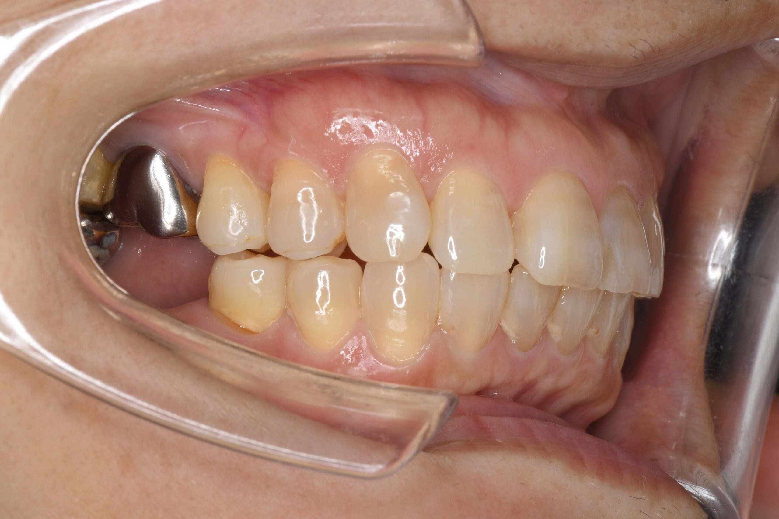
インプラント
愛知県名古屋市熱田区
症例
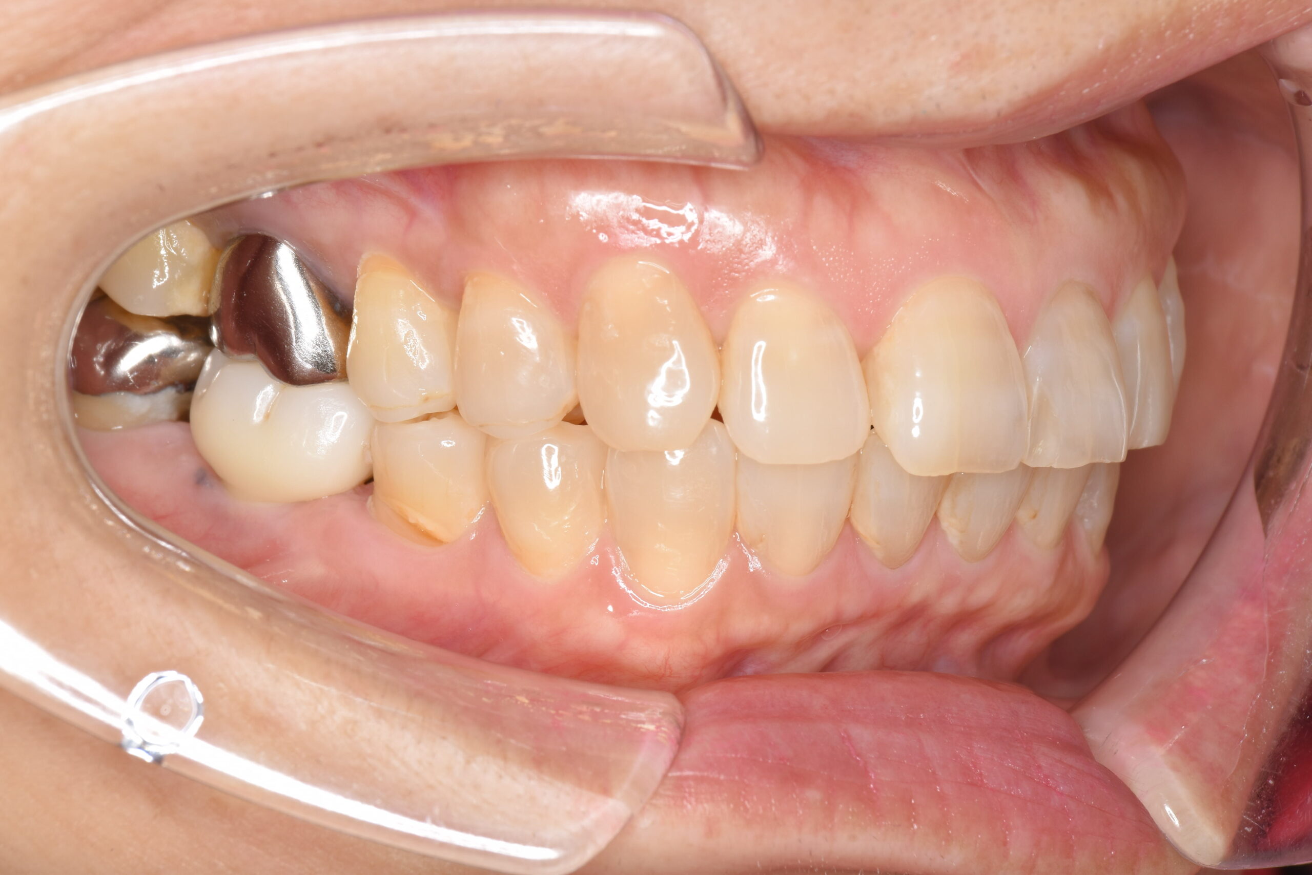
インプラント
愛知県名古屋市熱田区
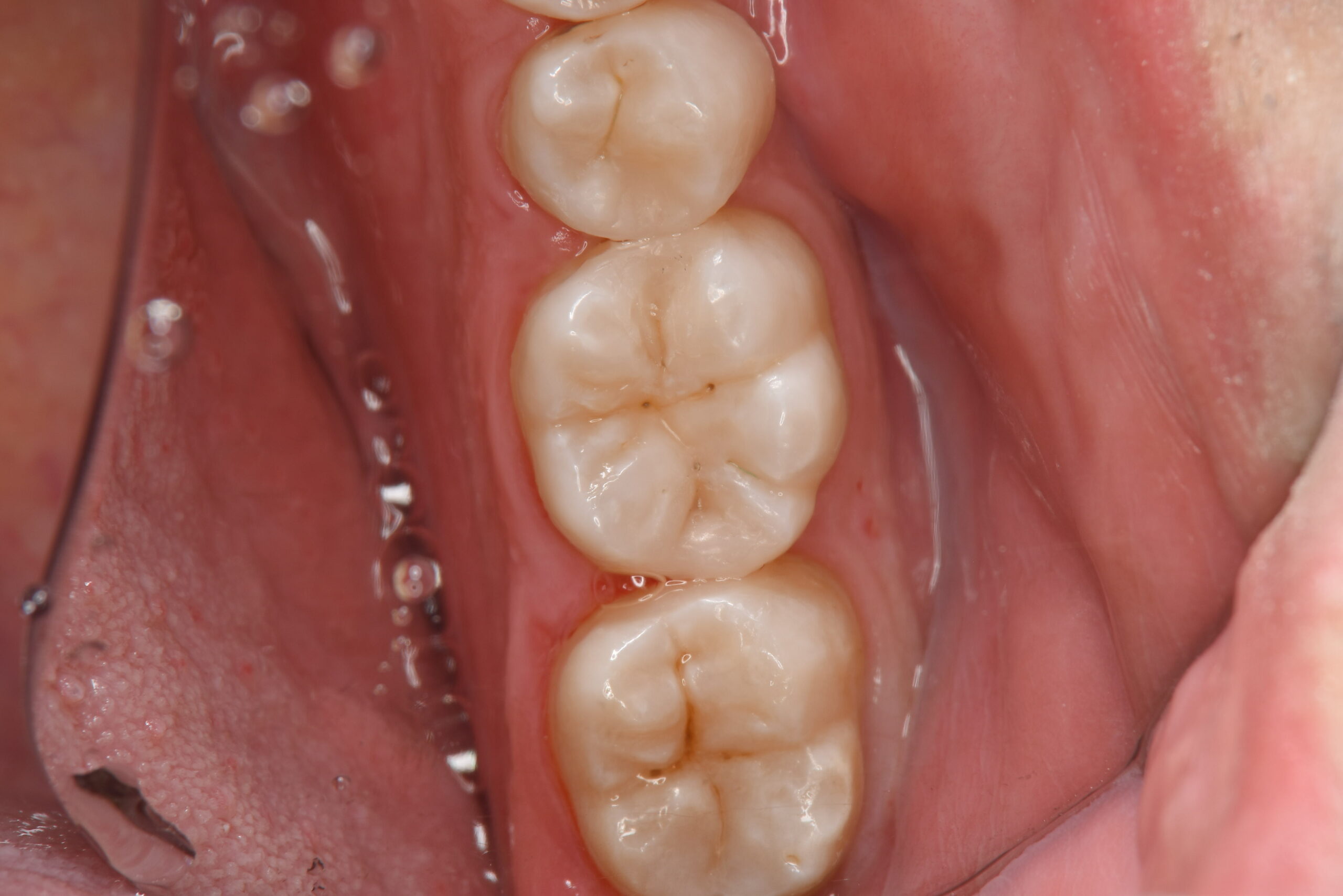
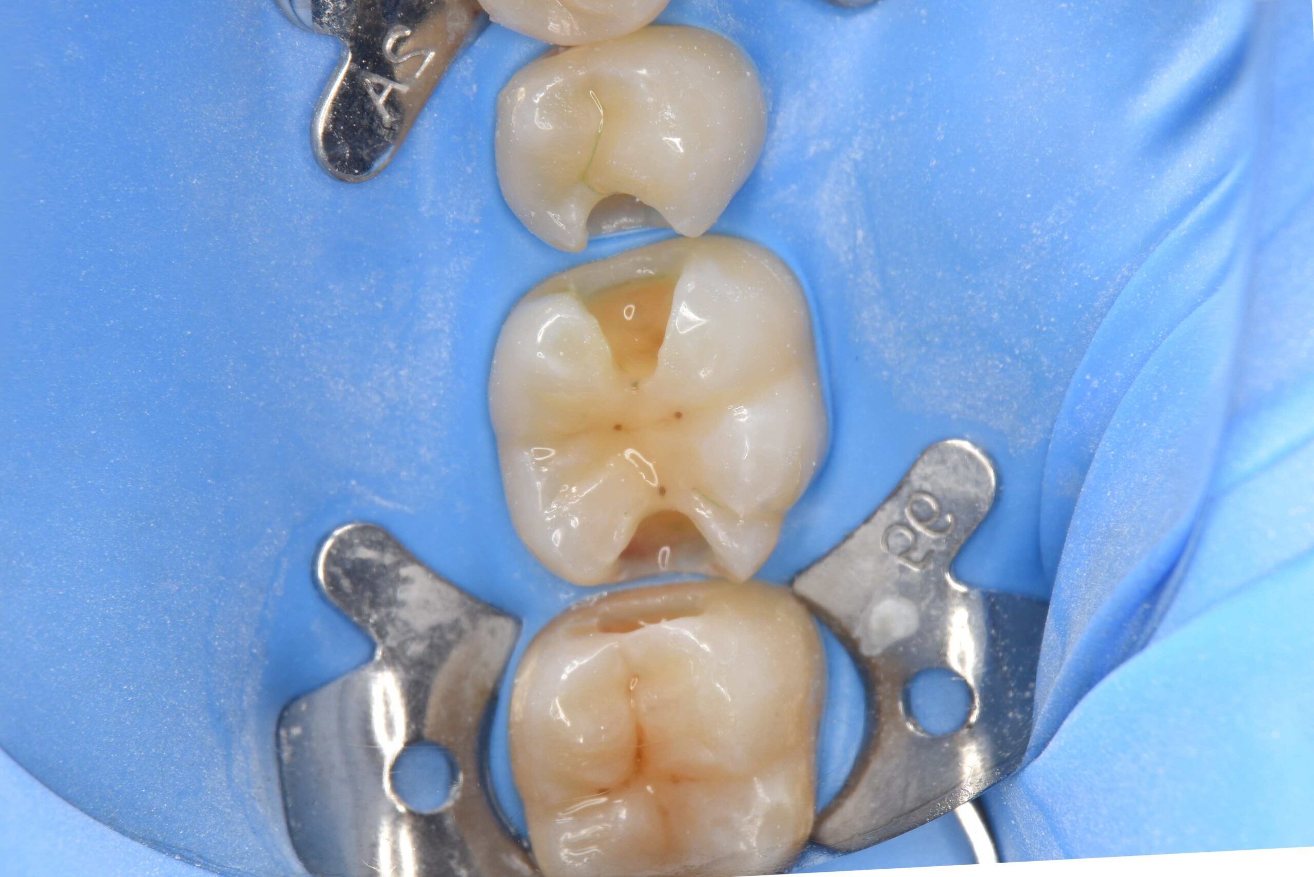
歯髄温存療法(VPT)
虫歯治療
愛知県名古屋市瑞穂区
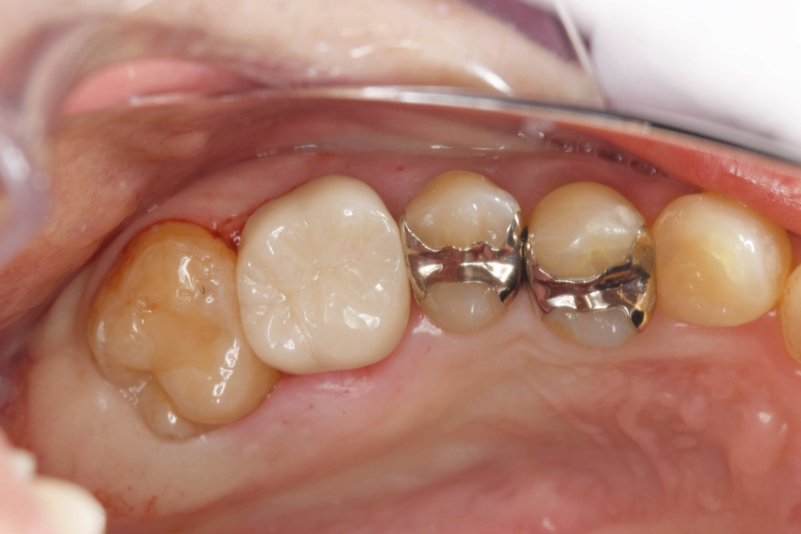
ダイレクトボンディング
虫歯治療
三重県松阪市
審美治療
虫歯治療
愛知県名古屋市南区
審美治療
虫歯治療
愛知県名古屋市昭和区
審美治療
虫歯治療
愛知県名古屋市瑞穂区
ダイレクトボンディング
虫歯治療
愛知県名古屋市熱田区
審美治療
虫歯治療
愛知県名古屋市瑞穂区
ホワイトニング
愛知県名古屋市瑞穂区
審美治療
虫歯治療
愛知県名古屋市昭和区