オフィスホワイトニング(20代男性)|瑞穂区の歯医者「すずき歯科・矯正歯科」

瑞穂区の歯医者「すずき歯科・矯正歯科」

完全予約制

家族の健康 ここから。

症例

オフィスホワイトニング(20代男性)

オフィスホワイトニング(20代男性)

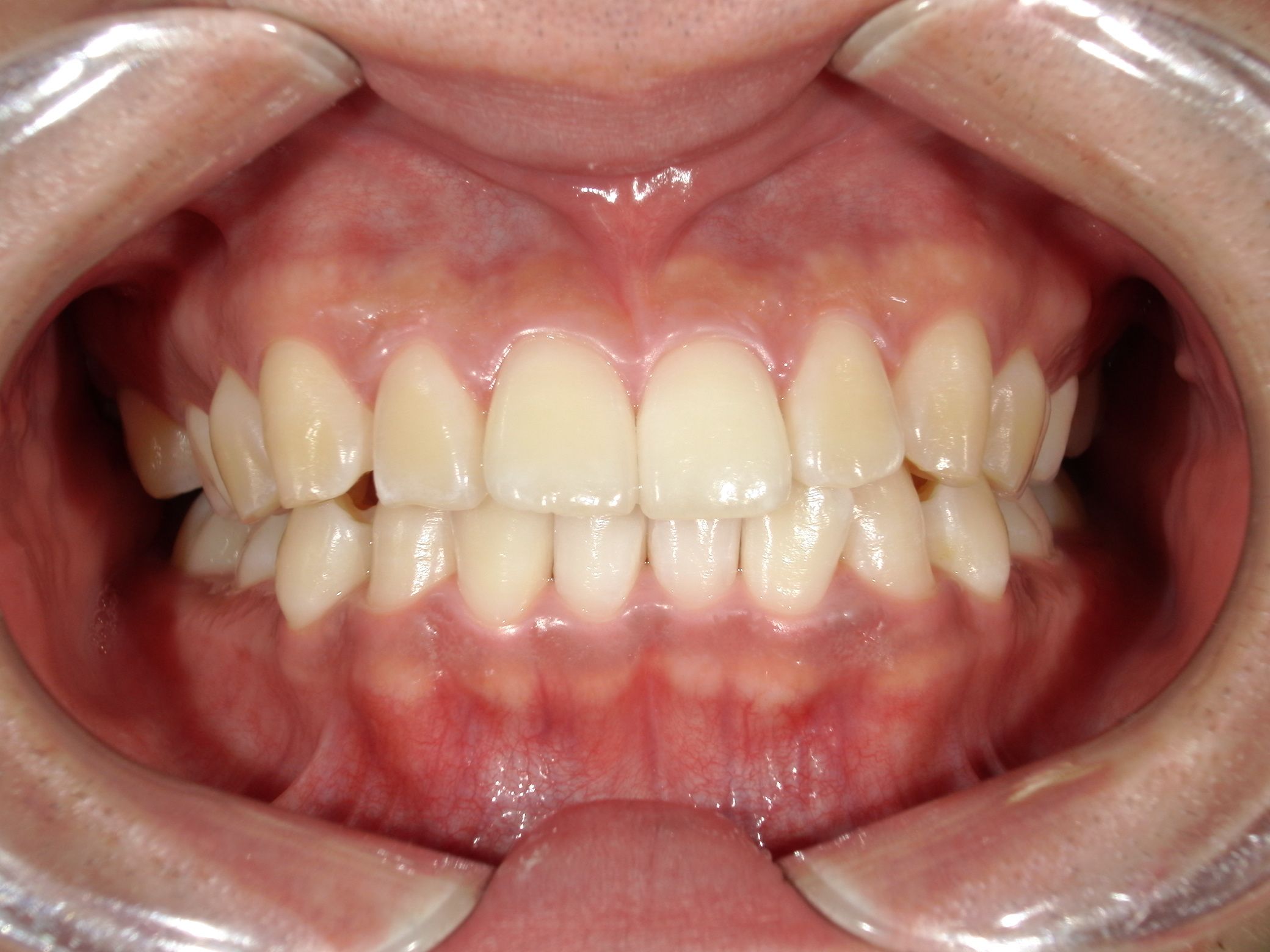
治療前

治療前

治療後

治療後
症例タイトル
オフィスホワイトニング(20代男性)
所在地
岐阜県岐阜市
患者さまの主訴
歯を白くしたい
治療内容
オフィスホワイトニングを行なった
患者さまの年齢
20代
患者さまの性別
男性
治療期間
2回通院(3照射×2回)
治療にかかった総額
70,400円
治療する際に起こるメリット
歯が白くなる
治療する際に起こるリスク・副作用
知覚過敏
歯の痛み
腫れ
薬液が歯茎についた場合は一時的に白くなる

関連症例

瑞穂区の歯医者
「すずき歯科・矯正歯科」

〒467-0831
愛知県名古屋市瑞穂区惣作町1−29

電話番号 TEL:052-882-8108

診療時間9:00~13:00/14:00~18:00

休診日日曜・祝日

監修者情報

すずき歯科・矯正歯科
副院長 鈴木 良典

朝日大学歯学部卒業後、岐阜県の病院勤務を経て、すずき歯科・矯正歯科に勤務。インプラントや矯正治療に精通し、複数の専門学会に所属。副院長を務めている。

副院長紹介を見る
診療時間
9:00-13:00 ×
14:00-18:00 ×

休診日:日曜・祝日