瑞穂区の歯医者・矯正歯科
すずき歯科・矯正歯科
完全予約制
名鉄堀田駅徒歩3分
症例
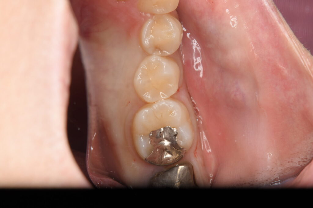
レントゲン検査にて、銀歯の下に虫歯を認め、その周囲の虫歯と共にダイレクトボンディングにて治療を行なった。

| 症例タイトル |
|---|
| 虫歯のダイレクトボンディング治療(40代女性) |
| 所在地 |
| 愛知県名古屋市熱田区 |
| 患者さまの主訴 |
| 銀歯が入っている歯が痛い |
| 治療内容 |
| 銀歯の下の虫歯とその周囲の歯の虫歯をダイレクトボンディングで治療を行なった。 |
| 患者さまの年齢 |
| 40代 |
| 患者さまの性別 |
| 女性 |
| 治療期間 |
| 1回 |
| 治療にかかった総額 |
| 231,000円 |
| 治療する際に起こるメリット |
|
自然な見た目 接着力、耐久性が高く虫歯の再発率が低い。また変色しにくい 金属アレルギーの心配がない |
| 治療する際に起こるリスク・副作用 |
|
強い衝撃で割れることがある 知覚過敏 歯の痛み 腫れ 出血 |
瑞穂区の歯医者
「すずき歯科・矯正歯科」