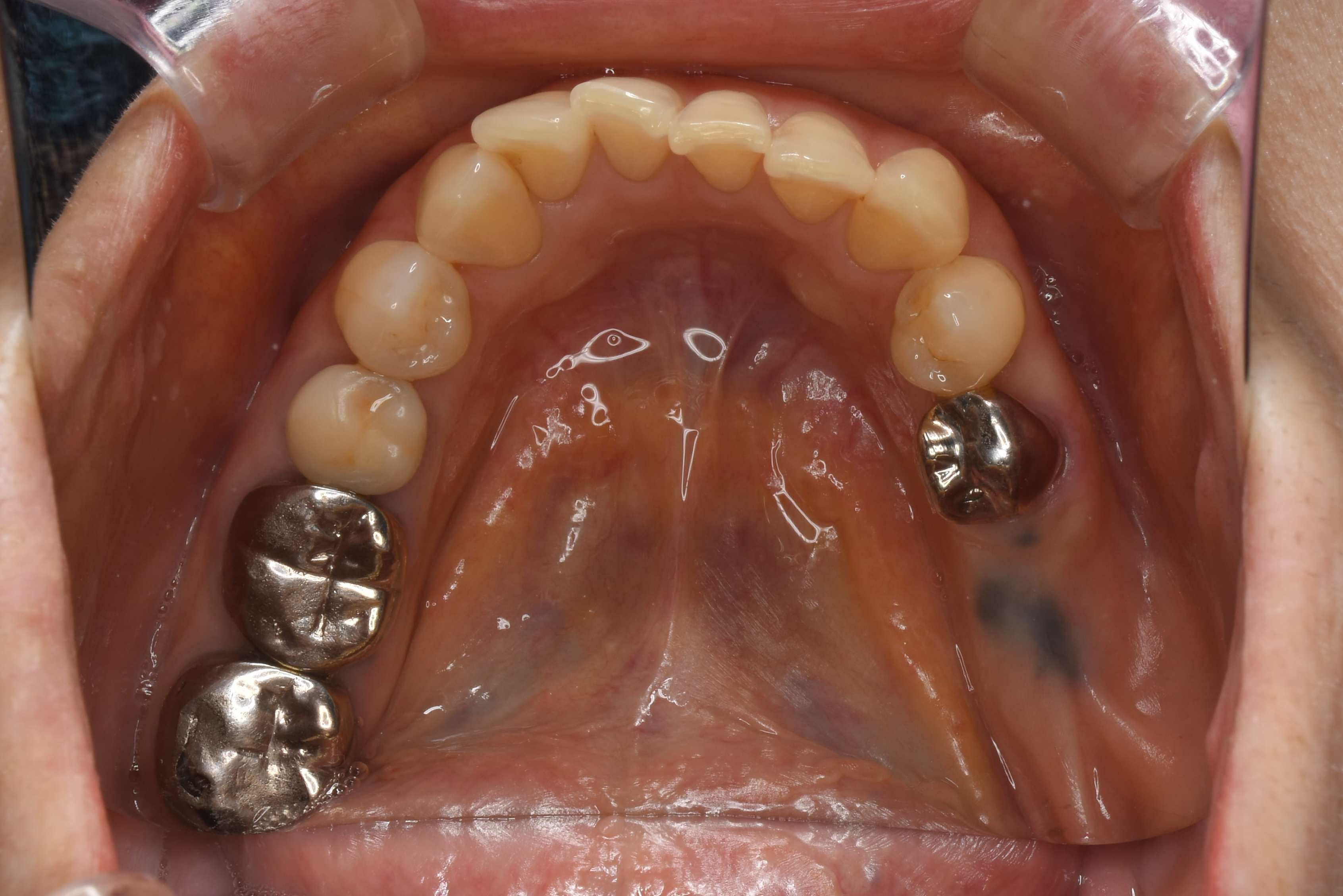
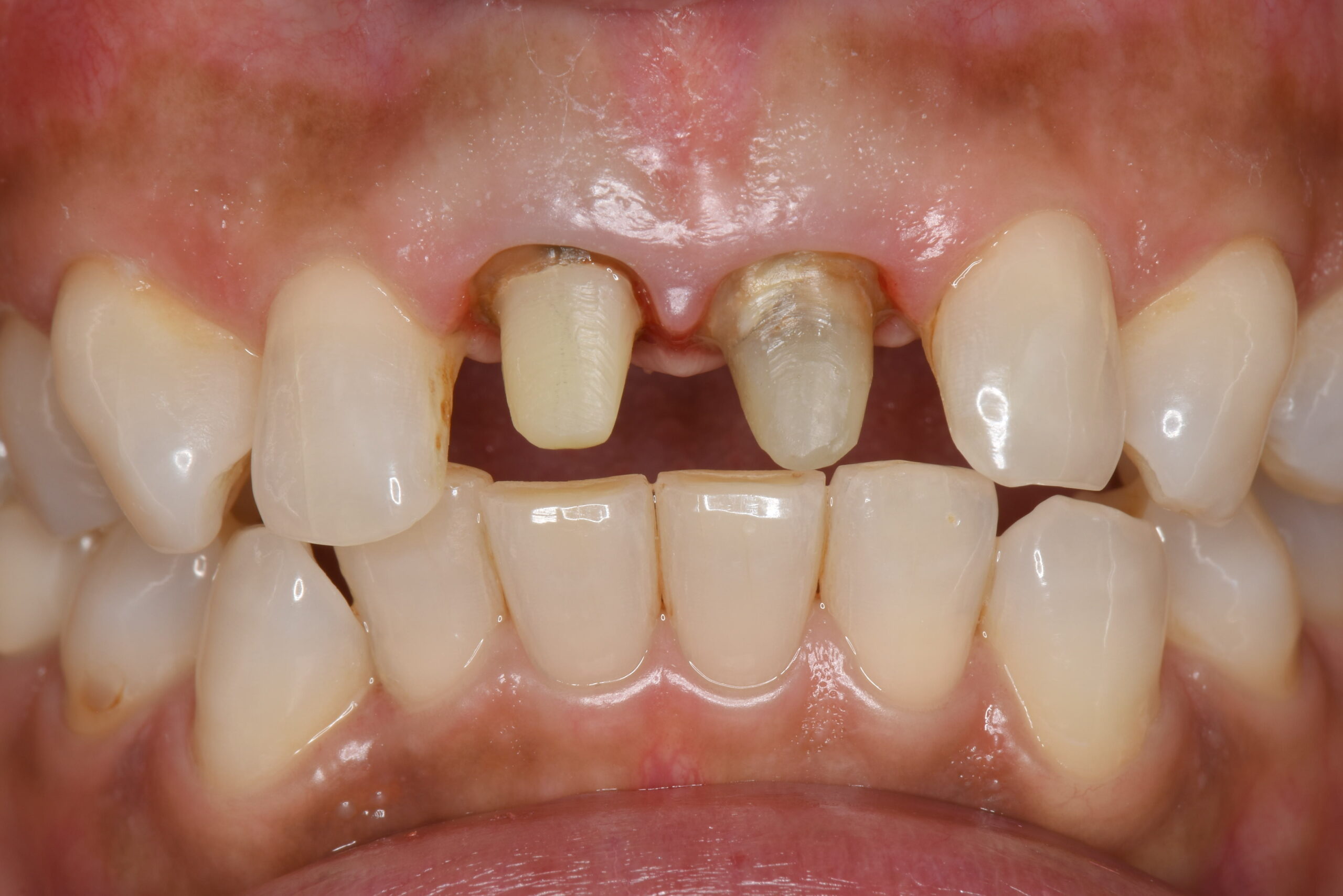
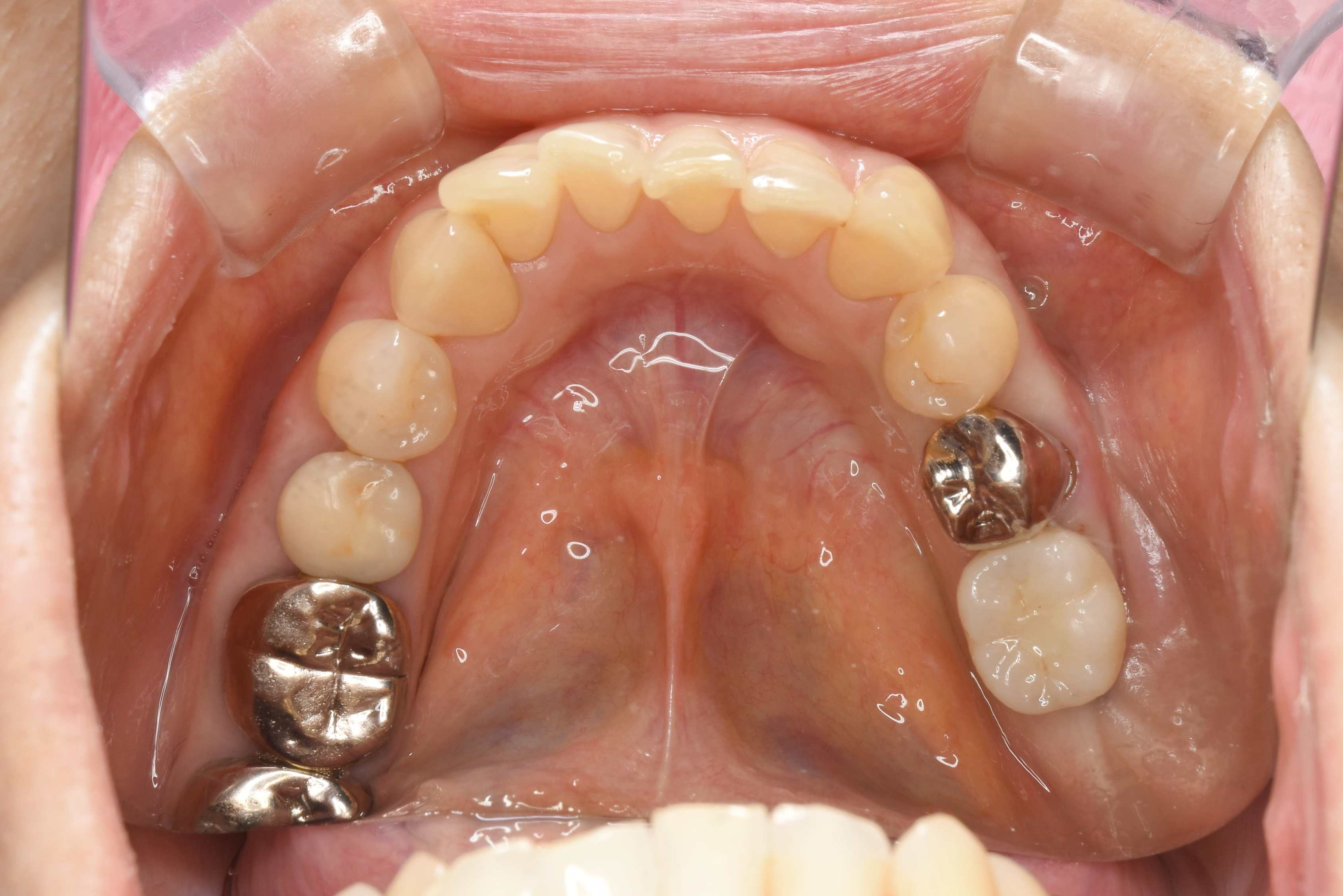
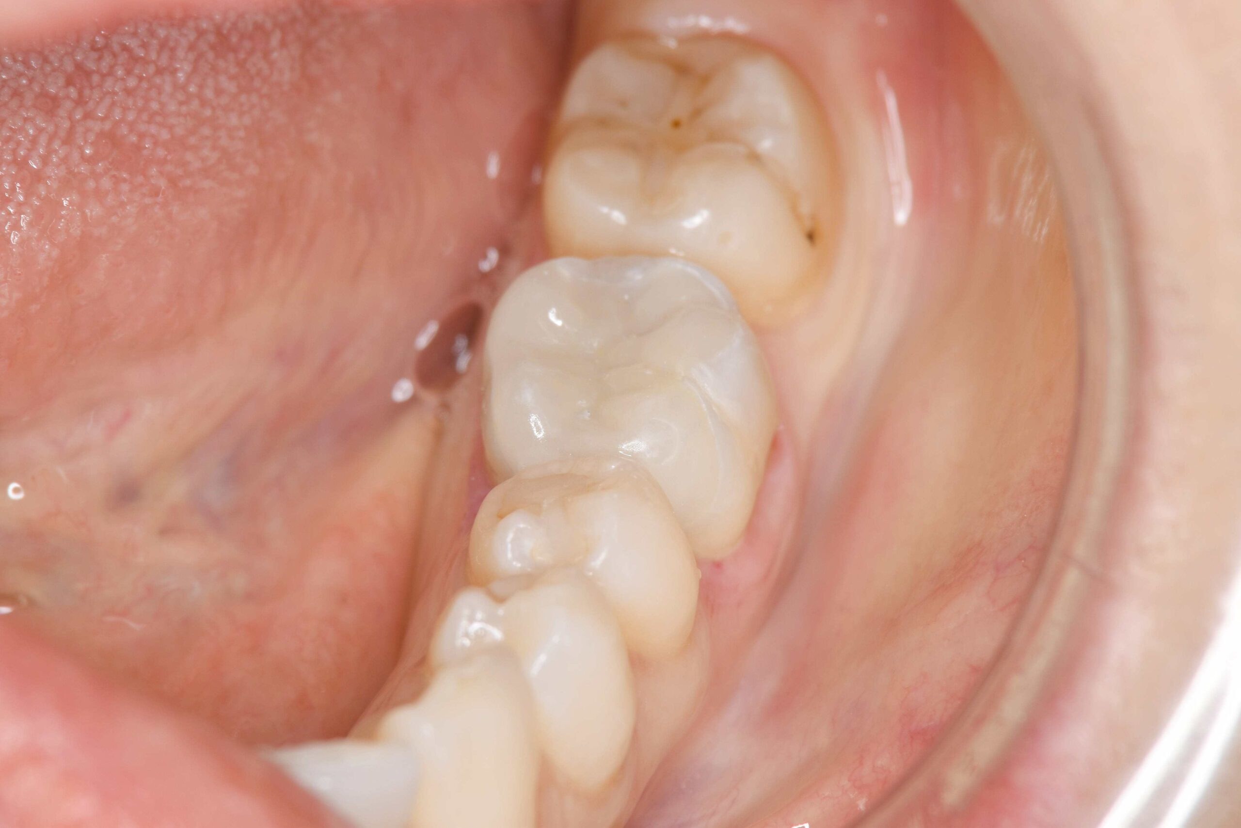
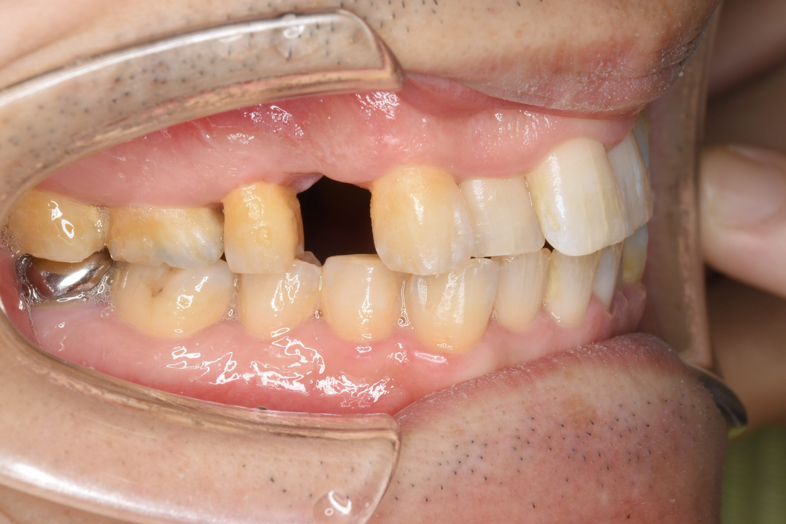
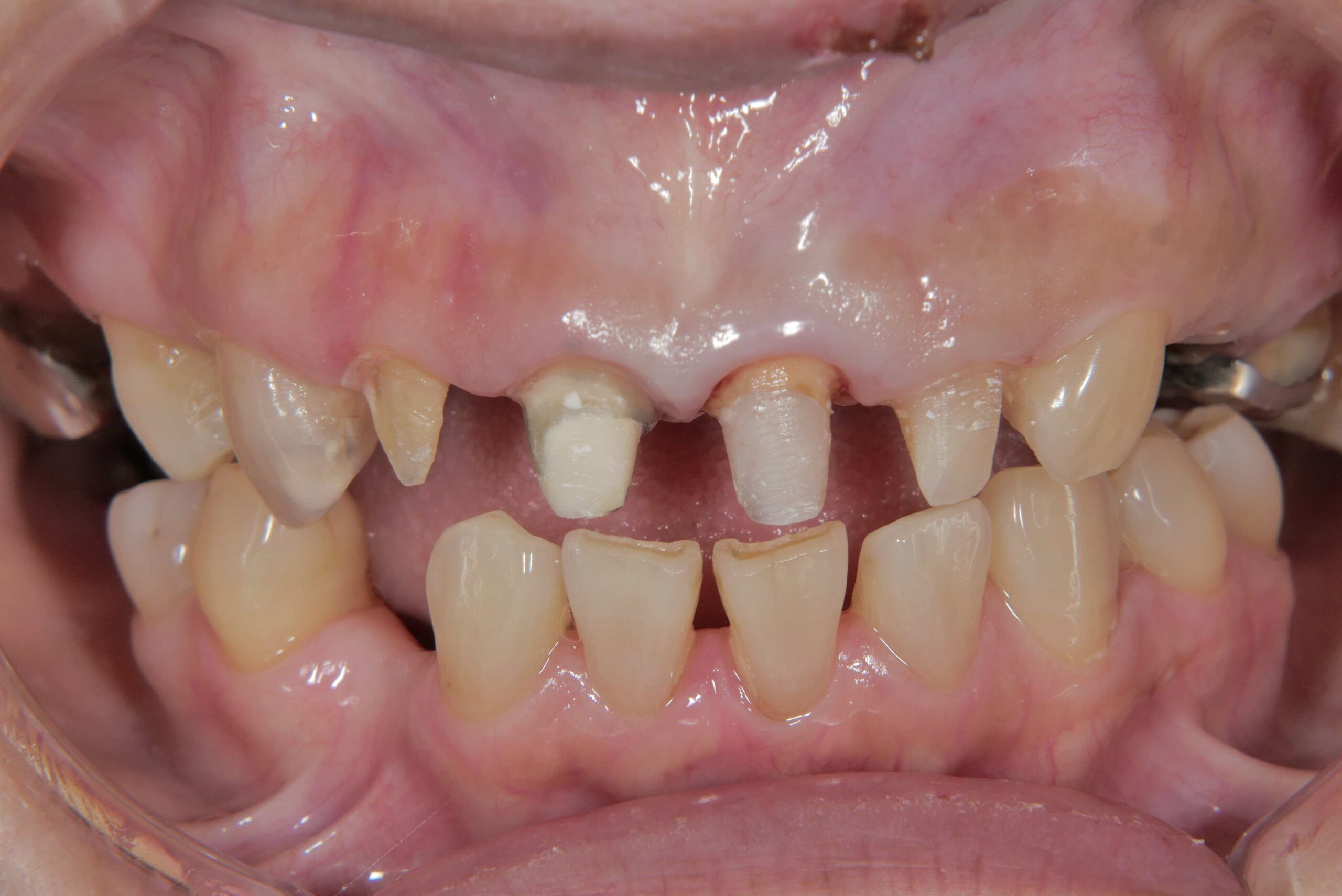
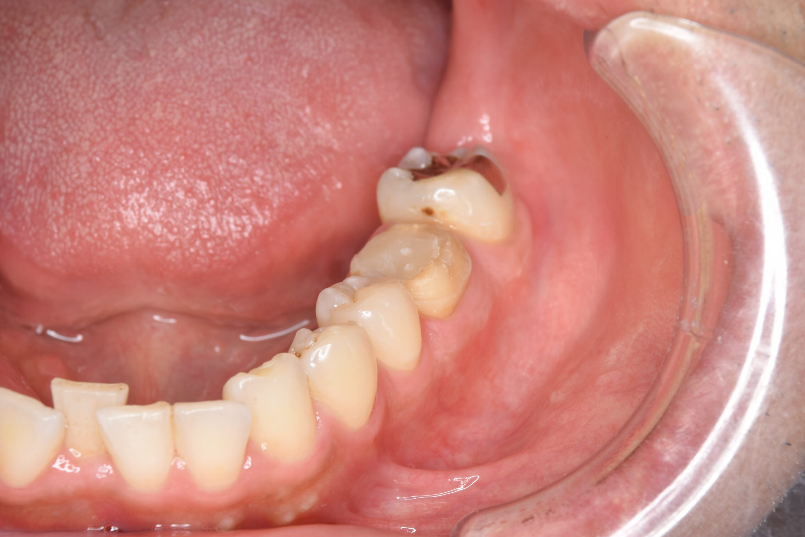
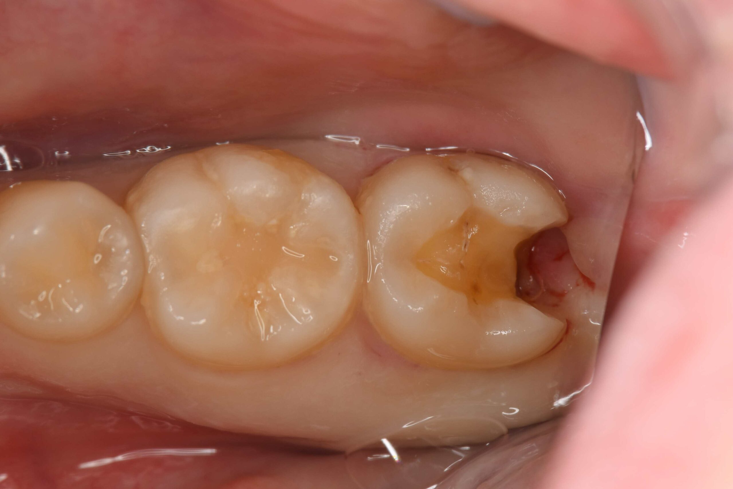
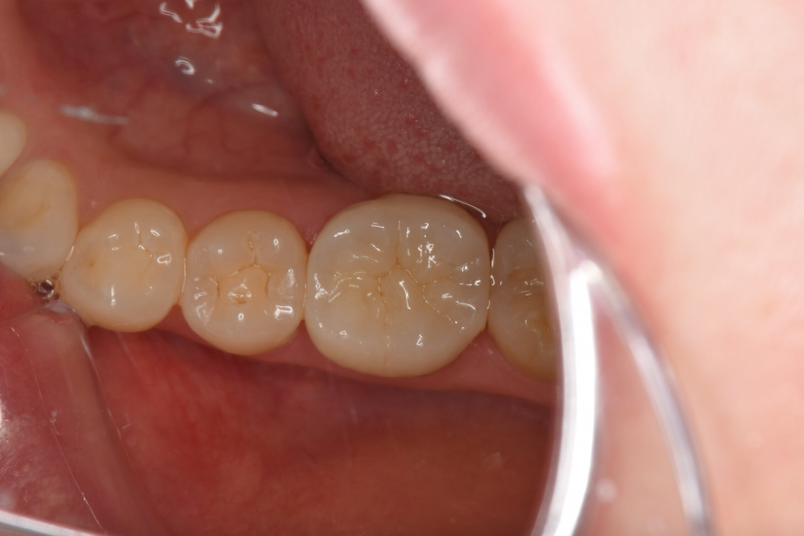
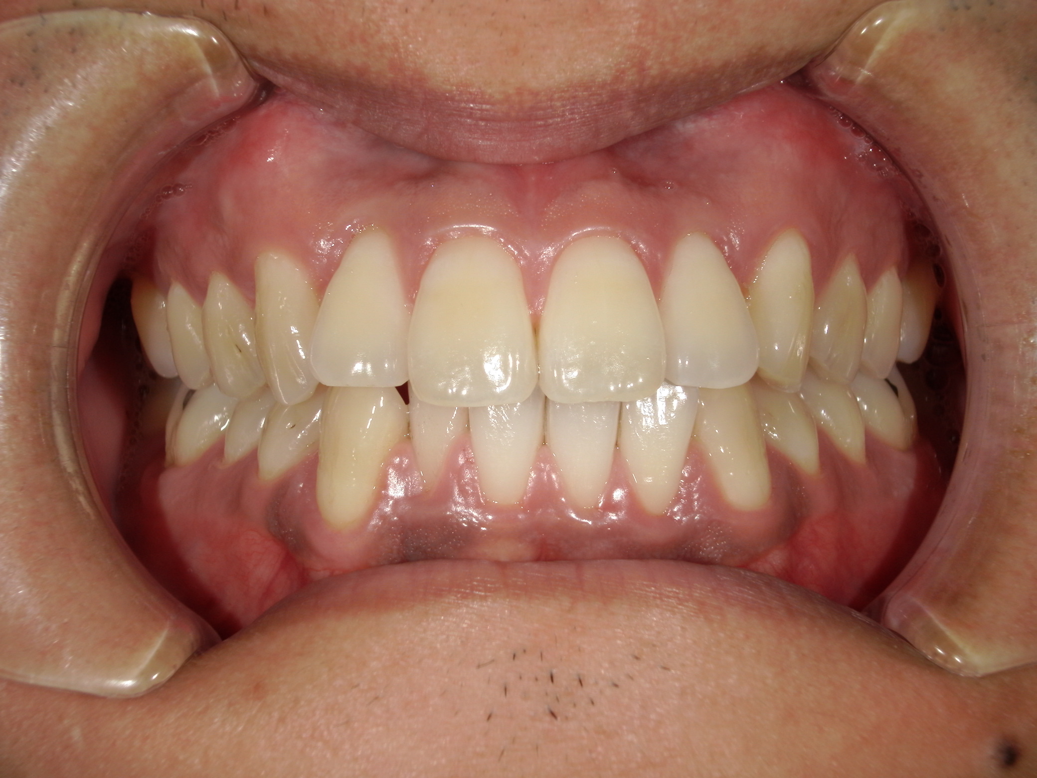
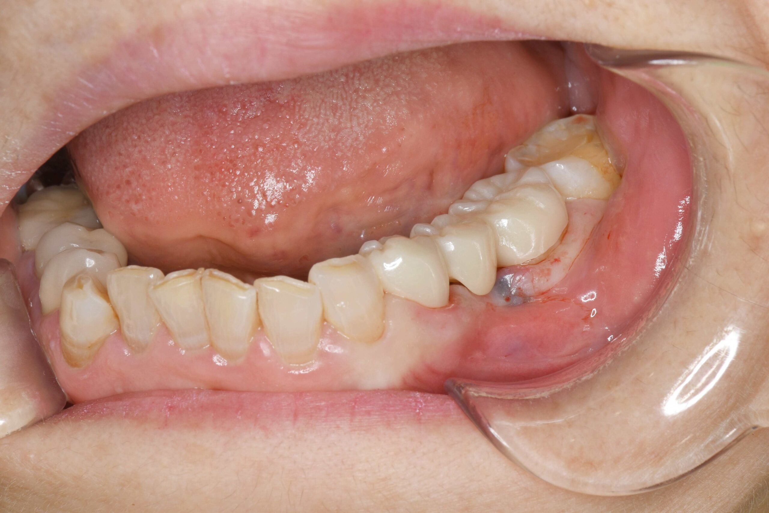
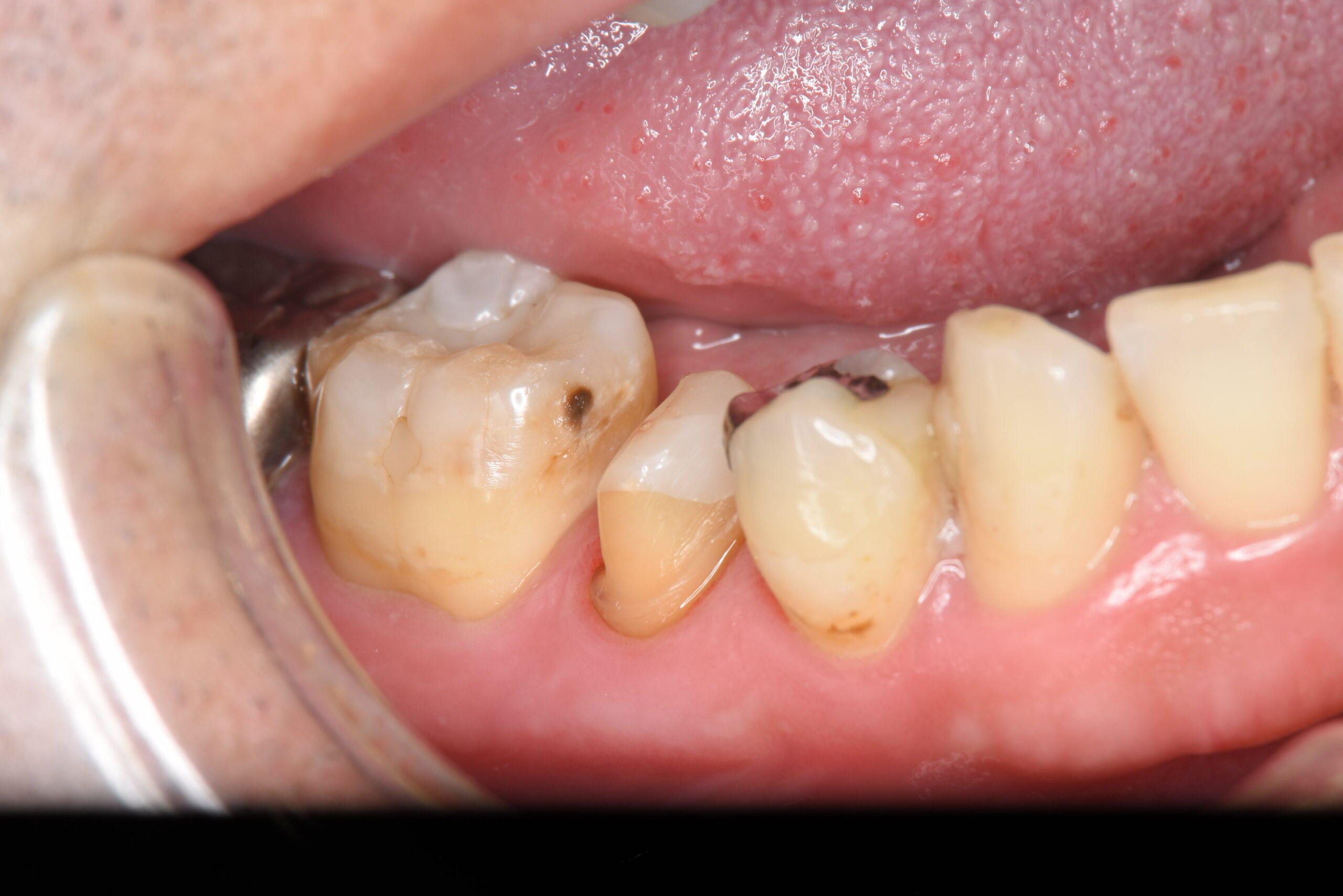
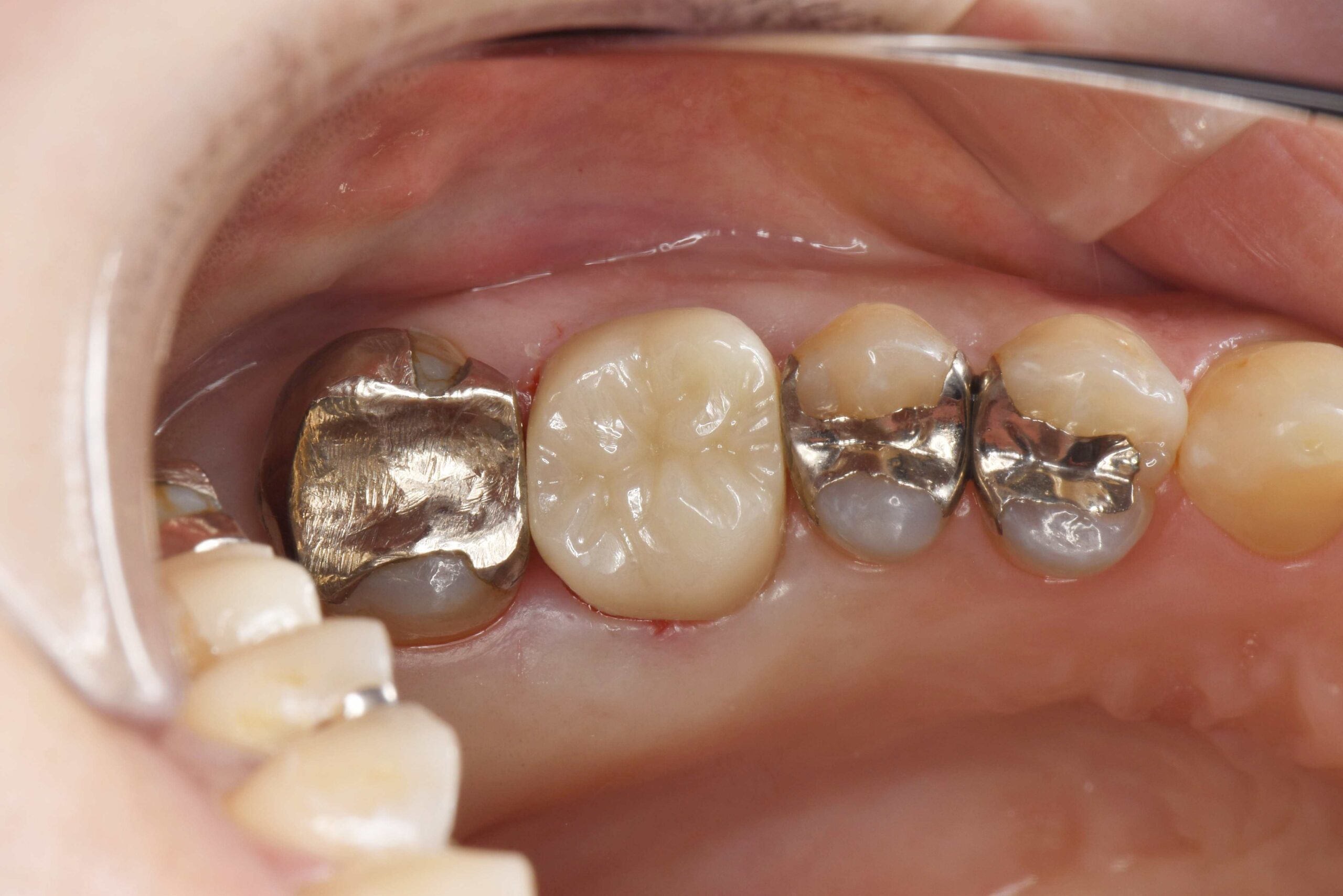
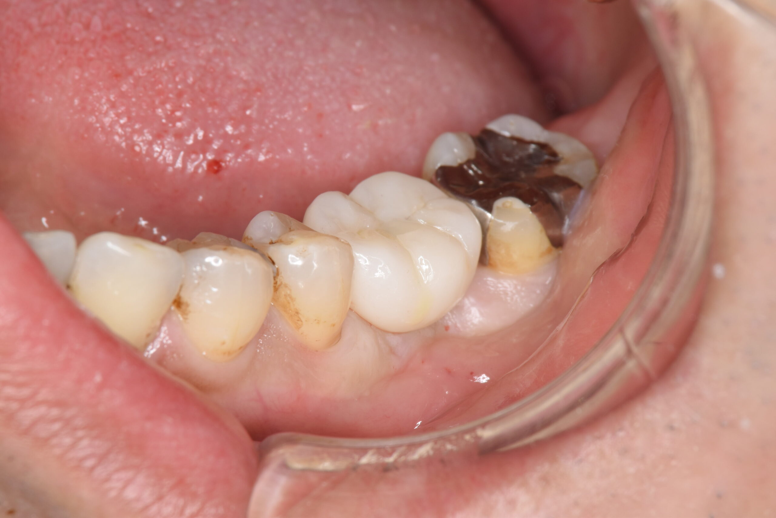
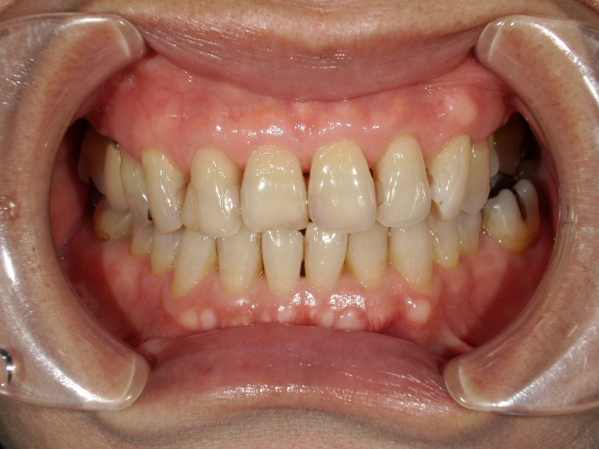
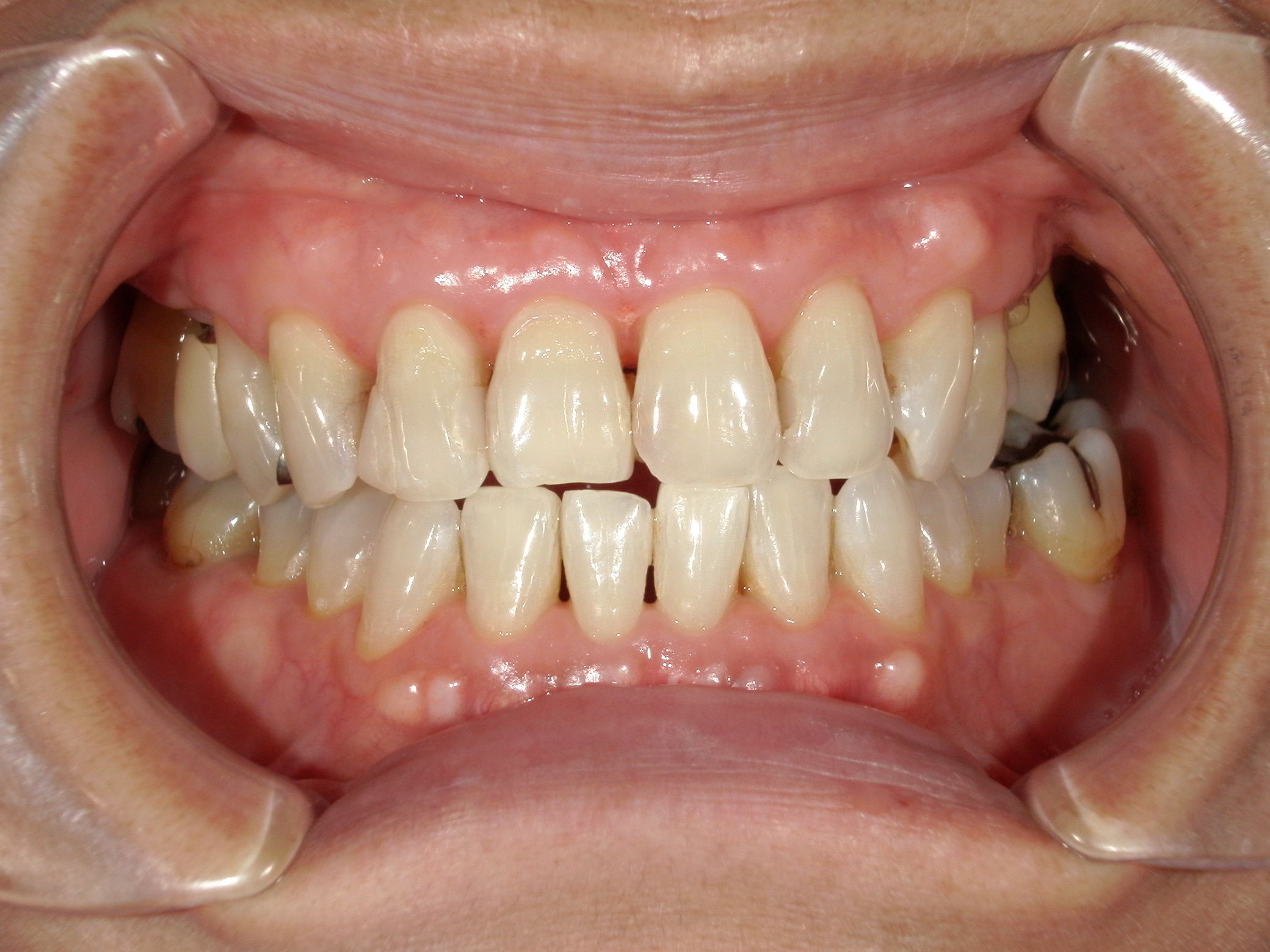
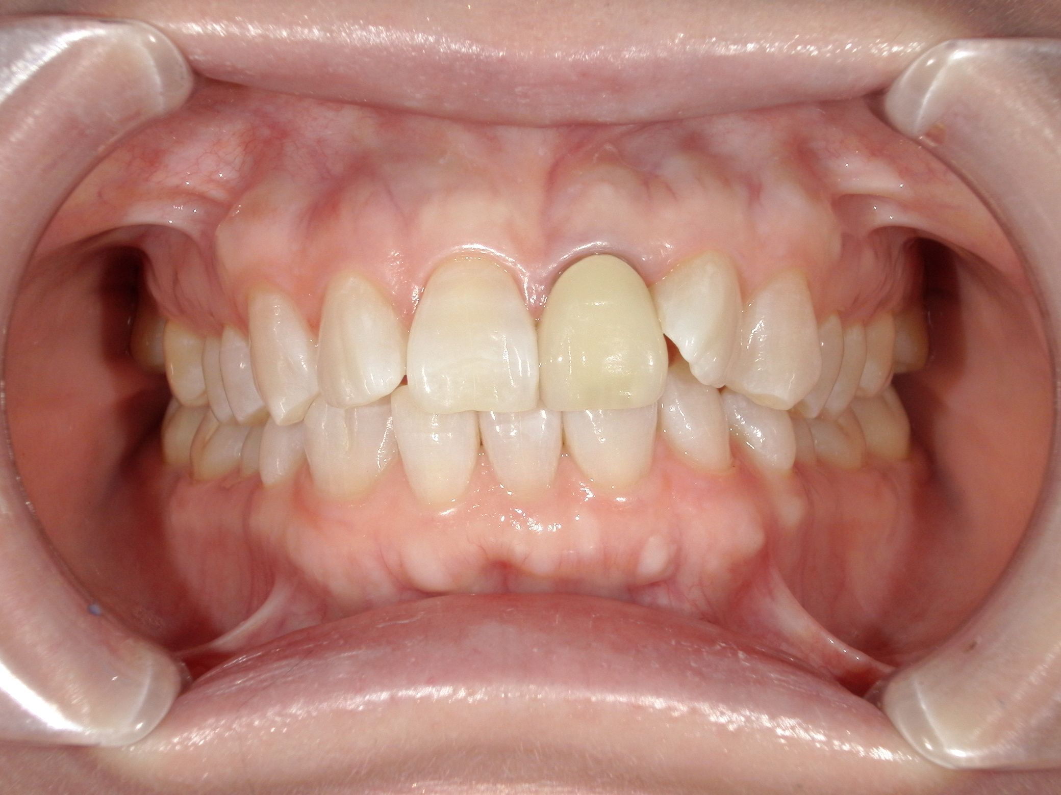
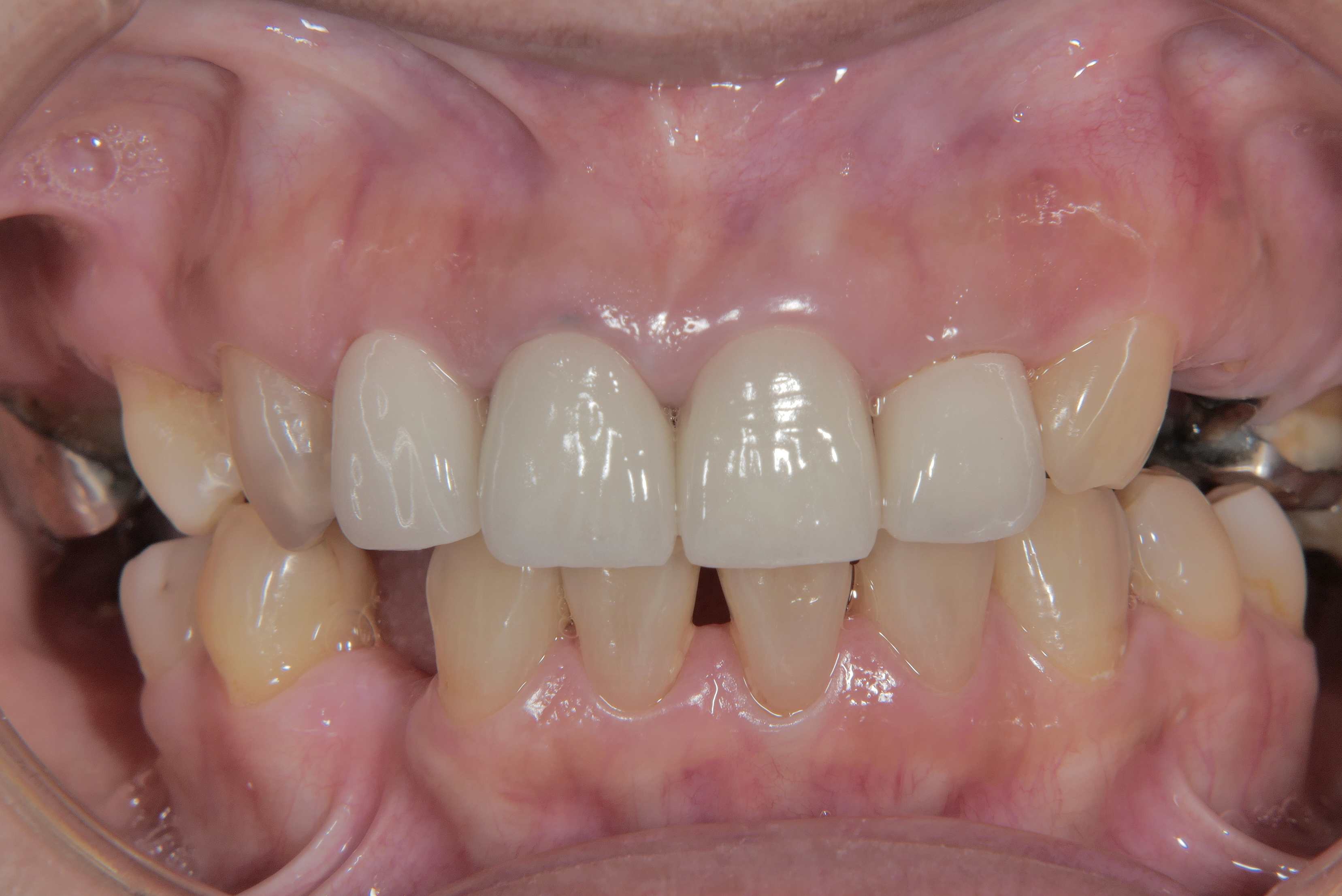
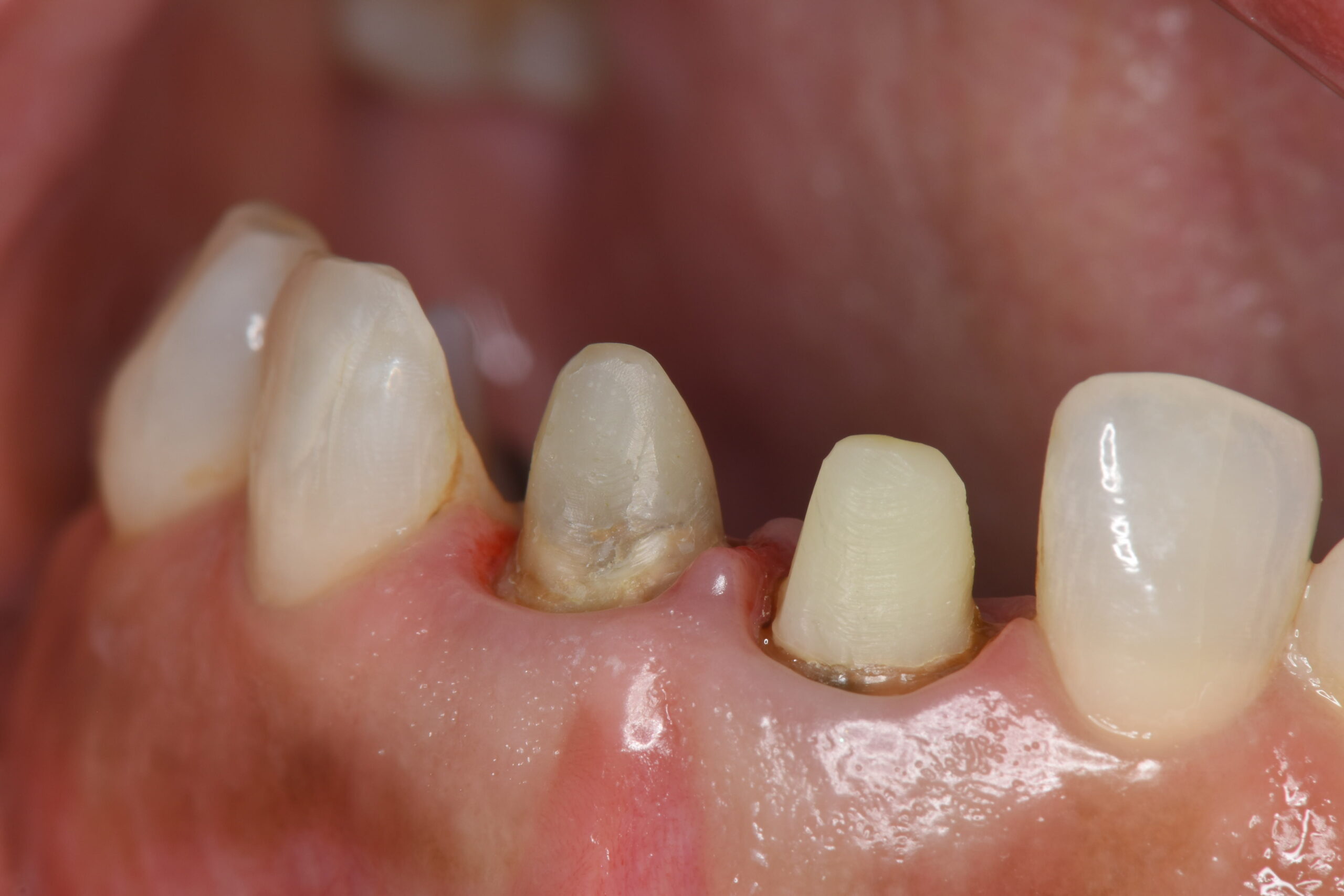
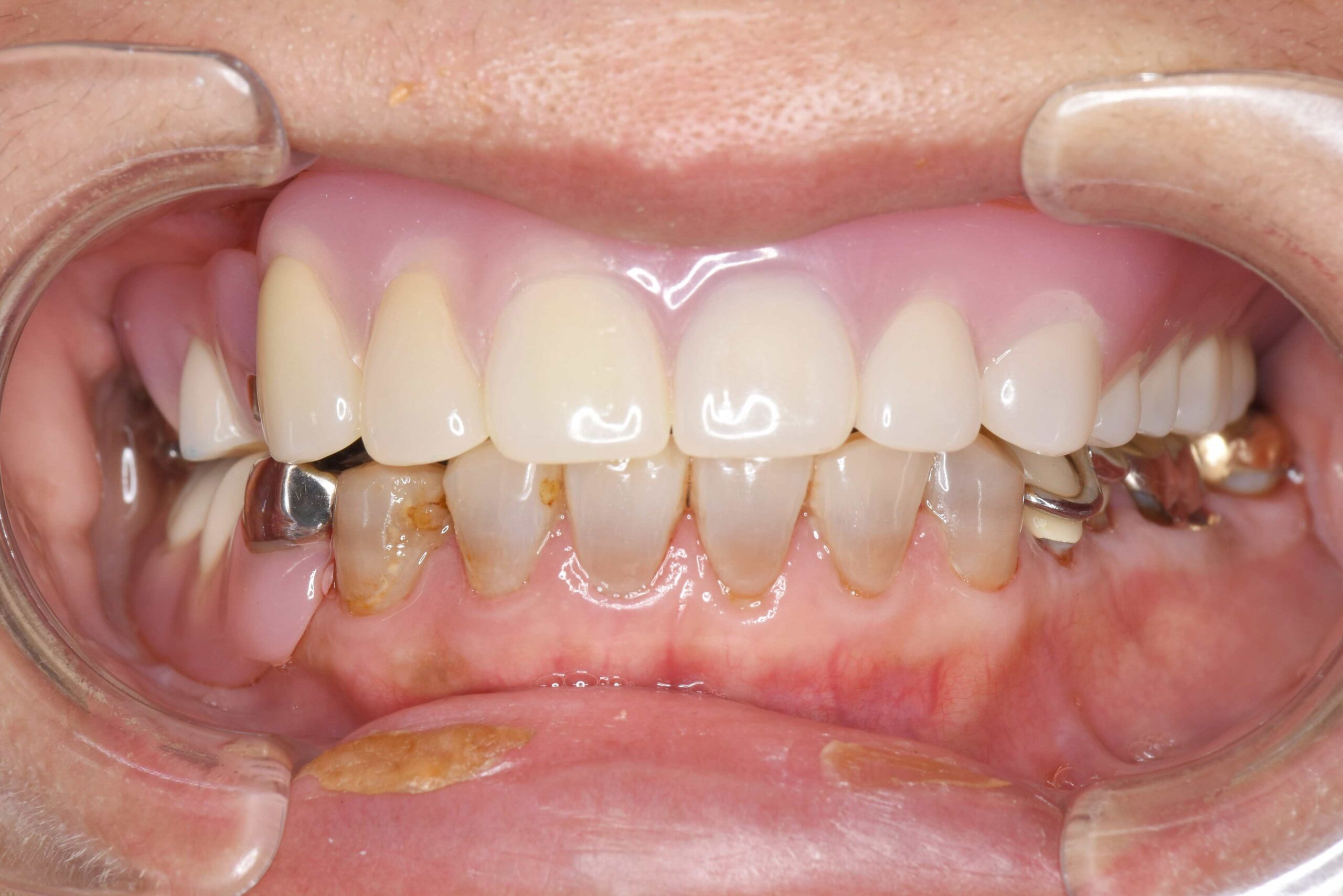
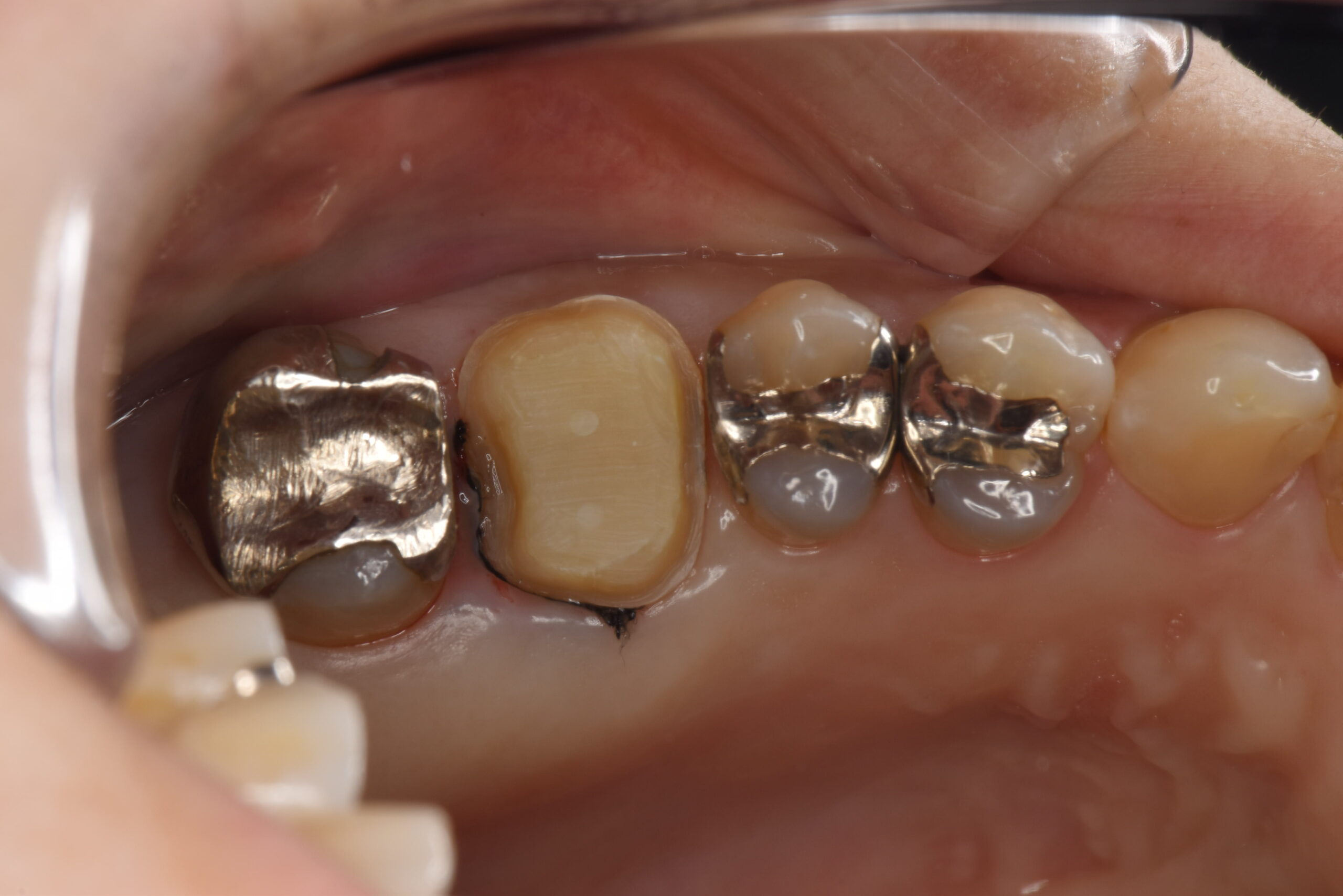
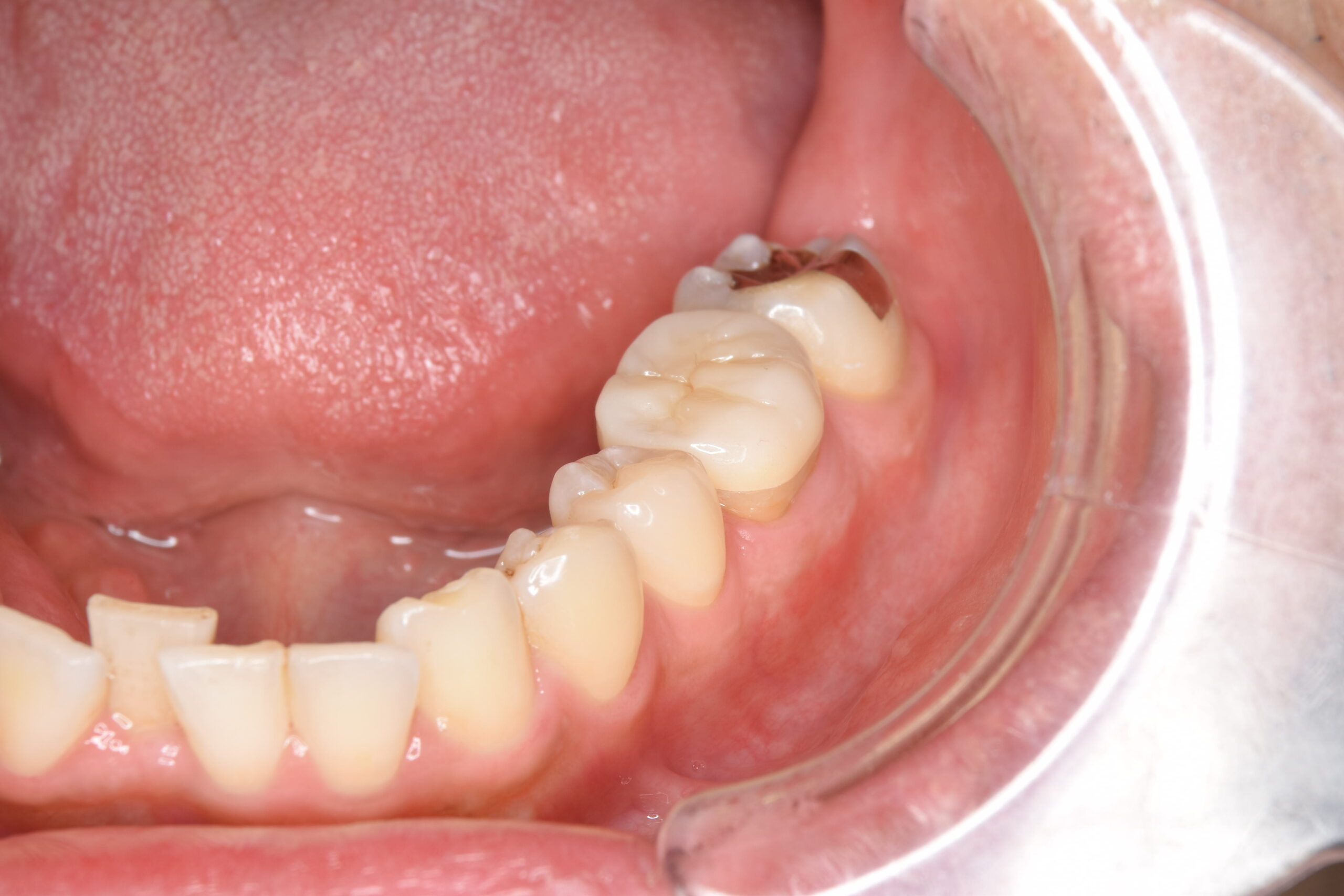
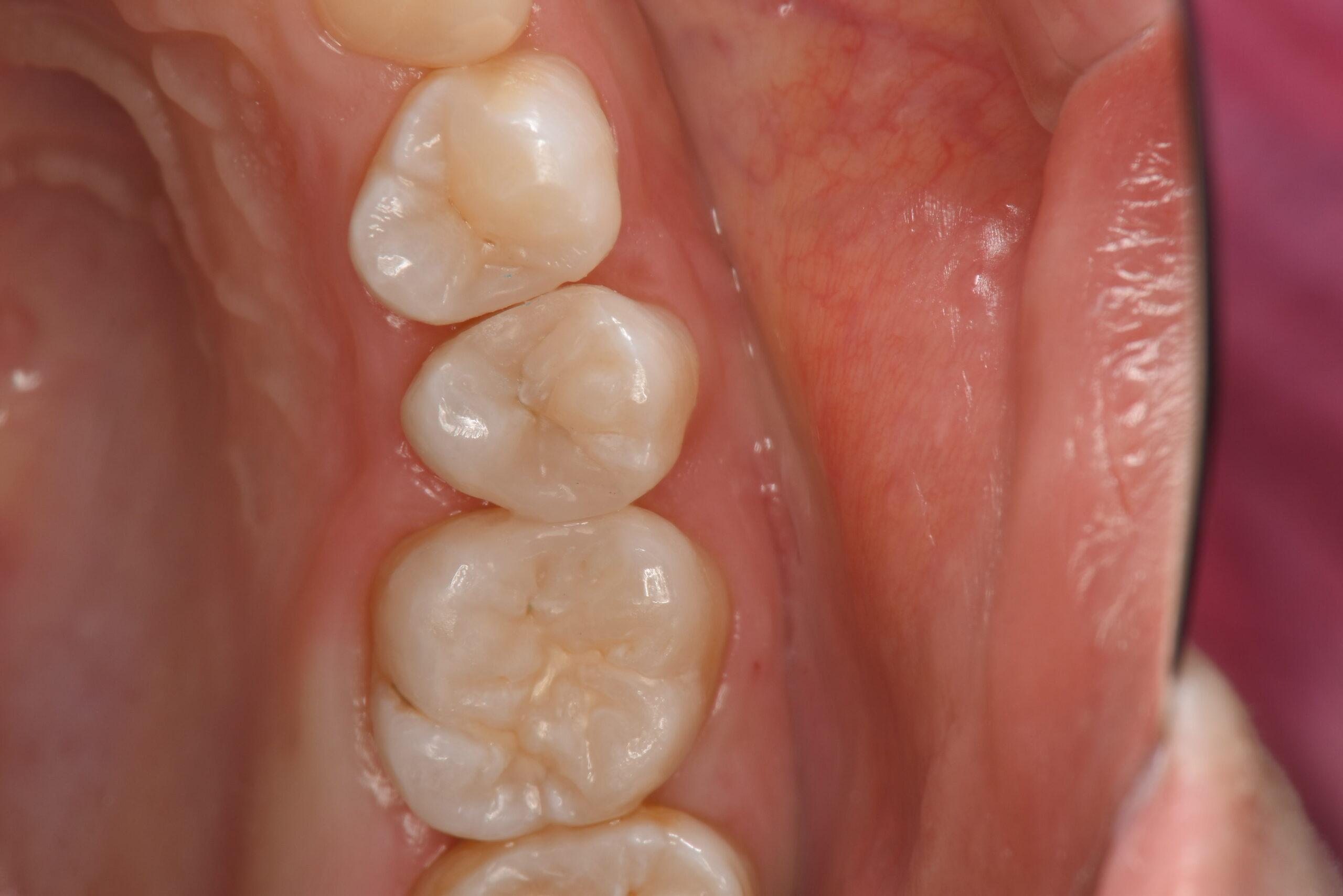
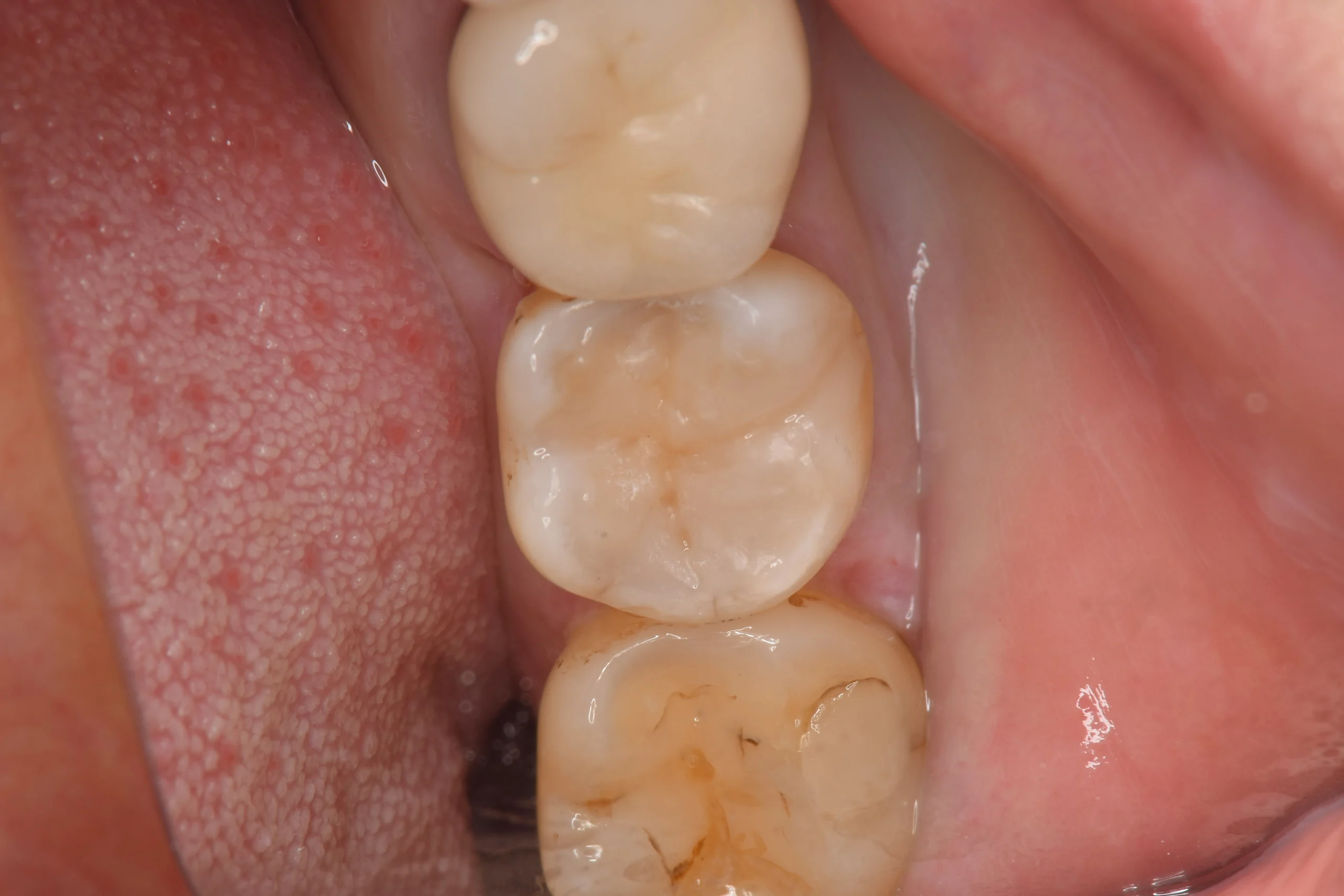
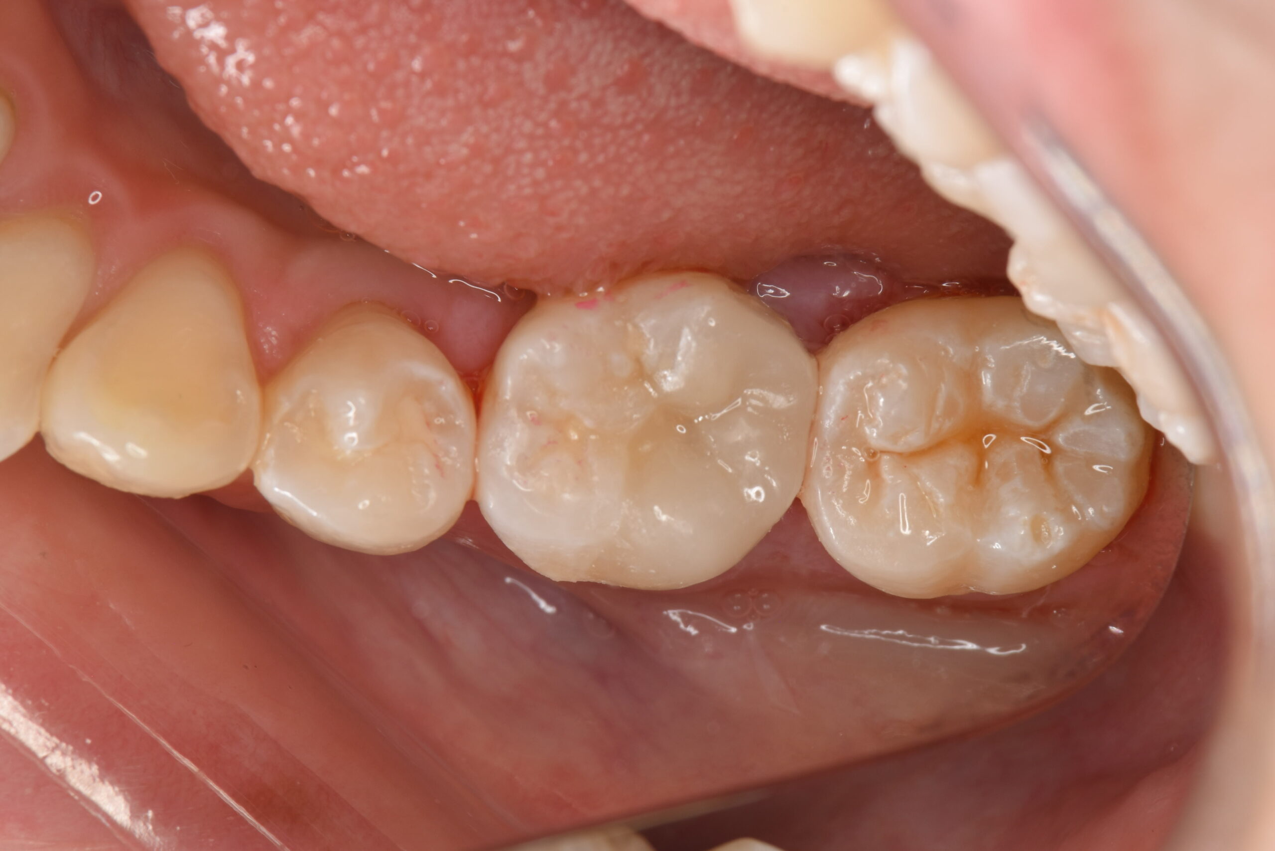
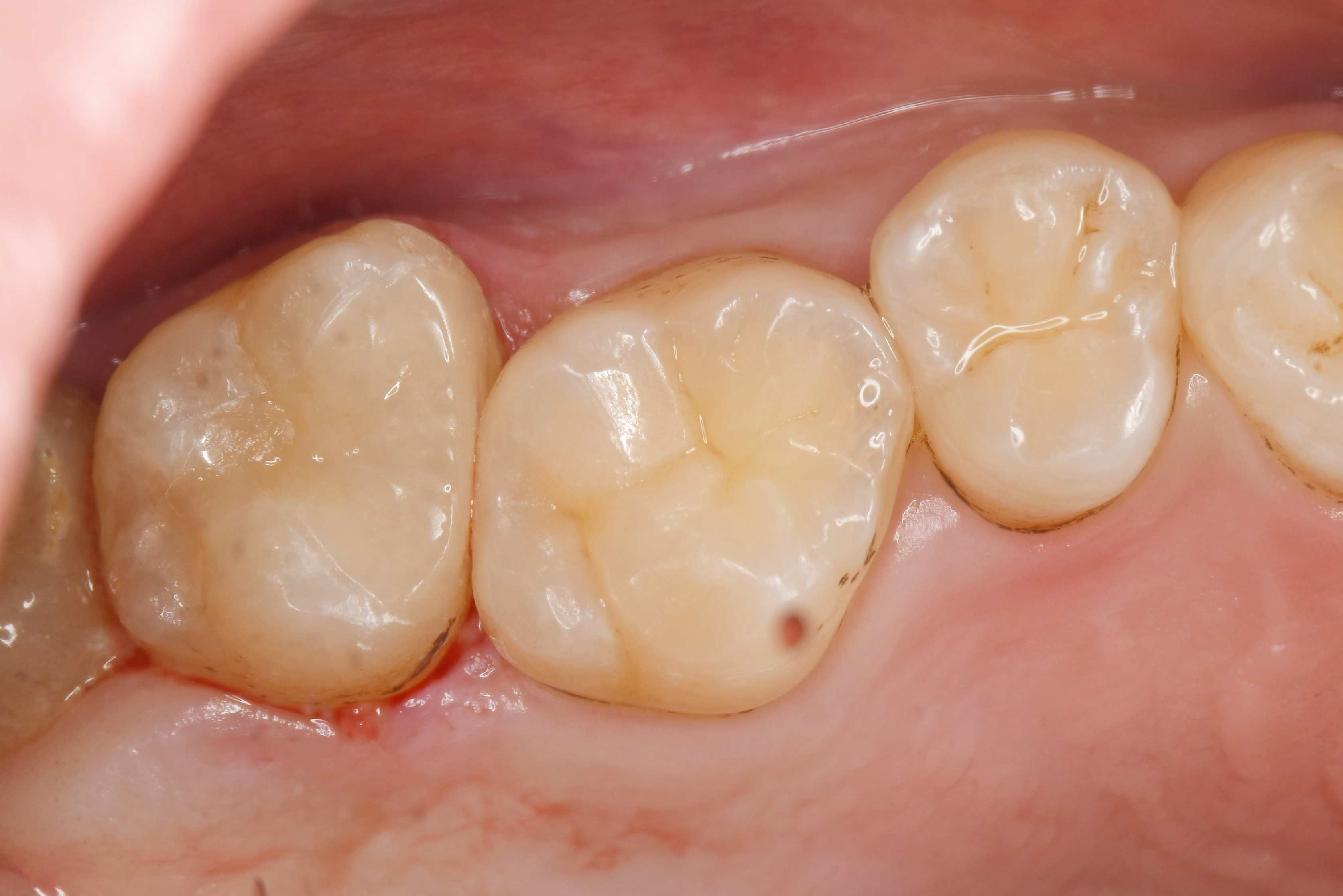
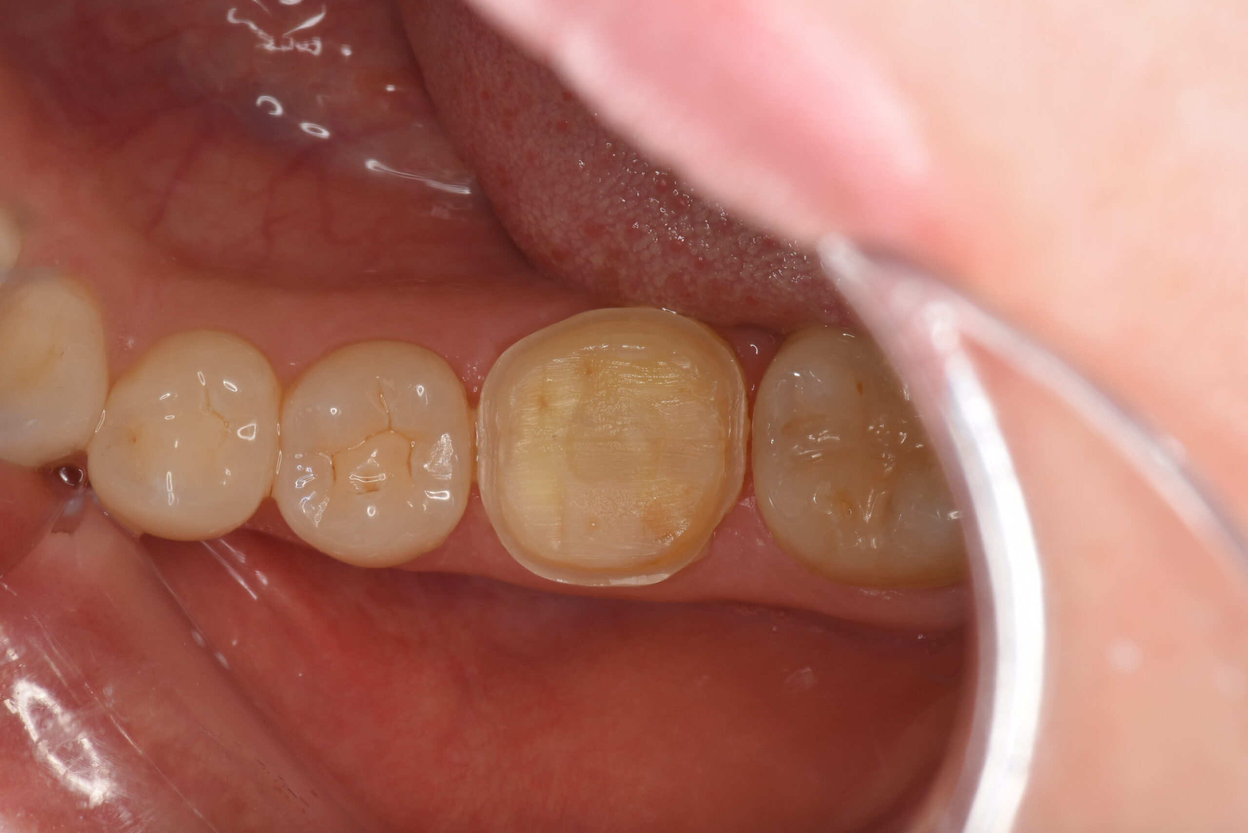
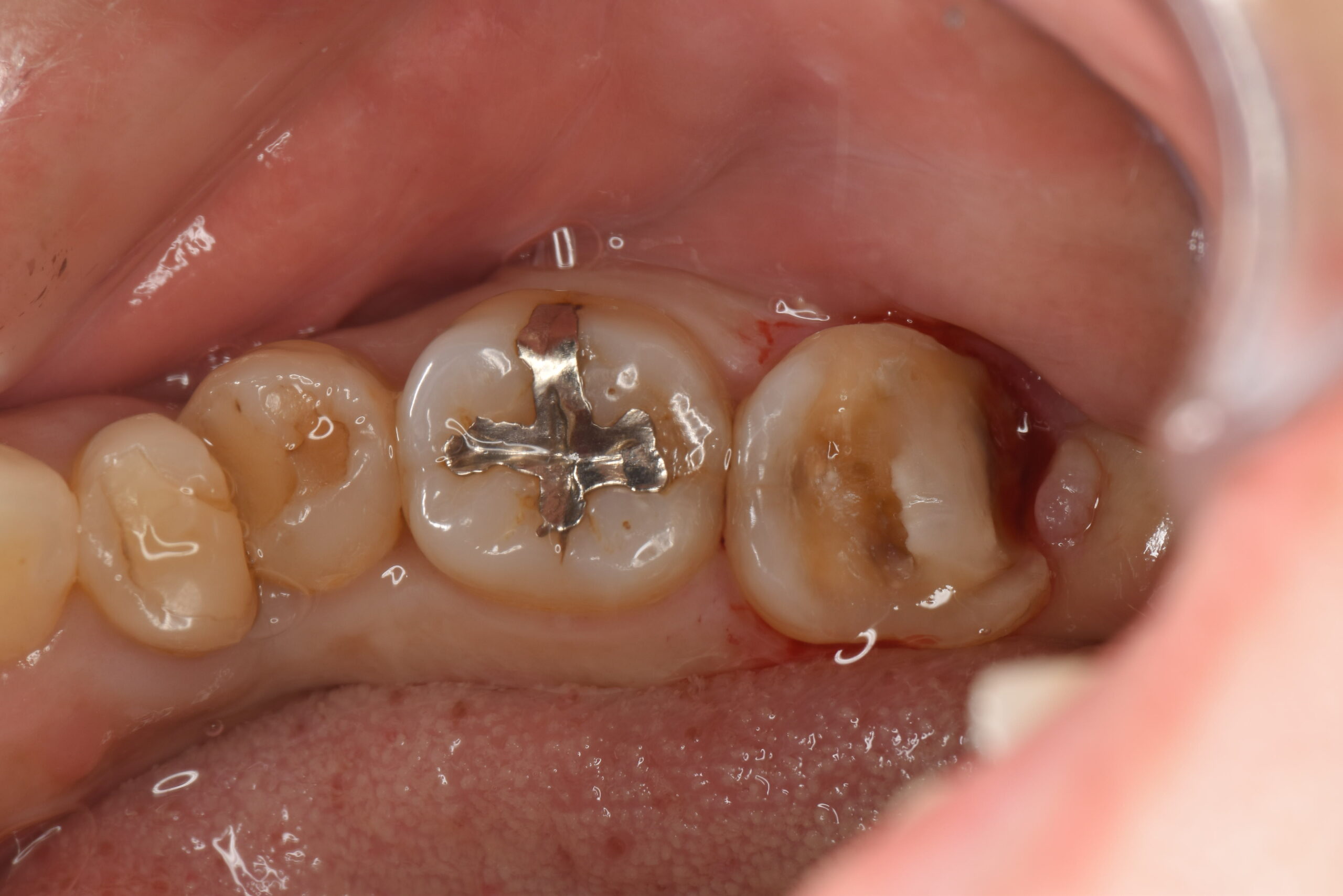
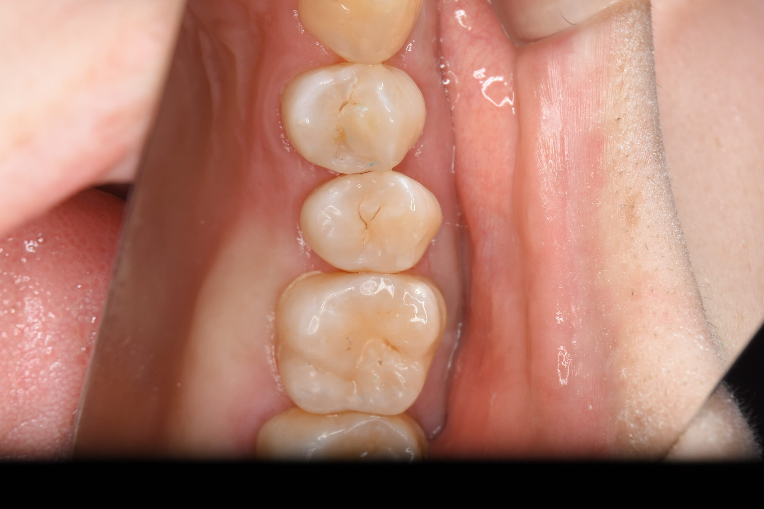
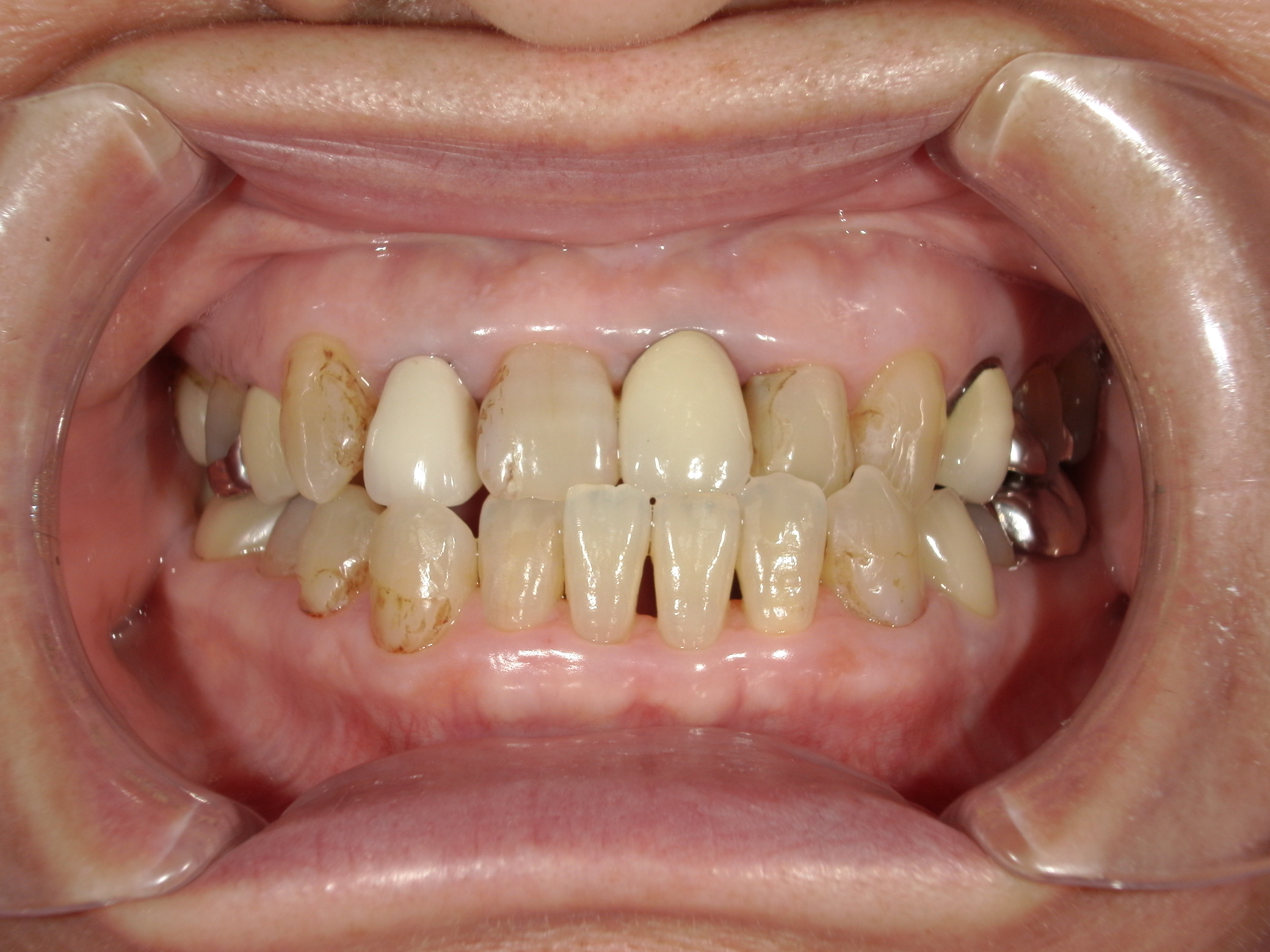
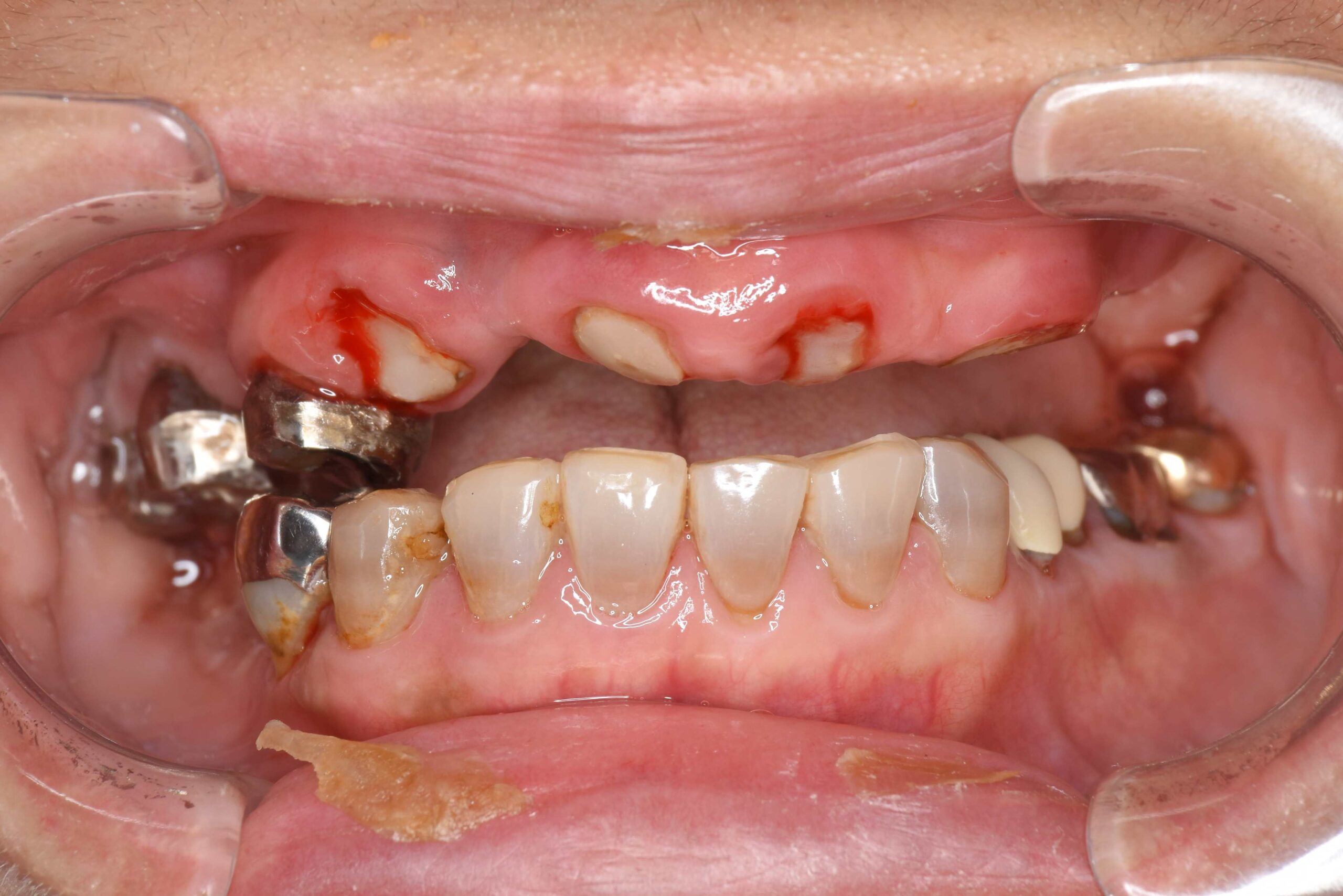
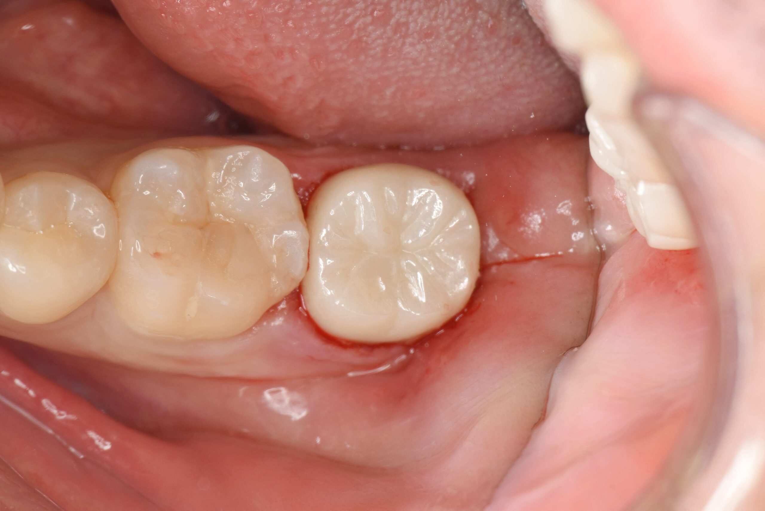
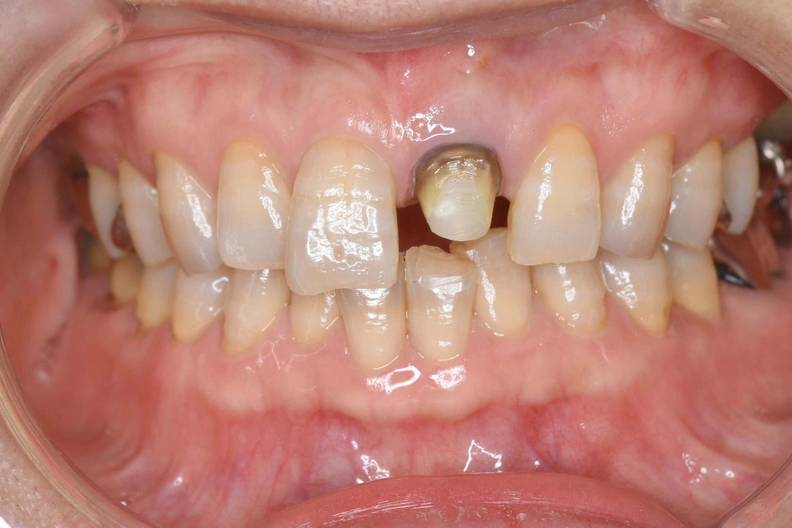
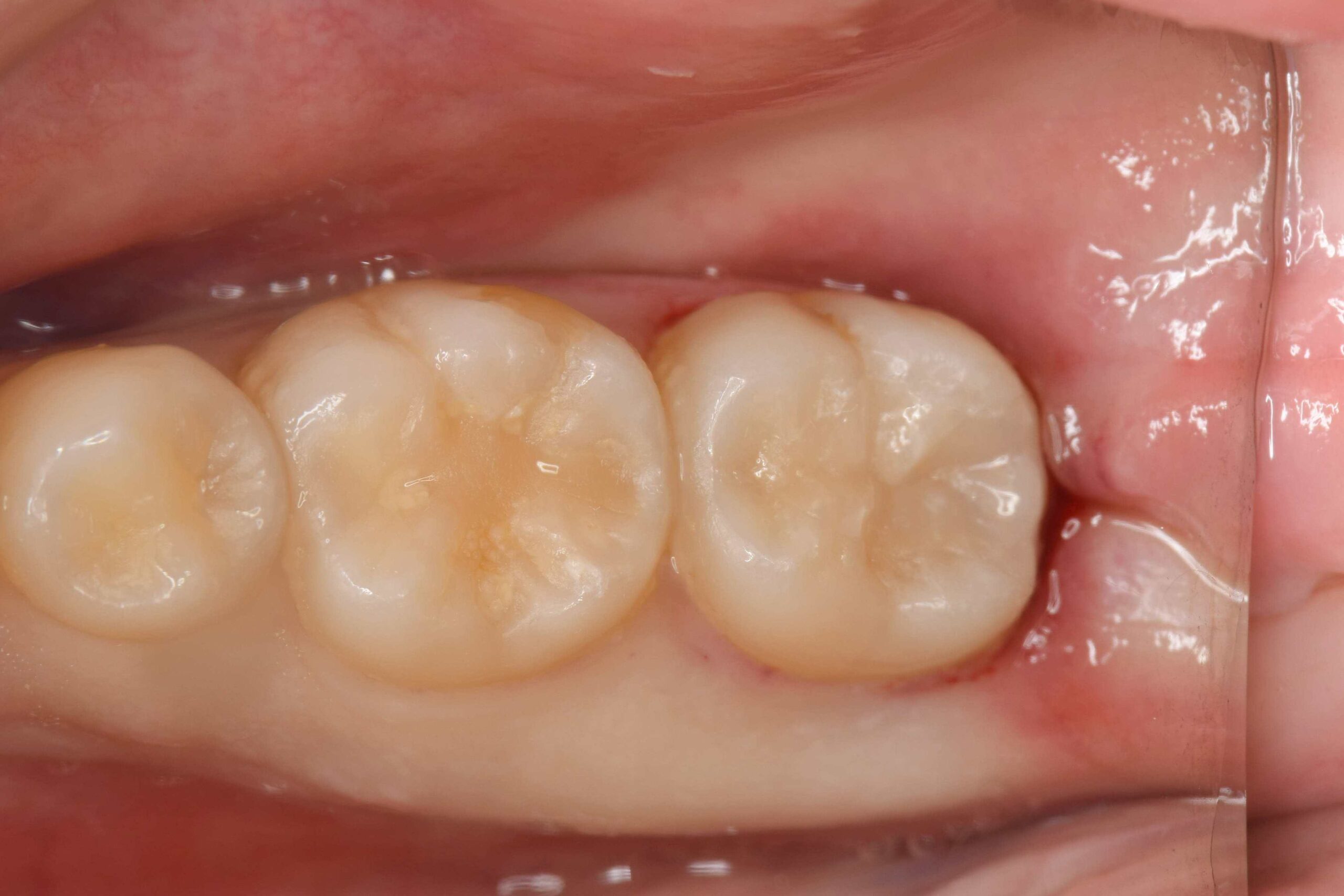
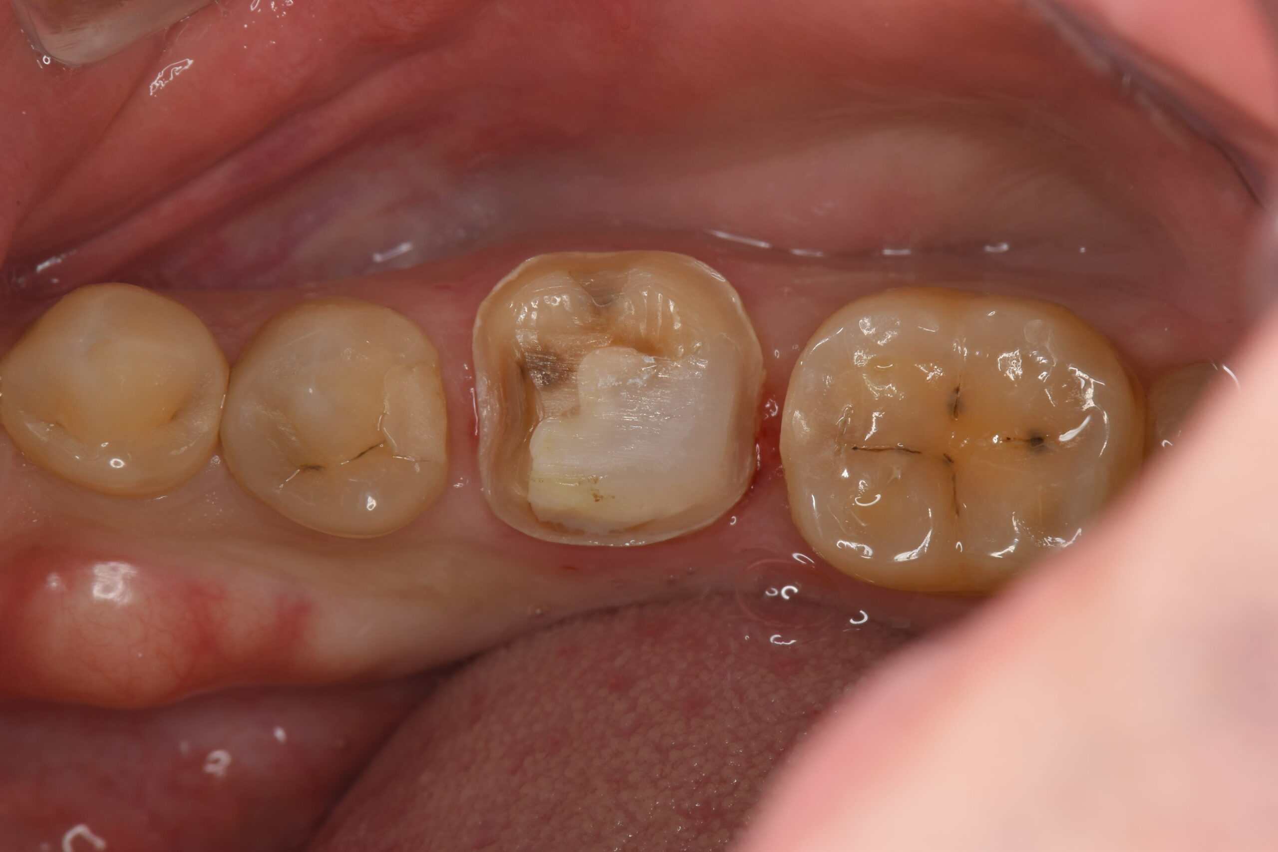
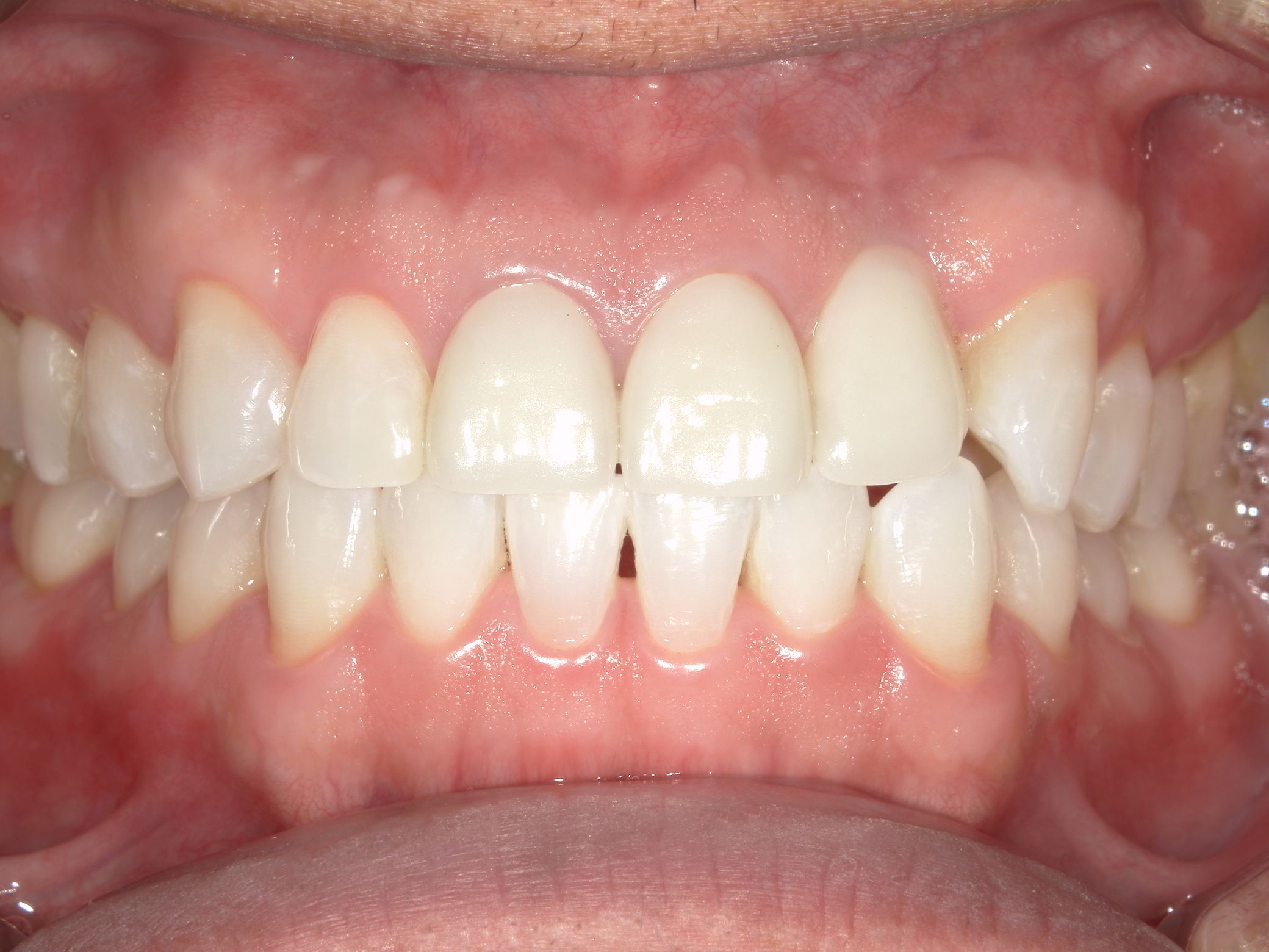
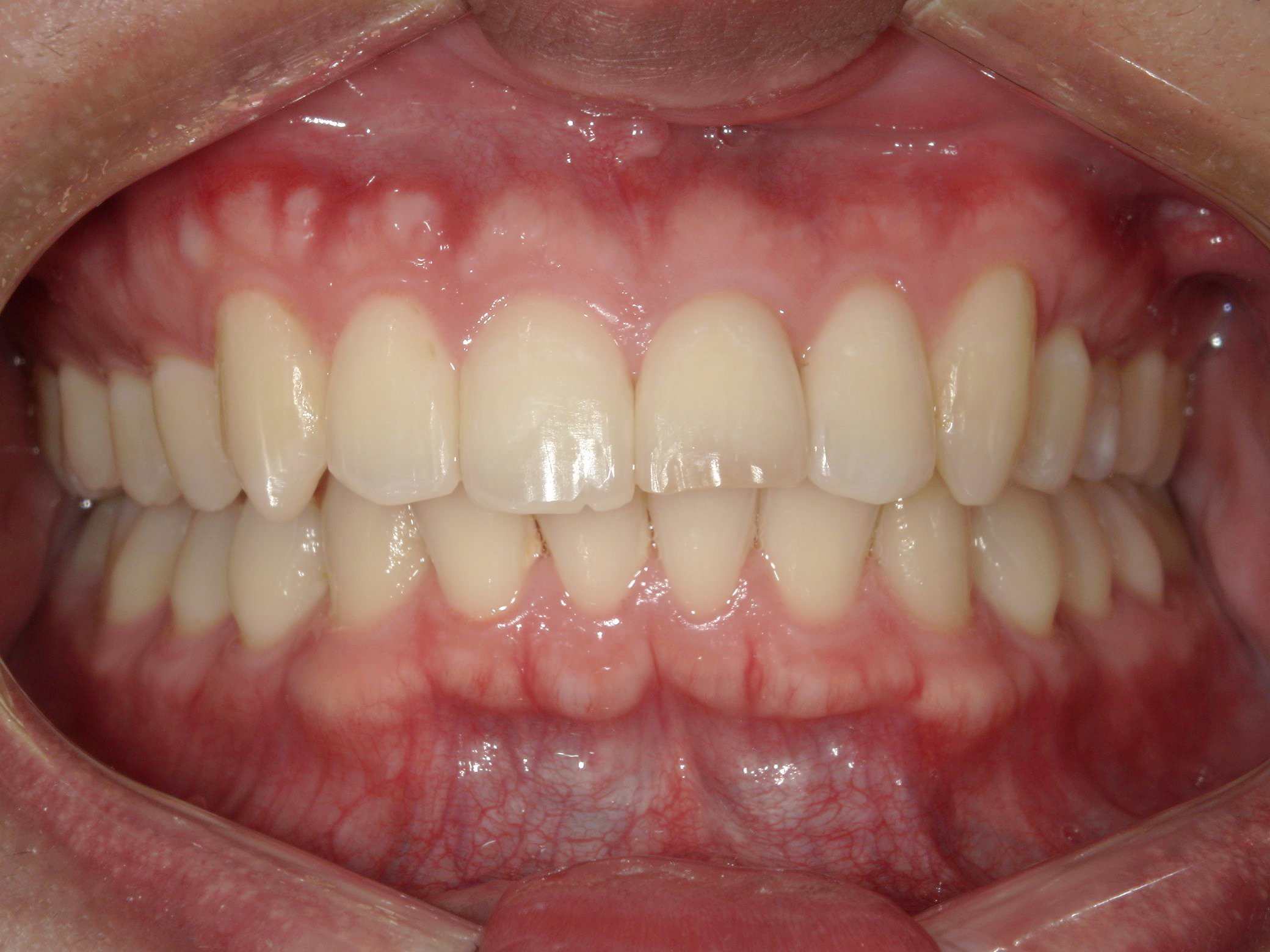
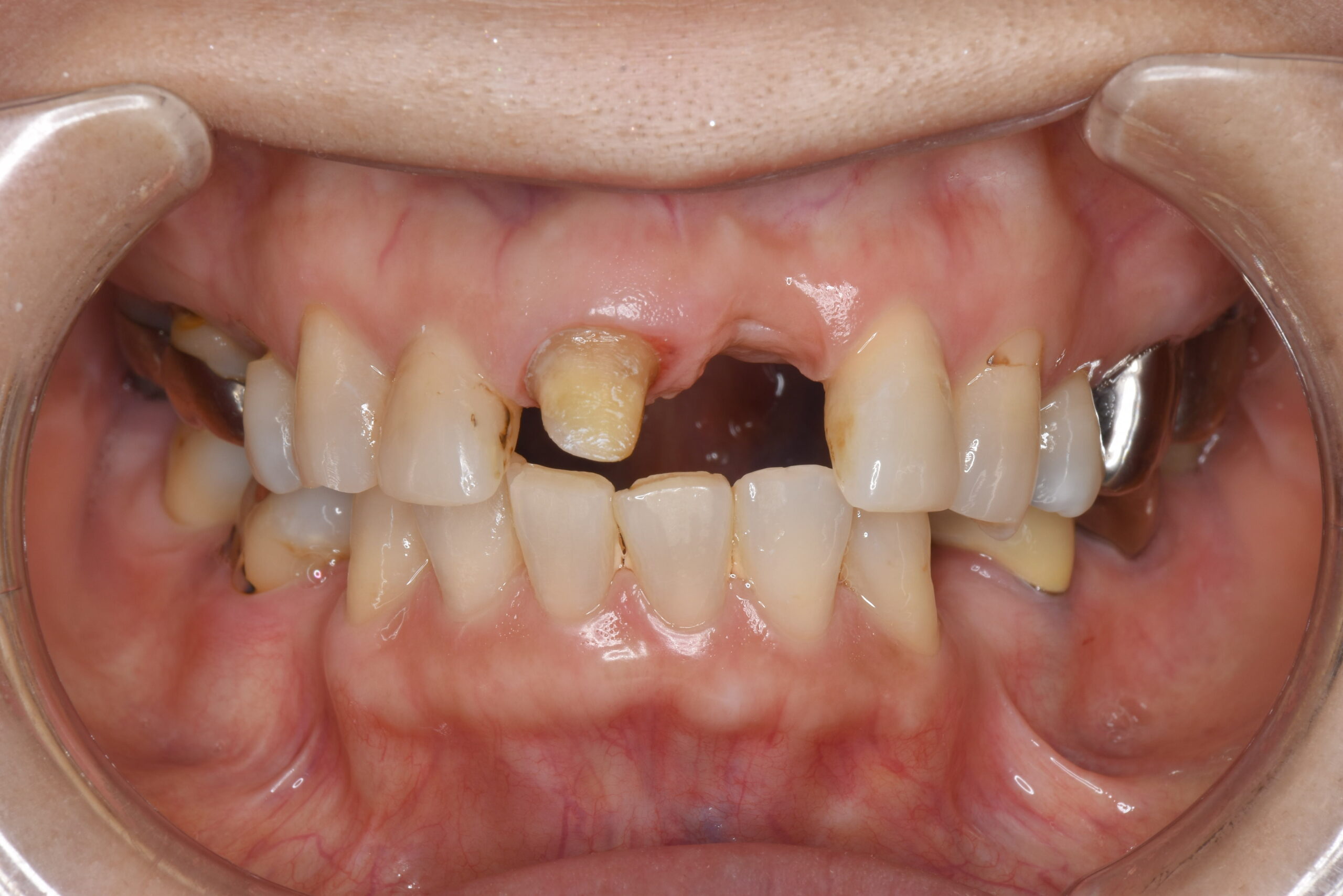
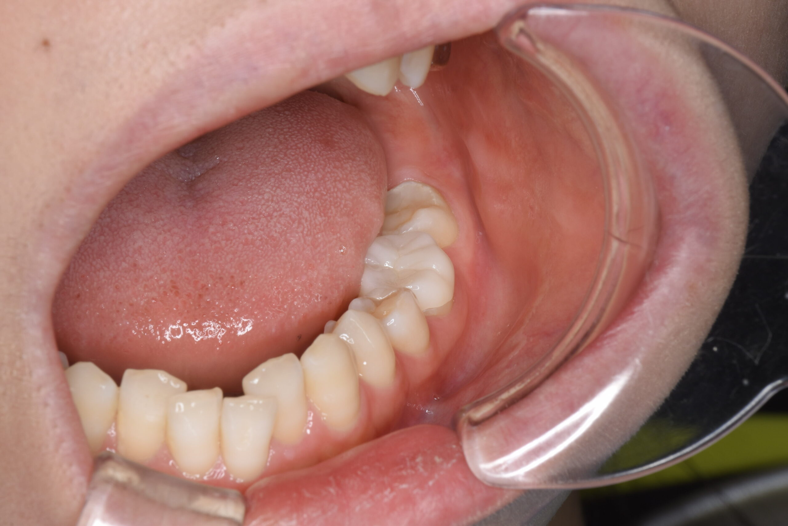
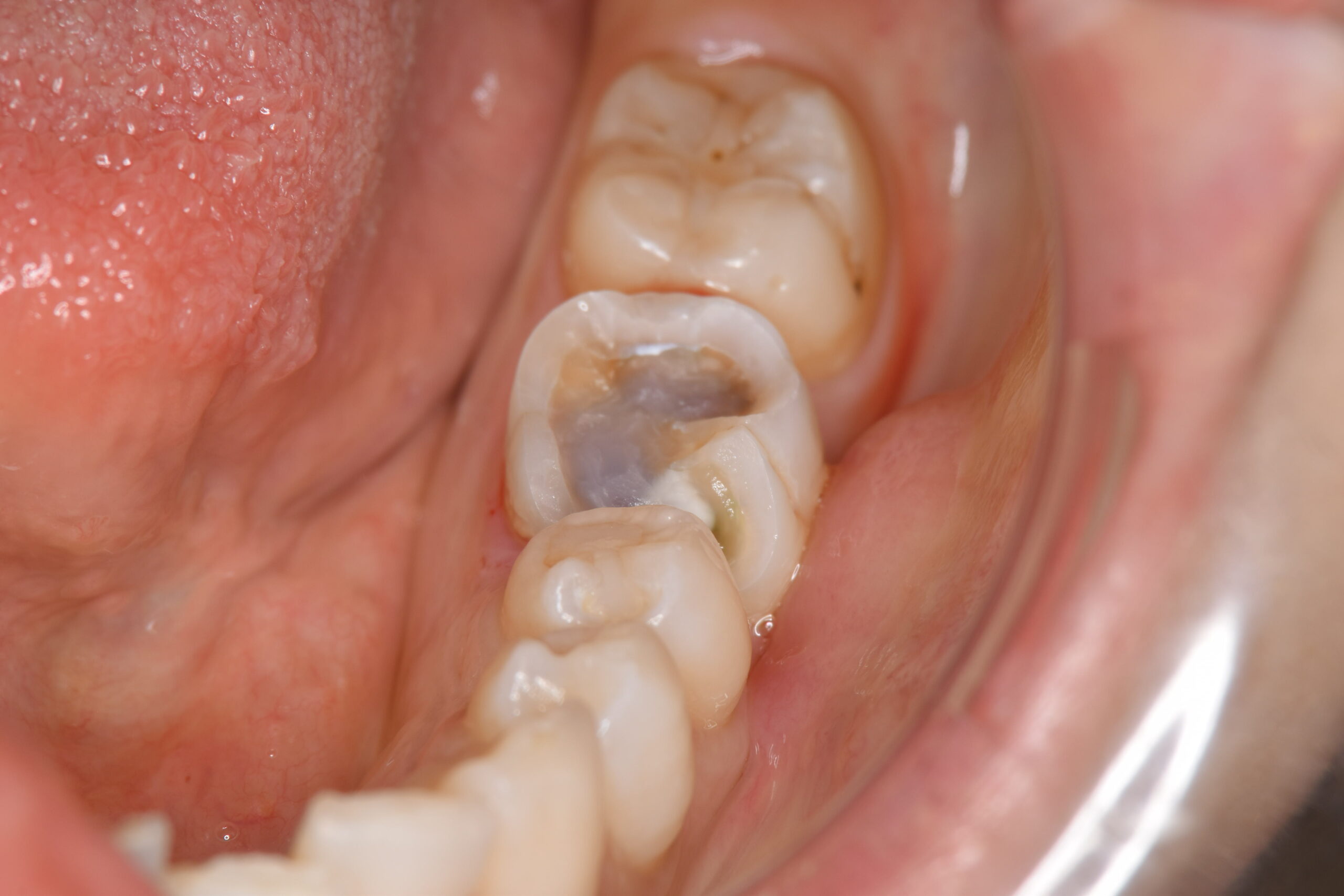
当院で治療した
患者さまの症例をご紹介

症例紹介一覧を見る

スペシャリストたちが連携
チーム医療を行う総合歯科医院

瑞穂区の歯医者・矯正歯科「すずき歯科・矯正歯科」には、一般歯科はもちろん、矯正歯科・歯周病治療・インプラント治療・補綴治療・小児歯科まで、各分野に精通した歯科医師が在籍。それぞれが専門性を活かして連携するチーム医療を提供しています。

診療の中心を担うのは3兄妹の歯科医師です。兄妹ならではの密な連携で、患者さま一人ひとりに合わせた最適な治療をご提供します。

当院では

「抜かない」「痛くない」

“患者ファーストの治療”

をご提供します。

安心してご相談ください。

チーム医療について見る

3兄妹の信頼関係で叶える
密な連携

患者さまの治療を担当するのは、院長の長男、副院長の次男、長女の3人です。3兄妹それぞれが専門性を磨きながら、密な連携と情報共有のもと、診療を行っています。

兄妹ならではの信頼関係とスムーズな連携を活かし、患者さま一人ひとりに寄り添って、将来の健康につながる適切な治療をご提供します。

スタッフ紹介

  • 院長・歯学博士鈴木 宏紀

    • 朝日大学歯学部 卒業
    • 博士号(歯学)取得
    • 日本歯周病学会 認定医
    • 衛生検査技士 資格
    • 天使保育園 園医

    専門治療

    一般歯科/歯周病治療/矯正歯科/補綴治療

  • 副院長鈴木 良典

    • 朝日大学歯学部卒
    • 海のうた保育室 園医
    • 日本口腔インプラント学会所属
    • インプラントスタディグループJACID所属

    専門治療

    一般歯科/補綴治療/インプラント治療/矯正歯科

  • 副院長鈴木 香穂

    • 朝日大学歯学部卒
    • 日本小児歯科学会

    専門治療

    一般歯科/補綴治療/小児歯科

  • 理事長鈴木 勝博

    • 岐阜歯科大学(現:朝日大学)歯学部卒
    • 朝日大学補綴学分野 非常勤講師
    • 堀田小学校 学校歯科医(1984年〜現在まで)
    • 日本歯科補綴学会認定 指導医・専門医
    • 補綴歯科専門医
    • ケアマネージャー資格
    • 衛生検査技士資格

    専門治療

    一般歯科/補綴治療

スタッフ紹介を見る

ご家族全員で通える
安心の空間づくり

お子さまから親御さま、成人の方、ご年配の方まで、すべての世代の方が笑顔で気軽に通える空間づくりを大切にしています。ご家族皆さまで安心してご来院ください。

見守り
カメラあり

小さなお子さまのいる親御さんが
治療に集中できる環境

現役ママが対応する無料託児

バリアフリー

ベビーカーや
車いすのまま診療室へ

広い駐車場

専用駐車場を
15台分完備

ファミリールーム

ご家族そろって
一緒に治療が可能

楽しく待てる

ボルダリングや
すべり台・ゲーム機あり

ガチャガチャ

治療後は
ガチャガチャを回せます

多目的トイレ

おむつ替え台あり
ベビーカーのまま入れる

家族が安心して通院できる
当院のこだわりを見る

KIDS

女医
在籍

小児歯科

兄弟・姉妹皆で
一緒に歯の健康を守る

小さなうちから歯医者に慣れてもらうことが、生涯の健康を守る第一歩です。当院ではファミリールームを完備しており、兄弟・姉妹で一緒に治療を受けていただけます。

また、在籍する女性歯科医師が、お子さま一人ひとりに寄り添って優しい治療を心がけています。兄弟・姉妹で、一緒に楽しく歯の健康を守っていきましょう。

園検診・学校検診での

歯科検診で紙をもらった

場合もご相談ください。

小児歯科について見る

予防歯科

担当歯科衛生士
二人三脚で健康をサポート

歯科衛生士 10 名在籍

担当歯科衛生士制を採用し、メインテナンスは毎回同じ歯科衛生士が担当します。患者さまのお口の状態を正確に把握しているため、細かな変化も見逃さずに的確にケアすることが可能です。

メインテナンスは専用の診療室で行うので、リラックスして処置を受けられるのも特長です。ちょっとしたお悩みも相談できる関係を築き、二人三脚でお口の健康をサポートします。

予防・メインテナンスについて見る

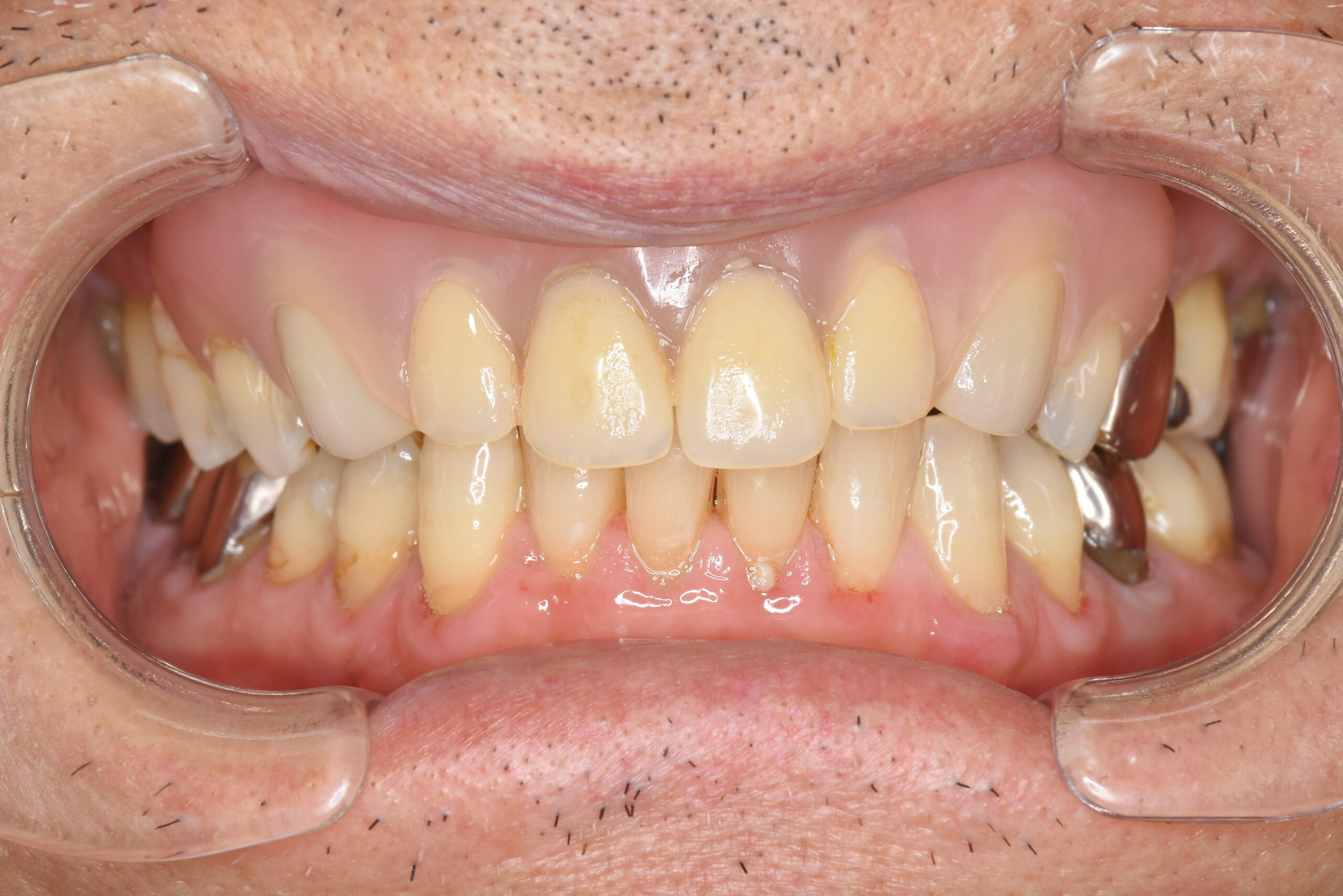
歯周病治療

歯周病治療の専門家による
一人ひとりに合った適切な治療

日本歯周病学会 認定医 在籍

歯ぐきの出血や歯のグラつきは、歯周病のサインかもしれません。瑞穂区の歯医者・矯正歯科「すずき歯科・矯正歯科」の院長は、日本歯周病学会認定医の資格を持つ歯科医師です。

専門的な知識と豊かな経験、高い技術力をもとに、一人ひとりの歯周病の進行度合いに応じた適切な治療を行います。重症化を防ぐためにも、気になる症状があれば早めのご相談ください。

歯周病治療について見る

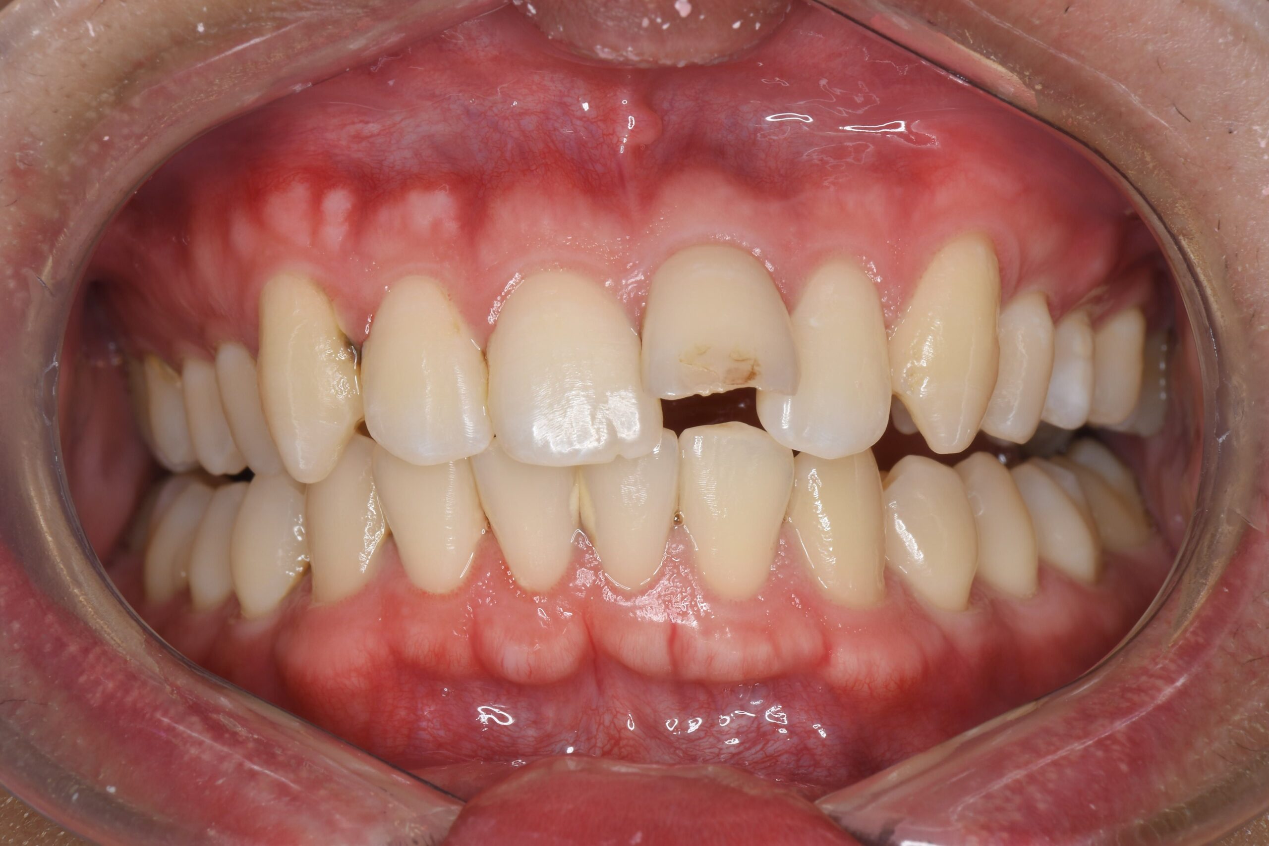
すきっ歯の治療

前歯のすき間
お悩みを解決

「前歯のすき間が気になって笑顔に自信が持てない」、そんなお悩みはありませんか?

当院では、ダイレクトボンディングやラミネートベニア、矯正歯科治療など、すきっ歯を改善するさまざまな治療法をご用意しています。見た目や通院回数などのご希望に合わせて、最適な治療をご提案します。

すきっ歯の治療について見る

患者さまの健康を
生涯通してお守りするために

POINT01

ご家族全員で
安心して通える環境を整備

瑞穂区の歯医者・矯正歯科「すずき歯科・矯正歯科」は、お子さまからご年配の方まで通いやすい環境を整えています。

託児フロアや無料託児サービスがあるので、親御さまも安心して治療を受けられます。また、院内はバリアフリーで、ベビーカー・車いすでもスムーズに移動できます。

POINT02

決めつけの治療はしません
複数の治療法をご提示します

一方的に治療を決めるのではなく、患者さまの不安やご希望を丁寧に伺い、複数の治療プランを分かりやすくご説明します。

再発予防を重視し、長期的な健康を見据えてご提案し、納得いただいたうえで治療を進めます。

POINT03

大切な歯を守る
必要最小限の治療を

治療によって一度削った歯は元に戻りません。当院では、拡大鏡やマイクロスコープを活用し、患部を細部まで確認しながら、健康な歯をできる限り削らず、抜かない治療を大切にしています。必要最小限の処置で大切な歯を守ります。

POINT04

痛みや不安に配慮し
患者さまの負担を軽減

麻酔注射の痛みが苦手な方にも配慮し、痛みを感じにくい箇所を選び、薬液をゆっくり注入します。必要に応じて表面麻酔や電動麻酔器も併用し、患者さまの不安や負担を軽減できるよう取り組んでいます。

POINT05

先進機器を活用する
精密な診査・診断と治療

歯科用CTは骨の状態を立体的に把握でき、根管治療やインプラント治療における診断精度を高めます。また、マイクロスコープを活用し、肉眼では見えない細部まで確認しながら、再発を防ぐ精密な処置を行います。

設備紹介について見る

これからも瑞穂区に根ざした
総合歯科医院として

瑞穂区の歯医者・矯正歯科「すずき歯科・矯正歯科」は、これからも瑞穂区に根ざした総合歯科医院として、地域の皆さまのお口の健康をいつまでも支えます。

ご家族そろって安心して通える場所として、皆さまから信頼され治療後に笑顔になれる歯医者を目指します。

診療時間
9:00-13:00 ×
14:00-18:00 ×

休診日:日曜・祝日