瑞穂区の歯医者・矯正歯科
すずき歯科・矯正歯科
完全予約制
名鉄堀田駅徒歩3分
症例
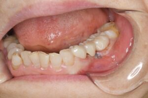
銀歯の下での虫歯の再発に対し、根管治療を歯内療法の専門医と連携しやり直し(自由診療)、その後セラミックで補綴処置を行なった。

今回の治療の最大のメリットは、「再発率の劇的な低下」と「歯の破折防止」の両立です。
まず根管治療において、保険診療の成功率は一般的に30〜50%程度(再治療の場合はさらに低下)と言われますが、専門医がマイクロスコープやラバーダムを用いて行う精密治療では、成功率が60〜90%近くまで向上します。肉眼では見えない汚れを徹底的に除去し、隙間なく密閉することで、数年後の「再感染による抜歯」のリスクを最小限に抑えています。
さらに、土台を整えた後のジルコニアは、銀歯と比較して圧倒的に衛生的です。銀歯は経年劣化で変形し、セメントが溶け出した隙間から二次虫歯を招きやすいですが、ジルコニアは変質せず、汚れ(プラーク)も付着しにくい性質を持ちます。また、銀歯のように熱による膨張・収縮で歯にストレスをかけることもありません。
人工ダイヤモンドとも呼ばれるジルコニアの強靭さと、専門医による精密な基礎工事(根管治療)が組み合わさることで、単なる修理ではなく、「生涯にわたって自分の歯を使い続けるための投資」としての価値が生まれています。
| 症例タイトル |
|---|
| 小臼歯精密根管治療後のジルコニアセラミック治療(40代男性) |
| 所在地 |
| 岐阜県安八郡 |
| 患者さまの主訴 |
| 定期検診をしてほしい |
| 治療内容 |
| 銀歯の下での虫歯の再発に対し、根管治療を歯内療法の専門医と連携しやり直し(自由診療)、その後セラミックで補綴処置を行なった。 |
| 患者さまの年齢 |
| 40代 |
| 患者さまの性別 |
| 男性 |
| 治療期間 |
| 被せ物治療2回 |
| 治療にかかった総額 |
| 被せ物1本110,000円(根幹治療別) |
| 治療する際に起こるメリット |
|
プラークが付きにくい(清潔) セラミック表面はなめらかで、細菌の付着が少なく虫歯や歯周病の再発リスクが低い。 自然な見た目 変色しにくい 金属アレルギーの心配がない 精度が高い |
| 治療する際に起こるリスク・副作用 |
|
強い衝撃で割れることがある 歯の痛み 腫れ 出血 |
瑞穂区の歯医者
「すずき歯科・矯正歯科」
監修者情報
朝日大学歯学部卒業後、岐阜県の病院勤務を経て、すずき歯科・矯正歯科に勤務。インプラントや矯正治療に精通し、複数の専門学会に所属。副院長を務めている。
副院長紹介を見る