瑞穂区の歯医者・矯正歯科
すずき歯科・矯正歯科
完全予約制
名鉄堀田駅徒歩3分
症例

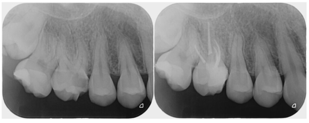
歯内療法専門医と連携して治療を行なった症例です。
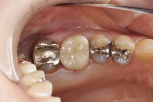
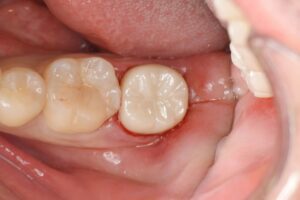
虫歯と痛みが大きい部位に関しては、保険適応外の根管治療専門医が精密根管治療を行い、その後被せ物をジルコニアにて行いました。
| 症例タイトル |
|---|
| 精密根管治療後のジルコニアセラミック(20代女性) |
| 所在地 |
| 愛知県名古屋市港区 |
| 患者さまの主訴 |
| 歯が痛い |
| 治療内容 |
| 精密根管治療後、ジルコニアセラミックによる補綴修復を行なった。 |
| 患者さまの年齢 |
| 20代 |
| 患者さまの性別 |
| 女性 |
| 治療期間 |
| 2回 |
| 治療にかかった総額 |
| 143,000円(根管治療除く) |
| 治療する際に起こるメリット |
|
プラークが付きにくい(清潔) セラミック表面はなめらかで、細菌の付着が少なく虫歯や歯周病の再発リスクが低い。 自然な見た目 変色しにくい 金属アレルギーの心配がない 精度が高い |
| 治療する際に起こるリスク・副作用 |
|
強い衝撃で割れることがある 歯の痛み 腫れ 出血 |
瑞穂区の歯医者
「すずき歯科・矯正歯科」
監修者情報
朝日大学歯学部卒業後、岐阜県の病院勤務を経て、すずき歯科・矯正歯科に勤務。インプラントや矯正治療に精通し、複数の専門学会に所属。副院長を務めている。
副院長紹介を見る