歯周病治療で、将来歯が抜けないように(20代男性)|瑞穂区の歯医者「すずき歯科・矯正歯科」

瑞穂区の歯医者「すずき歯科・矯正歯科」

完全予約制

家族の健康 ここから。

症例

歯周病治療で、将来歯が抜けないように(20代男性)

歯周病治療で、将来歯が抜けないように(20代男性)

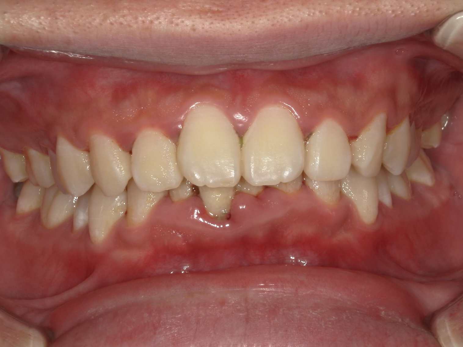
治療前

治療前

治療後

治療後

歯周病治療の根幹は、単なる「汚れ落とし」ではなく、「感染源の徹底除去」と「お口の環境再構築」にあります。

歯周病は、歯周病菌が潜むプラーク(歯垢)や歯石が原因で、歯を支える骨が溶けてしまう病気です。一度溶けた骨は簡単には元に戻らないため、治療の第一歩は、細菌の住処である歯石を専用の器具で徹底的に取り除く「スケーリング」や「ルートプレーニング」から始まります。特に歯茎の深いポケット内にこびりついた歯石は、肉眼では見えないため、手探りやマイクロスコープを用いた精密な処置が不可欠です。

しかし、医院での処置と同じくらい重要なのが「セルフケアの確立」です。どれだけ綺麗に掃除しても、日々のブラッシングが不十分であれば、数日で細菌は再び増殖し始めます。そのため、歯間ブラシやフロスの適切な使用を含めた指導も治療の重要なプロセスです。

重症化している場合には、保険の適応外の歯周外科手術で直接汚れを取り除いたり、失われた組織を再生させる「歯周組織再生療法」を検討することもあります。

歯周病は全身疾患との関わりも深く、治療を完結させることは一生の健康を守ることに直結します。定期的なメンテナンスで「再発させない環境」を維持し続けることが、最終的なゴールとなります。

症例タイトル
歯周病治療で、将来歯が抜けないように(20代男性)
所在地
愛知県名古屋市瑞穂区
患者さまの主訴
歯周病を治したい
治療内容
除石を中心とした歯周病の治療を行なった。
患者さまの年齢
20代
患者さまの性別
男性
治療期間
4回
治療にかかった総額
骨吸収を伴わないため保険治療
治療する際に起こるメリット
将来歯周病で歯が喪失するリスクを低減
口臭の改善
糖尿病をはじめ生活習慣病の予防
心筋梗塞、脳梗塞のリスクの低減
治療する際に起こるリスク・副作用
出血
痛み

瑞穂区の歯医者
「すずき歯科・矯正歯科」

〒467-0831
愛知県名古屋市瑞穂区惣作町1−29

電話番号 TEL:052-882-8108

診療時間9:00~13:00/14:00~18:00

休診日日曜・祝日

監修者情報

すずき歯科・矯正歯科
院長・歯学博士 鈴木 宏紀

朝日大学大学院で歯周病学を専攻し博士号を取得。日本歯周病学会 認定医として臨床・研究に従事し、複数の学会に所属。現在はすずき歯科・矯正歯科院長として地域医療に貢献。

院長紹介を見る
診療時間
9:00-13:00 ×
14:00-18:00 ×

休診日:日曜・祝日