瑞穂区の歯医者・矯正歯科
すずき歯科・矯正歯科
完全予約制
名鉄堀田駅徒歩3分
症例

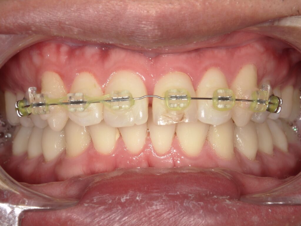
飛び出した前歯を非抜歯のワイヤー部分矯正で修正を図った
| 症例タイトル |
|---|
| 飛び出した前歯の部分矯正(20代男性) |
| 所在地 |
| 愛知県名古屋市瑞穂区 |
| 患者さまの主訴 |
| 前歯を治したい |
| 治療内容 |
| 部分矯正で前歯の傾斜を改善した |
| 患者さまの年齢 |
| 20代 |
| 患者さまの性別 |
| 男性 |
| 治療期間 |
| 6ヶ月 |
| 治療にかかった総額 |
| 275000円 |
| 治療する際に起こるメリット |
| 前歯の傾きを改善できる |
| 治療する際に起こるリスク・副作用 |
|
後戻り 痛み 腫れ |
瑞穂区の歯医者
「すずき歯科・矯正歯科」