銀歯の下の虫歯の再発をセラミックで再治療(60代女性)|瑞穂区の歯医者「すずき歯科・矯正歯科」

瑞穂区の歯医者「すずき歯科・矯正歯科」

完全予約制

家族の健康 ここから。

症例

銀歯の下の虫歯の再発をセラミックで再治療(60代女性)

セラミックで虫歯の再発予防

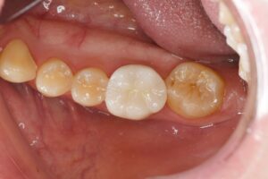
治療前

治療前

治療後

治療後

定期検診に通われている患者様です。この度、銀歯の下に虫歯が再発しているのを発見し、お話をさせていただいたところ再発リスクの少ないセラミックでの治療ご希望とのことでしたので、改めてメリットデメリットをお話しし治療を行うこととなりました。

セラミックは、人工ダイヤモンドにも使われるジルコニアなど、陶材でできています。見た目が天然の歯のように美しく、変色しないのが最大の魅力です。また、非常に硬く、すり減りにくいため長持ちします。

一方、保険の銀歯は、金銀パラジウム合金で作られているため、見た目が銀色で目立ちます。硬度は高いものの、歯との間に隙間ができやすく、二次的な虫歯になりやすいという欠点があります。

プラスチックは白い素材なので銀歯よりは自然ですが、吸水性があり、飲食物の色素で変色しやすいのが難点です。虫歯の再発は最も多く、耐久性もセラミックや銀歯に劣り、すり減りやすい傾向にあります。

症例タイトル
銀歯の下の虫歯の再発をセラミックで再治療(60代女性)
所在地
愛知県名古屋市中村区
患者さまの主訴
定期検診をしてほしい
治療内容
虫歯の再発部位に対し、セラミックで再治療を行なった。
患者さまの年齢
60代
患者さまの性別
女性
治療期間
2回
治療にかかった総額
110,000円
治療する際に起こるメリット
プラークが付きにくい(清潔)
セラミック表面はなめらかで、細菌の付着が少なく虫歯や歯周病の再発リスクが低い。
自然な見た目
変色しにくい
金属アレルギーの心配がない
精度が高い
治療する際に起こるリスク・副作用
強い衝撃で割れることがある
知覚過敏
歯の痛み
腫れ
出血

関連症例

瑞穂区の歯医者
「すずき歯科・矯正歯科」

〒467-0831
愛知県名古屋市瑞穂区惣作町1−29

電話番号 TEL:052-882-8108

診療時間9:00~13:00/14:00~18:00

休診日日曜・祝日

監修者情報

すずき歯科・矯正歯科
副院長 鈴木 良典

朝日大学歯学部卒業後、岐阜県の病院勤務を経て、すずき歯科・矯正歯科に勤務。インプラントや矯正治療に精通し、複数の専門学会に所属。副院長を務めている。

副院長紹介を見る
診療時間
9:00-13:00 ×
14:00-18:00 ×

休診日:日曜・祝日