瑞穂区の歯医者・矯正歯科
すずき歯科・矯正歯科
完全予約制
名鉄堀田駅徒歩3分
症例
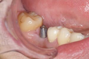
数年前より奥様のご紹介で当院に通われていた方です。前医で作成された長年入れ歯を使っていましたが、この度固いものでも噛めるならインプラントにしたいとのことでご相談を受けました。
噛む力が強く、耐久性の高いインプラントが必要と考えストローマンインプラントのロキソリッドSLアクティブを選択しました。
長期に安定することを期待してインプラント体の太さはやや太い4.8mmを選択しております。

| 症例タイトル |
|---|
| ストローマンインプラント(40代男性) |
| 所在地 |
| 愛知県名古屋市西区 |
| 患者さまの主訴 |
| 左下でしっかり食べ物を噛みたい |
| 治療内容 |
| ストローマンインプラントを2回法で埋入した。 |
| 患者さまの年齢 |
| 40代 |
| 患者さまの性別 |
| 男性 |
| 治療期間 |
| 4ヶ月 |
| 治療にかかった総額 |
| 2回法ストローマンインプラント手術、外科用ガイド、上部構造、純正アバットメント 544,500円 |
| 治療する際に起こるメリット |
|
自然な見た目・噛み心地 健全歯への負担がない 高い成功率・耐久性 入れ歯やブリッジを回避できる |
| 治療する際に起こるリスク・副作用 |
|
外科的手術が必要 治療期間が長い 咬合力による破損リスク 100%成功ではない 神経の損傷のリスク |
瑞穂区の歯医者
「すずき歯科・矯正歯科」
監修者情報
朝日大学歯学部卒業後、岐阜県の病院勤務を経て、すずき歯科・矯正歯科に勤務。インプラントや矯正治療に精通し、複数の専門学会に所属。副院長を務めている。
副院長紹介を見る