瑞穂区の歯医者・矯正歯科
すずき歯科・矯正歯科
完全予約制
名鉄堀田駅徒歩3分
症例
検診希望で来院された患者様です。レントゲン検査と口腔内診査にて虫歯を認めたため、治療の必要性とその選択肢、メリットデメリットについてお話しさせていただきました。
患者様は虫歯再発率の少ないダイレクトボンディングでの治療を希望されたので報告させていただきます。

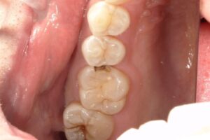
赤丸部に歯の中に黒く透けた虫歯が認められます。

ラバーダム防湿下で、残りの虫歯も丁寧に除去をしていきます。できる限り健康な歯を削らないためには、時間をかけることがポイントです。自由診療は保険診療と違い、時間に制約のないのでそれが可能となります。

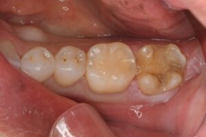
虫歯が綺麗に除去できたので、接着力を最大限強化した状態で穴を歯の形に仕上げていきます。
歯の見た目を自然に改善し、虫歯治療も一日で完了するダイレクトボンディング。
最小限の切削で歯を守る 従来の治療では、虫歯の周りの健康な部分まで削る必要がありましたが、ダイレクトボンディングは虫歯部分や欠けた部分だけをピンポイントで補修します。これにより、大切な天然歯を最大限残すことができ、歯の寿命を延ばします。
「通院回数を減らしたい」を叶える 型取りが不要なため、通常は一回の来院で治療が完了します。お仕事や育児で忙しい方でも、気軽に美しい口元を手に入れることが可能です。
銀歯や詰め物の変色が気になる方へ レジンを直接歯に盛り付けて形を作るため、複数の色を使い分けることで、ご自身の歯と見分けがつかないほど自然な仕上がりになります。銀歯や、古いプラスチックの変色にお悩みの方におすすめです。
金属アレルギーの心配もありません 金属を一切使用しないため、金属アレルギーの方も安心して治療を受けていただけます。歯と身体の両方に優しい治療法です。
| 症例タイトル |
|---|
| 奥歯2本の虫歯をダイレクトボンディングで治療(20代男性) |
| 所在地 |
| 愛知県名古屋市熱田区 |
| 患者さまの主訴 |
| 検診をしてほしい |
| 治療内容 |
| 奥歯の虫歯の治療をダイレクトボンディングで治療した |
| 患者さまの年齢 |
| 20代 |
| 患者さまの性別 |
| 男性 |
| 治療期間 |
| 1日 |
| 治療にかかった総額 |
| 154,000円 |
| 治療する際に起こるメリット |
|
自然な見た目 接着力、耐久性が高く虫歯の再発率が低い。また変色しにくい 金属アレルギーの心配がない |
| 治療する際に起こるリスク・副作用 |
|
強い衝撃で割れることがある 知覚過敏 歯の痛み 腫れ 出血 |
瑞穂区の歯医者
「すずき歯科・矯正歯科」
監修者情報
朝日大学大学院で歯周病学を専攻し博士号を取得。日本歯周病学会 認定医として臨床・研究に従事し、複数の学会に所属。現在はすずき歯科・矯正歯科院長として地域医療に貢献。
院長紹介を見る