奥歯のセラミック治療(40代女性)|瑞穂区の歯医者「すずき歯科・矯正歯科」

瑞穂区の歯医者「すずき歯科・矯正歯科」

完全予約制

家族の健康 ここから。

症例

奥歯のセラミック治療(40代女性)

奥歯のセラミック治療(40代女性)

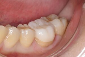
治療前

治療前

治療後

治療後

セラミックの被せ物について

セラミックの被せ物は、見た目が非常に自然で美しいことが大きなメリットです。天然の歯に近い透明感と色調を再現できるため、前歯など目立つ部分にも適しています。また、金属を使用しないため金属アレルギーの心配がなく、歯ぐきが黒ずむこともありません。さらに、プラーク(歯垢)が付きにくく、口腔内を清潔に保ちやすい点も利点です。一方で、デメリットとしては、保険が適用されません。また、強い衝撃が加わると割れる可能性があり、特に歯ぎしりのある方には注意が必要です。加えて、施術には高い技術が求められます。

症例タイトル
奥歯のセラミック治療(40代女性)
所在地
愛知県名古屋市昭和区
患者さまの主訴
検診をして欲しい
治療内容
虫歯除去後、セラミックによる被せ物を行なった。
患者さまの年齢
40代
患者さまの性別
女性
治療期間
2回
治療にかかった総額
143,000円
治療する際に起こるメリット
プラークが付きにくい(清潔)
セラミック表面はなめらかで、細菌の付着が少なく虫歯や歯周病の再発リスクが低い。
自然な見た目
変色しにくい
金属アレルギーの心配がない
精度が高い
治療する際に起こるリスク・副作用
強い衝撃で割れることがある
知覚過敏
歯の痛み
腫れ
出血

関連症例

瑞穂区の歯医者
「すずき歯科・矯正歯科」

〒467-0831
愛知県名古屋市瑞穂区惣作町1−29

電話番号 TEL:052-882-8108

診療時間9:00~13:00/14:00~18:00

休診日日曜・祝日

監修者情報

すずき歯科・矯正歯科
副院長 鈴木 良典

朝日大学歯学部卒業後、岐阜県の病院勤務を経て、すずき歯科・矯正歯科に勤務。インプラントや矯正治療に精通し、複数の専門学会に所属。副院長を務めている。

副院長紹介を見る
診療時間
9:00-13:00 ×
14:00-18:00 ×

休診日:日曜・祝日