オフィスホワイトニング(20代女性)|瑞穂区の歯医者「すずき歯科・矯正歯科」

瑞穂区の歯医者「すずき歯科・矯正歯科」

完全予約制

家族の健康 ここから。

症例

オフィスホワイトニング(20代女性)

オフィスホワイトニング(20代女性)

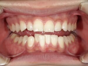
治療前

治療前

治療後

治療後
症例タイトル
オフィスホワイトニング(20代女性)
所在地
愛知県名古屋市瑞穂区
患者さまの主訴
歯を白くしたい
治療内容
オフィスホワイトニングを2回行った。
患者さまの年齢
20代
患者さまの性別
女性
治療期間
通院2回
治療にかかった総額
52,800円
治療する際に起こるメリット
歯が白くなる
治療する際に起こるリスク・副作用
知覚過敏
歯の痛み
腫れ
薬液が歯茎についた場合は一時的に白くなる

関連症例

瑞穂区の歯医者
「すずき歯科・矯正歯科」

〒467-0831
愛知県名古屋市瑞穂区惣作町1−29

電話番号 TEL:052-882-8108

診療時間9:00~13:00/14:00~18:00

休診日日曜・祝日

監修者情報

すずき歯科・矯正歯科
副院長 鈴木 良典

朝日大学歯学部卒業後、岐阜県の病院勤務を経て、すずき歯科・矯正歯科に勤務。インプラントや矯正治療に精通し、複数の専門学会に所属。副院長を務めている。

副院長紹介を見る
診療時間
9:00-13:00 ×
14:00-18:00 ×

休診日:日曜・祝日