ストローマンインプラントその1(40代男性)|瑞穂区の歯医者「すずき歯科・矯正歯科」

瑞穂区の歯医者「すずき歯科・矯正歯科」

完全予約制

家族の健康 ここから。

症例

ストローマンインプラントその1(40代男性)

丈夫なインプラントで長期安定に臨む

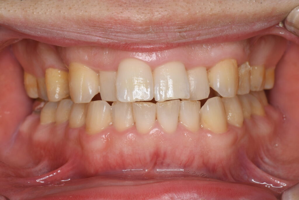
治療前

治療前

治療後

治療後

ご家族のご紹介で、虫歯の治療と歯のない部分のインプラント、その後の定期検診を目的に来院されました。

全体の歯並びを治す場合は、インプラント前に計画を行いますがこの方の場合は歯並びは特に気にされておらず矯正治療は担当医(僕)が機能的に必要と判断する場合のみ行なってほしいとのことでした。

機能的には問題を起こしておらず、今後も大きなトラブルに繋がる可能性は低いため、矯正治療は行わずにインプラントのみを行なっていく計画としました。

症例タイトル
ストローマンインプラントその1(40代男性)
所在地
愛知県名古屋市南区
患者さまの主訴
失った歯を補いたい
治療内容
ストローマンインプラントを2回法で埋入した。
患者さまの年齢
40代
患者さまの性別
男性
治療期間
4ヶ月
治療にかかった総額
2回法ストローマンインプラント手術、外科用ガイド、上部構造、純正アバットメント 544,500円
治療する際に起こるメリット
自然な見た目・噛み心地
健全歯への負担がない
高い成功率・耐久性
入れ歯やブリッジを回避できる
治療する際に起こるリスク・副作用
外科的手術が必要
治療期間が長い
咬合力による破損リスク
100%成功ではない

関連症例

瑞穂区の歯医者
「すずき歯科・矯正歯科」

〒467-0831
愛知県名古屋市瑞穂区惣作町1−29

電話番号 TEL:052-882-8108

診療時間9:00~13:00/14:00~18:00

休診日日曜・祝日

監修者情報

すずき歯科・矯正歯科
副院長 鈴木 良典

朝日大学歯学部卒業後、岐阜県の病院勤務を経て、すずき歯科・矯正歯科に勤務。インプラントや矯正治療に精通し、複数の専門学会に所属。副院長を務めている。

副院長紹介を見る
診療時間
9:00-13:00 ×
14:00-18:00 ×

休診日:日曜・祝日