瑞穂区の歯医者・矯正歯科
すずき歯科・矯正歯科
完全予約制
名鉄堀田駅徒歩3分
症例

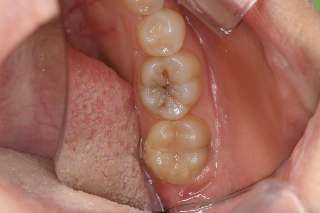
| 症例タイトル |
|---|
| 虫歯のダイレクトボンディング治療(20代女性) |
| 所在地 |
| 愛知県名古屋市瑞穂区 |
| 患者さまの主訴 |
| 虫歯を治したい |
| 治療内容 |
| 虫歯をダイレクトボンディングの技法を用いて治療した |
| 患者さまの年齢 |
| 20代 |
| 患者さまの性別 |
| 女性 |
| 治療期間 |
| 1回 |
| 治療にかかった総額 |
| 66,000円 |
| 治療する際に起こるメリット |
|
自然な見た目 接着力、耐久性が高く虫歯の再発率が低い。また変色しにくい 金属アレルギーの心配がない |
| 治療する際に起こるリスク・副作用 |
|
強い衝撃で割れることがある 知覚過敏 歯の痛み 腫れ 出血 |
瑞穂区の歯医者
「すずき歯科・矯正歯科」
監修者情報
朝日大学大学院で歯周病学を専攻し博士号を取得。日本歯周病学会 認定医として臨床・研究に従事し、複数の学会に所属。現在はすずき歯科・矯正歯科院長として地域医療に貢献。
院長紹介を見る