瑞穂区の歯医者・矯正歯科
すずき歯科・矯正歯科
完全予約制
名鉄堀田駅徒歩3分
症例
患者様は親知らずが痛み来院されました。レントゲン検査で調べた所、一つ前の歯(大臼歯)に大きな虫歯が認められたため、治療の必要性とメリットデメリットをお話しし、ご本人様は再発率の低い治療をご希望されました。

精密に治療するためにはまずはVPT(歯髄温存療法)を行い神経を温存し、根管治療を回避、その後親知らずを抜歯して間を空けずにオーバーレイ(テーブルトップベニヤ)を作成していく必要があります。患者様と綿密にスケジュールを練り、施術に挑みました。

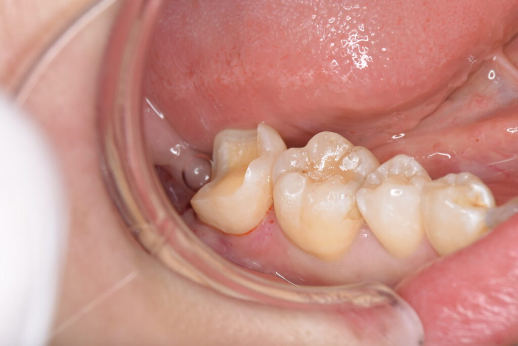
形成後の写真です。これから型取りをする所ですが、歯が半分以上残っていることがお分かりいただけると思います。
オーバーレイ(テーブルトップベニヤ)は、通常のセラミックの被せ物と比べ歯を削る量が圧倒的に少ないため、歯が痛む確率を下げることができます。

印象後、接着力を増す処置のためにラバーダム防湿下でCRコーティングを行っていきます。

2週間後に届いたオーバーレイ(テーブルトップベニヤ)の完成品です。

再びラーバーダム防湿を行い、清潔な環境を確保していきます。
磨き残しがないかプラークチェッカーで赤く染めていきます。


装着後のお写真です。横から見ても、全く隙間がないことが確認できます。
隙間がないことで、虫歯の再発予防に貢献してくれるでしょう。

MTAを用いたVPT(歯髄温存療法)から5ヶ月経過しておりますが、患者様は7番目の歯の痛みを訴えることなく検診に通われているため、経過は良好といえるでしょう。
| 症例タイトル |
|---|
| 大臼歯のオーバーレイ(テーブルトップベニヤ)治療(30代女性) |
| 所在地 |
| 愛知県名古屋市昭和区 |
| 患者さまの主訴 |
| 親知らずとその横の大きな虫歯を解決してほしい |
| 治療内容 |
| 智歯抜歯後、手前の大臼歯に対しオーバーレイで治療を行なった症例 |
| 患者さまの年齢 |
| 30代 |
| 患者さまの性別 |
| 女性 |
| 治療期間 |
| 2回 |
| 治療にかかった総額 |
|
オーバーレイ(テーブルトップベニヤ)治療143000円、VPT41,800円 |
| 治療する際に起こるメリット |
|
歯を削る量が最小限 歯の破折防止 プラークが付きにくい(清潔) セラミック表面はなめらかで、細菌の付着が少なく虫歯や歯周病の再発リスクが低い。 自然な見た目 変色しにくい 金属アレルギーの心配がない 精度が高い |
| 治療する際に起こるリスク・副作用 |
|
強い衝撃で割れることがある 知覚過敏 歯の痛み 腫れ 出血 |
瑞穂区の歯医者
「すずき歯科・矯正歯科」
監修者情報
朝日大学歯学部卒業後、岐阜県の病院勤務を経て、すずき歯科・矯正歯科に勤務。インプラントや矯正治療に精通し、複数の専門学会に所属。副院長を務めている。
副院長紹介を見る