瑞穂区の歯医者・矯正歯科
すずき歯科・矯正歯科
完全予約制
名鉄堀田駅徒歩3分
症例
患者様はお久しぶりの歯医者さんとのこと、虫歯があると思うので良い治療でしっかり治していきたいとのことでしたので、虫歯再発率の低い自由診療を中心に治療内容とメリットデメリットについて説明を行いました。
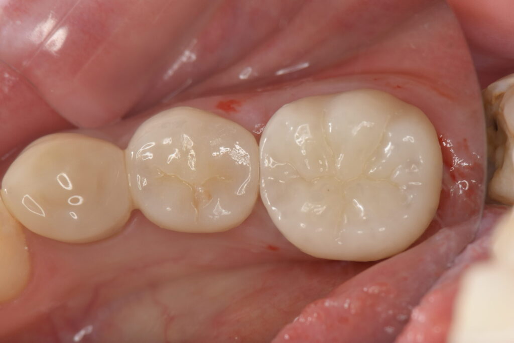
患者様は精密治療を希望されたため、まずは左下の虫歯をジルコニアセラミックで被せ直しました。


奥歯にセラミックを選ぶ最大の利点は、精密な適合性による「再発防止」です。銀歯は接着剤が唾液で溶けやすく、長年使ううちに歯との間に隙間が生じ、そこから虫歯が再発するリスクを抱えています。一方、セラミックは歯と化学的に強力に接着するため、細菌の侵入を許さず、歯の寿命を大幅に延ばすことができます。
また、歯周組織への影響も見逃せません。セラミックは表面が極めて滑らかで、汚れ(プラーク)が付きにくい性質を持っています。これにより、銀歯に比べて周囲の歯ぐきが炎症を起こしにくく、清潔な口腔環境を保ちやすくなります。
さらに、金属アレルギーの心配がない「メタルフリー」である点も重要です。金属の溶け出しによる体への蓄積や、歯ぐきの黒ずみを防げるため、健康意識の高い方にとって非常に価値のある選択肢となります。
| 症例タイトル |
|---|
| 久しぶりの歯医者さん、ジルコニアでかぶせもの(40代女性) |
| 所在地 |
| 愛知県名古屋市瑞穂区 |
| 患者さまの主訴 |
| 虫歯があると思うので、最も良い治療で治してほしい |
| 治療内容 |
| 複数本の虫歯を順番にセラミックやダイレクトボンディングで治した |
| 患者さまの年齢 |
| 40代 |
| 患者さまの性別 |
| 女性 |
| 治療期間 |
| 2回 |
| 治療にかかった総額 |
| ジルコニア1本143,000円 |
| 治療する際に起こるメリット |
|
プラークが付きにくい(清潔) セラミック表面はなめらかで、細菌の付着が少なく虫歯や歯周病の再発リスクが低い。 自然な見た目 変色しにくい 金属アレルギーの心配がない 精度が高い |
| 治療する際に起こるリスク・副作用 |
|
強い衝撃で割れることがある 知覚過敏 歯の痛み 腫れ 出血 |
瑞穂区の歯医者
「すずき歯科・矯正歯科」
監修者情報
朝日大学歯学部卒業後、岐阜県の病院勤務を経て、すずき歯科・矯正歯科に勤務。インプラントや矯正治療に精通し、複数の専門学会に所属。副院長を務めている。
副院長紹介を見る