瑞穂区の歯医者・矯正歯科
すずき歯科・矯正歯科
完全予約制
名鉄堀田駅徒歩3分
症例
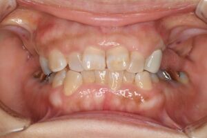
10年近く当院に通われている患者様です。食いしばりが強く、右下の歯を失ってしまったのでその欠損部に対し、入れ歯、ブリッジ、インプラントの特徴とメリットデメリットをお話しし、患者様はインプラントを選択されました。

白線のように、横幅があまりないため2回法でのインプラントの埋入としました。
赤線のように、歯の大きさが大きい場合はインプラントにかかる負担も大きくなるため、硬い素材のストローマンインプラントでの治療となりました。

| 症例タイトル |
|---|
| ストローマンインプラント60代女性 |
| 所在地 |
| 愛知県名古屋市熱田区 |
| 患者さまの主訴 |
| できるだけ歯を守りながら、奥歯でなんでも噛みたい |
| 治療内容 |
| 右下の歯の欠損部に対しインプラント治療を行なった。 |
| 患者さまの年齢 |
| 60代 |
| 患者さまの性別 |
| 女性 |
| 治療期間 |
| 4ヶ月 |
| 治療にかかった総額 |
| モニターケース42万円 |
| 治療する際に起こるメリット |
|
自然な見た目・噛み心地 健全歯への負担がない 高い成功率・耐久性 |
| 治療する際に起こるリスク・副作用 |
|
外科的手術が必要 治療期間が長い 咬合力による破損リスク 100%成功ではない 神経の損傷のリスク |
瑞穂区の歯医者
「すずき歯科・矯正歯科」
監修者情報
朝日大学歯学部卒業後、岐阜県の病院勤務を経て、すずき歯科・矯正歯科に勤務。インプラントや矯正治療に精通し、複数の専門学会に所属。副院長を務めている。
副院長紹介を見る