奥歯の虫歯を除去後、ジルコニアで被せ物(50代男性)|瑞穂区の歯医者「すずき歯科・矯正歯科」

瑞穂区の歯医者「すずき歯科・矯正歯科」

完全予約制

家族の健康 ここから。

症例

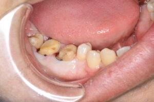
奥歯の虫歯を除去後、ジルコニアで被せ物(50代男性)

再発リスクを限りなく低く!ジルコニア治療

治療前

治療前

治療後

治療後

ジルコニアの最大の利点は、「圧倒的な強度」と「優れた生体親和性」の両立です。「人工ダイヤモンド」とも呼ばれるほど頑丈なため、強い力がかかる奥歯でも割れにくく、銀歯のように経年劣化で変形して隙間ができるリスクが極めて低いです。

また、表面が非常に滑らかで、汚れ(プラーク)が付着しにくいという特性があります。これにより、周囲の歯ぐきの炎症や、被せ物の内部で虫歯が再発する「二次カリエス」を強力に防ぎます。

金属を一切使用しないため、アレルギーや歯ぐきの変色の心配もありません。精密な根管治療後の歯を、強固かつ清潔に守り続けるための最良の「鎧」としての役割を果たします。

症例タイトル
奥歯の虫歯を除去後、ジルコニアで被せ物(50代男性)
所在地
愛知県名古屋市瑞穂区
患者さまの主訴
奥歯の虫歯を治したい
治療内容
虫歯除去後、ジルコニアにて補綴処置を行なった
患者さまの年齢
50代
患者さまの性別
男性
治療期間
2回
治療にかかった総額
143,000円
治療する際に起こるメリット
プラークが付きにくい(清潔)
セラミック表面はなめらかで、細菌の付着が少なく虫歯や歯周病の再発リスクが低い。
自然な見た目
変色しにくい
金属アレルギーの心配がない
精度が高い
治療する際に起こるリスク・副作用
強い衝撃で割れることがある
知覚過敏
歯の痛み
腫れ
出血

関連症例

瑞穂区の歯医者
「すずき歯科・矯正歯科」

〒467-0831
愛知県名古屋市瑞穂区惣作町1−29

電話番号 TEL:052-882-8108

診療時間9:00~13:00/14:00~18:00

休診日日曜・祝日

監修者情報

すずき歯科・矯正歯科
副院長 鈴木 良典

朝日大学歯学部卒業後、岐阜県の病院勤務を経て、すずき歯科・矯正歯科に勤務。インプラントや矯正治療に精通し、複数の専門学会に所属。副院長を務めている。

副院長紹介を見る
診療時間
9:00-13:00 ×
14:00-18:00 ×

休診日:日曜・祝日