奥歯のセラミックブリッジ(70代女性)その1|瑞穂区の歯医者「すずき歯科・矯正歯科」

瑞穂区の歯医者「すずき歯科・矯正歯科」

完全予約制

家族の健康 ここから。

症例

奥歯のセラミックブリッジ(70代女性)その1

奥歯のセラミックブリッジ(70代女性)その1

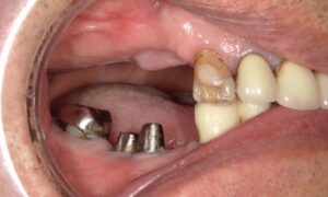
治療前

治療前

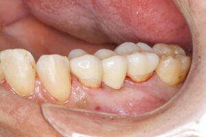
治療後

治療後

患者様はインプラントを希望しておりましたが、骨が足りなかったため骨造成の手術が必要であることがわかりました。

CTレントゲン検査にて、骨造成のための術野に「オトガイ孔」を認めたため手術のリスクが高いことをお話ししたところ、インプラントではなくセラミック処置を希望されました。

すずき歯科・矯正歯科では、歯のないところにはインプラントと安直に考えるのではなく、患者様の身体の状態に合わせて治療計画と治療方法を考え提示することが大切と考えています。

症例タイトル
奥歯のセラミックブリッジ(70代女性)その1
所在地
愛知県名古屋市瑞穂区
患者さまの主訴
奥歯を治療したい
治療内容
左下の欠損部に対して、セラミックブリッジによる補綴治療を行なった。
患者さまの年齢
70代
患者さまの性別
女性
治療期間
2回
治療にかかった総額
363,000円
治療する際に起こるメリット
プラークが付きにくい(清潔)
セラミック表面はなめらかで、細菌の付着が少なく虫歯や歯周病の再発リスクが低い。
自然な見た目
変色しにくい
金属アレルギーの心配がない
精度が高い
治療する際に起こるリスク・副作用
強い衝撃で割れることがある
知覚過敏
歯の痛み
腫れ
出血
歯の破折

関連症例

瑞穂区の歯医者
「すずき歯科・矯正歯科」

〒467-0831
愛知県名古屋市瑞穂区惣作町1−29

電話番号 TEL:052-882-8108

診療時間9:00~13:00/14:00~18:00

休診日日曜・祝日

監修者情報

すずき歯科・矯正歯科
副院長 鈴木 良典

朝日大学歯学部卒業後、岐阜県の病院勤務を経て、すずき歯科・矯正歯科に勤務。インプラントや矯正治療に精通し、複数の専門学会に所属。副院長を務めている。

副院長紹介を見る
診療時間
9:00-13:00 ×
14:00-18:00 ×

休診日:日曜・祝日