瑞穂区の歯医者・矯正歯科
すずき歯科・矯正歯科
完全予約制
名鉄堀田駅徒歩3分
症例




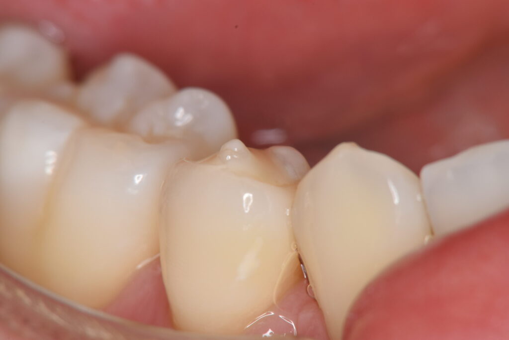
小臼歯の中心結節(歯の噛み合わせの面にある、角のような小さな突起)を保護するメリットは、一言で言えば「予期せぬ神経の壊死と、それに伴う抜歯リスクを回避すること」にあります。
主なメリットは以下の3点です。
中心結節の中には、細い神経(歯髄)が入り込んでいることがよくあります。この突起は非常に脆く、食事中などにポロッと折れてしまうことがあり、折れた瞬間に神経が露出してしまいます。あらかじめ周囲をレジンなどで補強・保護しておくことで、この突起の破折を物理的に防げます。
突起が折れたり、微細なヒビが入ったりすると、そこから細菌が侵入します。自覚症状がないまま神経が死んでしまい、気づいた時には根の先に大きな膿の袋(根尖病巣)ができているケースも少なくありません。保護処置をすることで、この「沈黙の病状進行」を阻止できます。
中心結節のトラブルは、永久歯が生えて間もない時期(10歳〜12歳頃)によく起こります。この時期の歯は根っこがまだ完成していないため、神経が死んでしまうと根の成長が止まり、歯が非常に脆くなってしまいます。早期に保護することは、歯を一生使い続けるための「土台」を守ることに繋がります。
| 症例タイトル |
|---|
| 中心結節を保護・削合して神経を保存(20代女性) |
| 所在地 |
| 愛知県名古屋市瑞穂区 |
| 患者さまの主訴 |
| 中心結節の保護をしたい |
| 治療内容 |
| 中心結節を保護・削合して神経を保存した |
| 患者さまの年齢 |
| 20代 |
| 患者さまの性別 |
| 女性 |
| 治療期間 |
| 2回 |
| 治療にかかった総額 |
| 保険治療 |
| 治療する際に起こるメリット |
| 神経の保護をすることができる |
| 治療する際に起こるリスク・副作用 |
| 神経が露出する可能性 |
瑞穂区の歯医者
「すずき歯科・矯正歯科」
監修者情報
朝日大学歯学部卒業後、岐阜県の病院勤務を経て、すずき歯科・矯正歯科に勤務。インプラントや矯正治療に精通し、複数の専門学会に所属。副院長を務めている。
副院長紹介を見る