審美治療
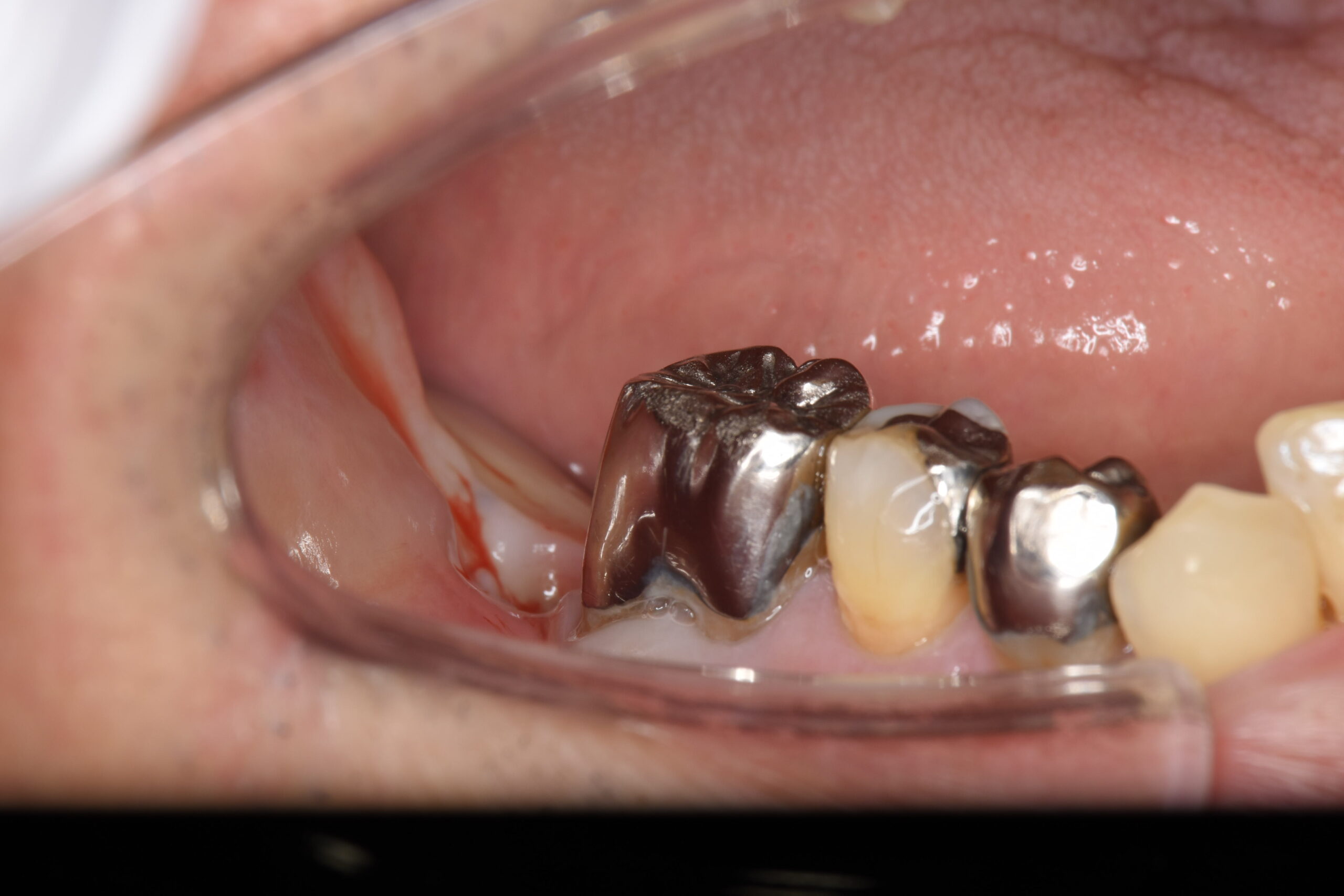
虫歯治療
愛知県名古屋市瑞穂区
症例
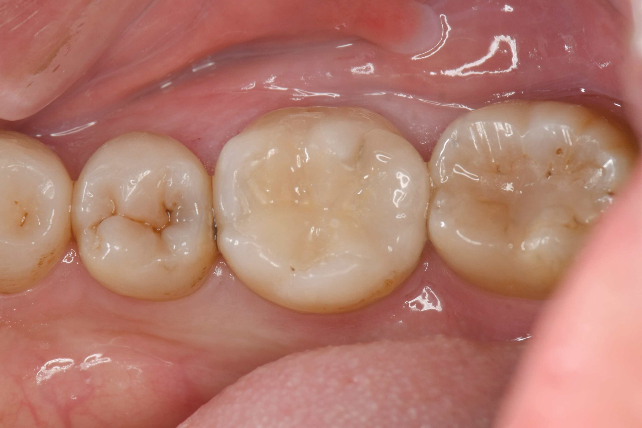
審美治療
虫歯治療
愛知県名古屋市瑞穂区
審美治療
虫歯治療
愛知県名古屋市瑞穂区
歯髄温存療法(VPT)
虫歯治療
愛知県名古屋市瑞穂区
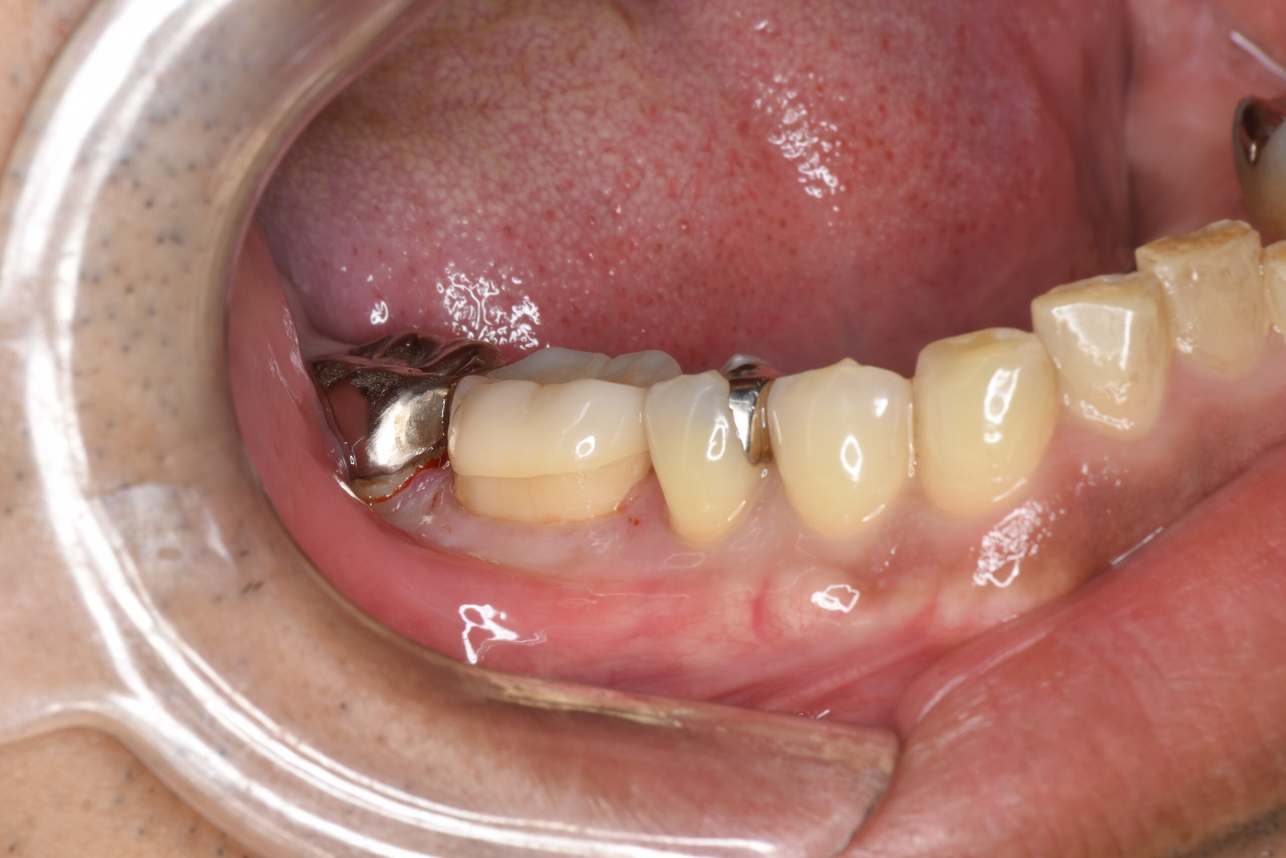
インプラント
愛知県名古屋市瑞穂区
オーバーレイ(テーブルトップベニヤ)
歯髄温存療法(VPT)
虫歯治療
愛知県名古屋市瑞穂区
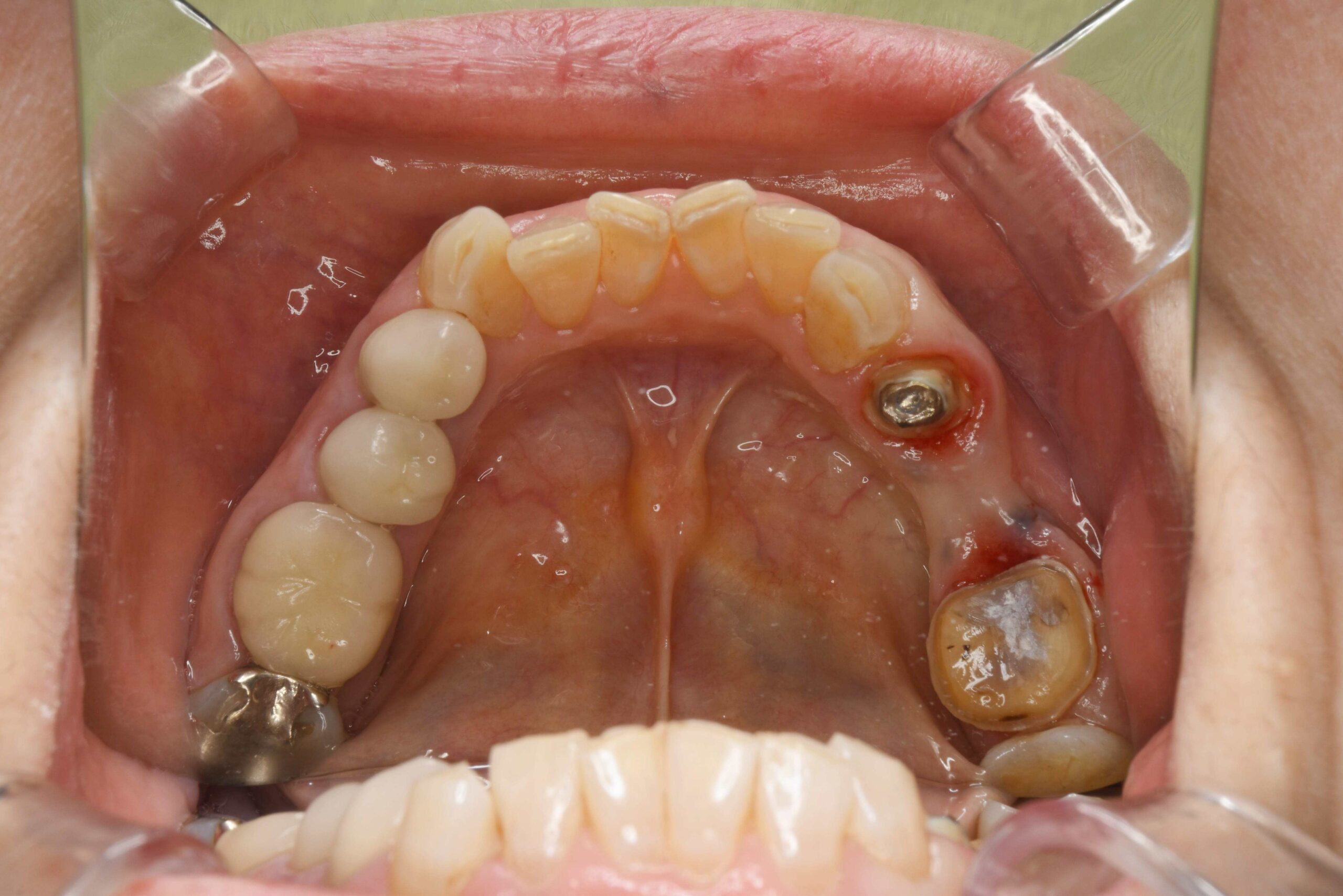
歯髄温存療法(VPT)
愛知県名古屋市昭和区
オーバーレイ(テーブルトップベニヤ)
虫歯治療
愛知県名古屋市瑞穂区
審美治療
虫歯治療
愛知県名古屋市瑞穂区
歯髄温存療法(VPT)
愛知県名古屋市瑞穂区
審美治療
虫歯治療
愛知県名古屋市瑞穂区