瑞穂区の歯医者・矯正歯科
すずき歯科・矯正歯科
完全予約制
名鉄堀田駅徒歩3分
症例
検診と気になる部位のチェックを希望されて来院された30代女性です。
レントゲン検査にて、銀歯の下に隠れた虫歯が見つかったため、治療の必要性とその選択肢、それぞれの選択肢を選んだ際の未来の予想をメリットデメリットを加えて説明。
ご本人様は再発率の少ない良い治療をご希望されたため、保険外(自由診療)治療のe-maxインレーにて修復処置をやり直すこととなりました。

目で見ただけでは、銀歯の下に虫歯があることはわかりません。そのような場合は、レントゲン検査でしか虫歯を見つけることができないため、すずき歯科・矯正歯科では年1回のレントゲン写真を必ず撮るようにして虫歯の発見率を上げております。

銀歯除去後、赤丸部の黒くなっている所を中心に虫歯の再発を認めます。このように保険の銀歯は虫歯の再発が非常に多い治療ですので、可能であれば再発率が低い自由診療での治療を行なっていくことが大切です。

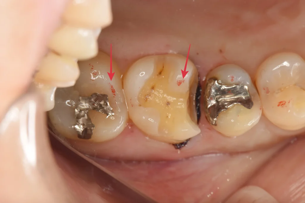
虫歯除去後、型取りの前です。赤印で、噛む位置の最終確認を行なっております。
e-maxはジルコニアに比べて割れる力に対して抵抗力が少ないため、噛む力が強い人は割れてしまう可能性があるため要注意です。
| 症例タイトル |
|---|
| 銀歯の下の隠れた虫歯をe-maxインレーで治療(30代女性) |
| 所在地 |
| 愛知県名古屋市瑞穂区 |
| 患者さまの主訴 |
| 痛みはないが見てほしい |
| 治療内容 |
| 銀歯の下に隠れた虫歯を除去し、e-maxインレーにて修復を行なった。 |
| 患者さまの年齢 |
| 30代 |
| 患者さまの性別 |
| 女性 |
| 治療期間 |
| 2回 |
| 治療にかかった総額 |
| 77,000円 |
| 治療する際に起こるメリット |
|
歯の破折防止 プラークが付きにくい(清潔) セラミック表面はなめらかで、細菌の付着が少なく虫歯や歯周病の再発リスクが低い。 自然な見た目 変色しにくい 金属アレルギーの心配がない 精度が高い |
| 治療する際に起こるリスク・副作用 |
|
強い衝撃で割れることがある 知覚過敏 歯の痛み 腫れ 出血 |
瑞穂区の歯医者
「すずき歯科・矯正歯科」