瑞穂区の歯医者・矯正歯科
すずき歯科・矯正歯科
完全予約制
名鉄堀田駅徒歩3分
症例
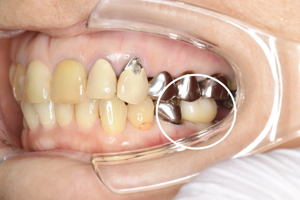
左下の失った奥歯のインプラント治療を希望され来院された患者様です。
インプラント治療の概要とメリットデメリット、リスクや入れ歯などの代替案も含め説明を行い、改めてインプラント治療を希望されたので治療計画を立てることとなりました。
左下2本分の欠損ですが、CTレントゲンにて奥の1本の周りの骨が薄いことがわかりました。
薄い部分に細いインプラントを入れると破損のリスクが高まるため、骨を作る「骨造成」が必要であることがわかりました。骨造成は高価な費用を用いるため治療費の合計が高くなってしまうこともあり、患者様と相談した結果、太めのインプラント1本を入れることで費用の節約とリスクの回避を行うこととなりました。


| 症例タイトル |
|---|
| ストローマンインプラント(60代女性) |
| 所在地 |
| 愛知県名古屋市瑞穂区 |
| 患者さまの主訴 |
| 奥歯にインプラントを入れてほしい |
| 治療内容 |
| 欠損部に対し、インプラント治療を行なった。 |
| 患者さまの年齢 |
| 60代 |
| 患者さまの性別 |
| 女性 |
| 治療期間 |
| 4ヶ月 |
| 治療にかかった総額 |
| 2回法ストローマンインプラント手術、外科用ガイド、上部構造、純正アバットメント 544,500円 |
| 治療する際に起こるメリット |
|
自然な見た目・噛み心地 健全歯への負担がない 高い成功率・耐久性 入れ歯を回避できる |
| 治療する際に起こるリスク・副作用 |
|
外科的手術が必要 治療期間が長い 咬合力による破損リスク 100%成功ではない 神経の損傷のリスク |
瑞穂区の歯医者
「すずき歯科・矯正歯科」
監修者情報
朝日大学歯学部卒業後、岐阜県の病院勤務を経て、すずき歯科・矯正歯科に勤務。インプラントや矯正治療に精通し、複数の専門学会に所属。副院長を務めている。
副院長紹介を見る