瑞穂区の歯医者・矯正歯科
すずき歯科・矯正歯科
完全予約制
名鉄堀田駅徒歩3分
症例
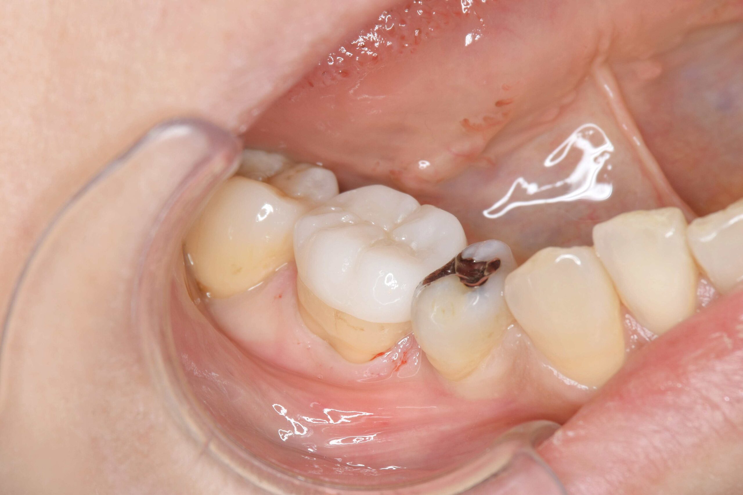
検診を主訴に来院された患者様です。
レントゲン検査にて大きな虫歯が見つかったため、虫歯除去後セラミックによる被せ物を行いました。
できるだけ歯を削らない選択肢をご提案させていただき、ご希望されたため歯茎よりも上方での被せ物のマージンラインとしました。

| 症例タイトル |
|---|
| 奥歯のセラミック治療(40代女性) |
| 所在地 |
| 愛知県名古屋市昭和区 |
| 患者さまの主訴 |
| 検診をして欲しい |
| 治療内容 |
| 虫歯除去後、セラミック治療を行なった。 |
| 患者さまの年齢 |
| 40代 |
| 患者さまの性別 |
| 女性 |
| 治療期間 |
| 2回 |
| 治療にかかった総額 |
| 143,000円 |
| 治療する際に起こるメリット |
|
プラークが付きにくい(清潔) セラミック表面はなめらかで、細菌の付着が少なく虫歯や歯周病の再発リスクが低い。 自然な見た目 変色しにくい 金属アレルギーの心配がない 精度が高い |
| 治療する際に起こるリスク・副作用 |
|
強い衝撃で割れることがある 知覚過敏 歯の痛み 腫れ 出血 |
瑞穂区の歯医者
「すずき歯科・矯正歯科」
監修者情報
朝日大学歯学部卒業後、岐阜県の病院勤務を経て、すずき歯科・矯正歯科に勤務。インプラントや矯正治療に精通し、複数の専門学会に所属。副院長を務めている。
副院長紹介を見る