瑞穂区の歯医者・矯正歯科
すずき歯科・矯正歯科
完全予約制
名鉄堀田駅徒歩3分
症例
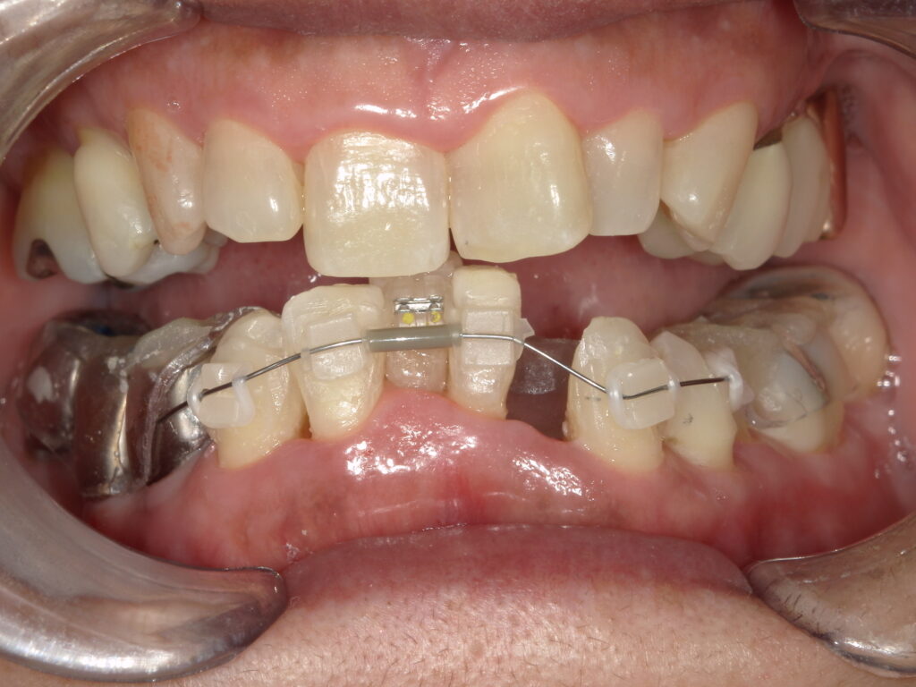
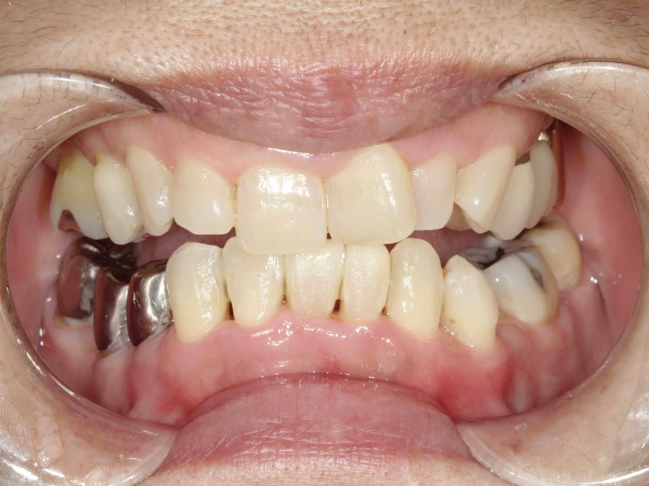
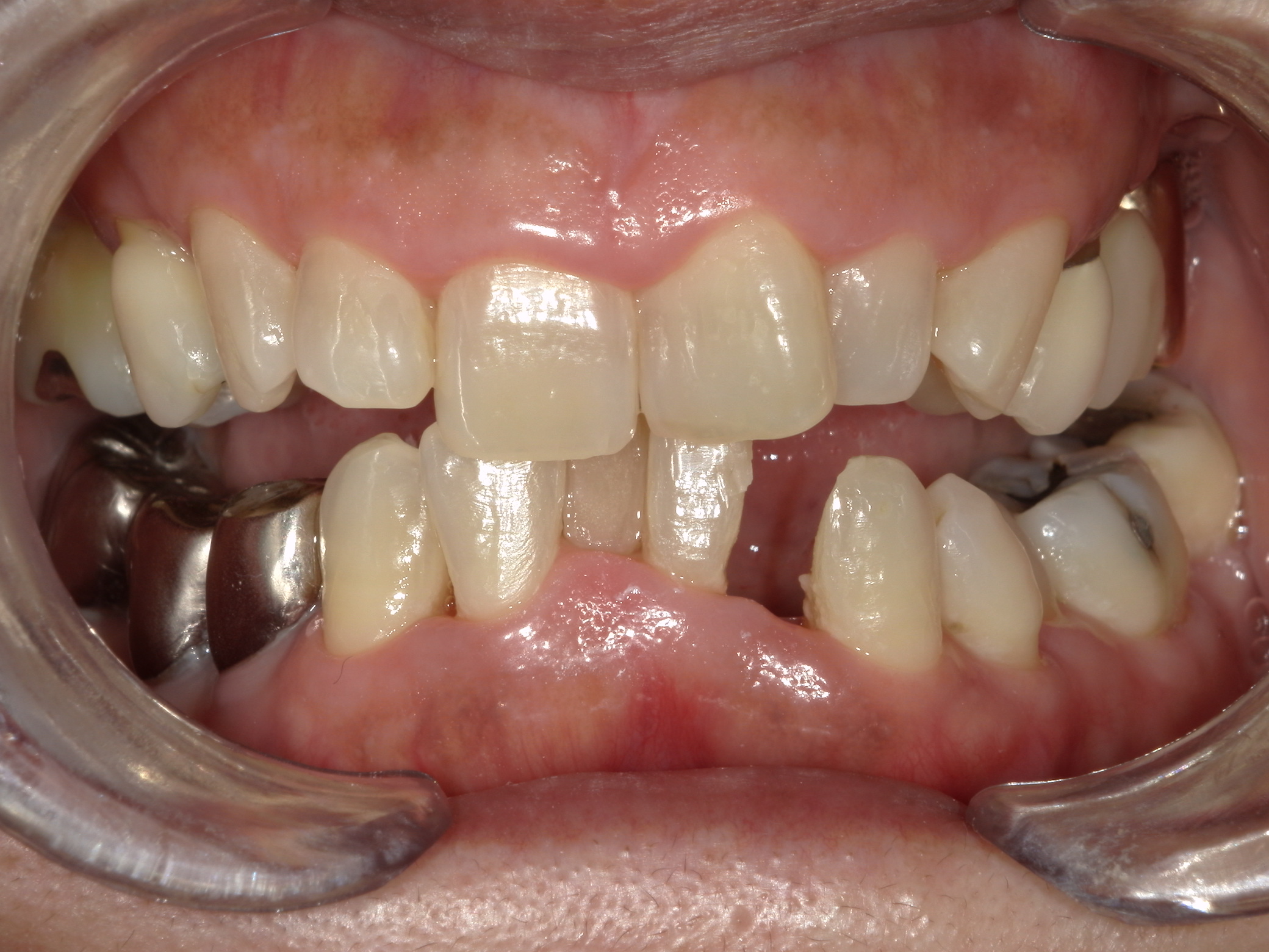
抜けた歯を補うには、隣の2本以上の歯をけずってブリッジ、入れ歯などがありますが、今回は歯科矯正治療での歯の隙間の改善を選ばれたため治療を行いました。
下の前歯は全体的にガタガタしており歯ブラシも難しくなっていたため、同時に改善できると判断しご提案させていただきました。

歯の矯正治療には年齢は関係なく、条件さえ整えば何歳でも行うことができるということを患者様の皆さまに知っていただきたいです。
| 症例タイトル |
|---|
| 前歯の部分矯正(70代女性) |
| 所在地 |
| 愛知県名古屋市瑞穂区 |
| 患者さまの主訴 |
| 抜けた前歯を治したい |
| 治療内容 |
| 矯正治療にて、失った歯の隙間を埋めた症例 |
| 患者さまの年齢 |
| 70代 |
| 患者さまの性別 |
| 女性 |
| 治療期間 |
| 5ヶ月 |
| 治療にかかった総額 |
| 矯正基本料金110,000円、月1回の調整料4400円 |
| 治療する際に起こるメリット |
|
歯並びの改善 見た目の改善 不正咬合による歯の破折などのリスクの低下 叢生改善による虫歯・歯周病のリスクの低下 |
| 治療する際に起こるリスク・副作用 |
|
痛みや不快感がある 歯根吸収が起こる場合がある 歯肉退縮(歯ぐきが下がる)ことがある 顎関節に影響を与える可能性 後戻りの可能性がある |
瑞穂区の歯医者
「すずき歯科・矯正歯科」
監修者情報
朝日大学歯学部卒業後、岐阜県の病院勤務を経て、すずき歯科・矯正歯科に勤務。インプラントや矯正治療に精通し、複数の専門学会に所属。副院長を務めている。
副院長紹介を見る