スマートデンチャー(ノンクラスプデンチャー)での入れ歯治療(60代女性)|瑞穂区の歯医者「すずき歯科・矯正歯科」

瑞穂区の歯医者「すずき歯科・矯正歯科」

完全予約制

家族の健康 ここから。

症例

スマートデンチャー(ノンクラスプデンチャー)での入れ歯治療(60代女性)

スマートデンチャー(ノンクラスプデンチャー)での入れ歯治療(60代女性)

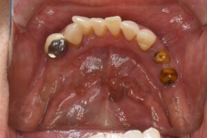
治療前

治療前

治療後

治療後
症例タイトル
スマートデンチャー(ノンクラスプデンチャー)での入れ歯治療(60代女性)
所在地
愛知県名古屋市瑞穂区
患者さまの主訴
歯を治してほしい
治療内容
バネなしの入れ歯の作成を行なった。
患者さまの年齢
60代
患者さまの性別
女性
治療期間
10回
治療にかかった総額
726,000円
治療する際に起こるメリット
手術を行うことなく欠損部の回復を図ることができる
短期間での治療
複数本を一度に回復できる
治療する際に起こるリスク・副作用
食後毎回洗浄と歯ブラシをする必要性
痛み
腫れ
入れ歯による歯茎の圧迫
長期間使用でのバネ部分の緩み
噛むのには適していない

関連症例

瑞穂区の歯医者
「すずき歯科・矯正歯科」

〒467-0831
愛知県名古屋市瑞穂区惣作町1−29

電話番号 TEL:052-882-8108

診療時間9:00~13:00/14:00~18:00

休診日日曜・祝日

監修者情報

すずき歯科・矯正歯科
副院長 鈴木 良典

朝日大学歯学部卒業後、岐阜県の病院勤務を経て、すずき歯科・矯正歯科に勤務。インプラントや矯正治療に精通し、複数の専門学会に所属。副院長を務めている。

副院長紹介を見る
診療時間
9:00-13:00 ×
14:00-18:00 ×

休診日:日曜・祝日