抜歯即時インプラント(50代女性)|瑞穂区の歯医者「すずき歯科・矯正歯科」

瑞穂区の歯医者「すずき歯科・矯正歯科」

完全予約制

家族の健康 ここから。

症例

抜歯即時インプラント(50代女性)

抜いてその日にインプラント埋入!

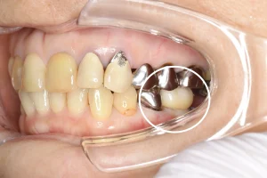
治療前

治療前

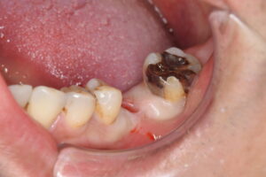
治療後

治療後

抜歯即時インプラントとは、悪くなった歯を抜くと同時に、その場でインプラント(人工歯根)を埋入する術式です。従来の、抜歯から数ヶ月待ってから埋入する手法と比較して、以下の大きなメリットがあります。

まず、「治療期間の大幅な短縮」です。抜歯と埋入を一度に行うため、手術回数が減り、通院の負担や心身のストレスを軽減できます。条件が良ければ、その日に仮歯まで装着できることもあり、前歯などの「歯がない期間」を作りたくないケースには非常に有効です。

次に重要なのが、「骨や歯肉の保存」です。歯を抜くと、周囲の骨は急速に吸収されて痩せてしまいます。即時にインプラントを植えることで骨への刺激を維持し、さらに隙間に人工骨などを補填することで、自然な歯茎のラインを保ちやすくなります。これは特に審美性が求められる部位において、仕上がりの美しさに直結します。

ただし、この術式は高度な技術を要します。抜いた穴とインプラントの隙間を精密に管理し、初期固定(しっかりと固定されること)を確実に得る必要があるため、歯科医師の熟練した技術と、CTによる正確な事前診断が不可欠です。

症例タイトル
抜歯即時インプラント(50代女性)
所在地
愛知県名古屋市瑞穂区
患者さまの主訴
割れた奥歯をインプラントで治したい
治療内容
割れた臼歯を抜歯し、同時にインプラント埋入を行なった
患者さまの年齢
50代
患者さまの性別
女性
治療期間
3回
治療にかかった総額
627000円
治療する際に起こるメリット
通常4回かかる外科処置と手術が1回で終わる
治療する際に起こるリスク・副作用
骨造成は必ずしもうまくいくとは限らない
出血
腫れ
痛み

関連症例

瑞穂区の歯医者
「すずき歯科・矯正歯科」

〒467-0831
愛知県名古屋市瑞穂区惣作町1−29

電話番号 TEL:052-882-8108

診療時間9:00~13:00/14:00~18:00

休診日日曜・祝日

監修者情報

すずき歯科・矯正歯科
副院長 鈴木 良典

朝日大学歯学部卒業後、岐阜県の病院勤務を経て、すずき歯科・矯正歯科に勤務。インプラントや矯正治療に精通し、複数の専門学会に所属。副院長を務めている。

副院長紹介を見る
診療時間
9:00-13:00 ×
14:00-18:00 ×

休診日:日曜・祝日