瑞穂区の歯医者・矯正歯科
すずき歯科・矯正歯科
完全予約制
名鉄堀田駅徒歩3分
症例
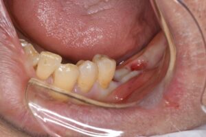
失った奥歯に対し、お肉でもなんでも食べられるインプラントでの治療を希望されましたので、治療の概要とメリットデメリット、リスクについて説明を行いました。

上顎洞付近は触らずの治療をご希望されたのでインプラント1本での計画となり、1本あたりにかかる噛む負担が大きくなるため上部なストローマンインプラント(ロキソリッド、SLアクティブ)の太めのサイズを選択し治療を行いました。
| 症例タイトル |
|---|
| ストローマンインプラント(70代男性) |
| 所在地 |
| 愛知県名古屋市南区 |
| 患者さまの主訴 |
| 奥歯でなんでも噛めるようになりたい |
| 治療内容 |
| ストローマン製インプラントを用いて奥歯の欠損部の回復を行なった |
| 患者さまの年齢 |
| 70代 |
| 患者さまの性別 |
| 男性 |
| 治療期間 |
| 抜歯から10ヶ月 |
| 治療にかかった総額 |
| 2回法ストローマンインプラント手術、外科用ガイド、上部構造、純正アバットメント 544,500円 |
| 治療する際に起こるメリット |
|
自然な見た目・噛み心地 健全歯への負担がない 高い成功率・耐久性 入れ歯を回避できる |
| 治療する際に起こるリスク・副作用 |
|
外科的手術が必要 治療期間が長い 咬合力による破損リスク 100%成功ではない |
瑞穂区の歯医者
「すずき歯科・矯正歯科」
監修者情報
朝日大学歯学部卒業後、岐阜県の病院勤務を経て、すずき歯科・矯正歯科に勤務。インプラントや矯正治療に精通し、複数の専門学会に所属。副院長を務めている。
副院長紹介を見る