瑞穂区の歯医者・矯正歯科
すずき歯科・矯正歯科
完全予約制
名鉄堀田駅徒歩3分
症例
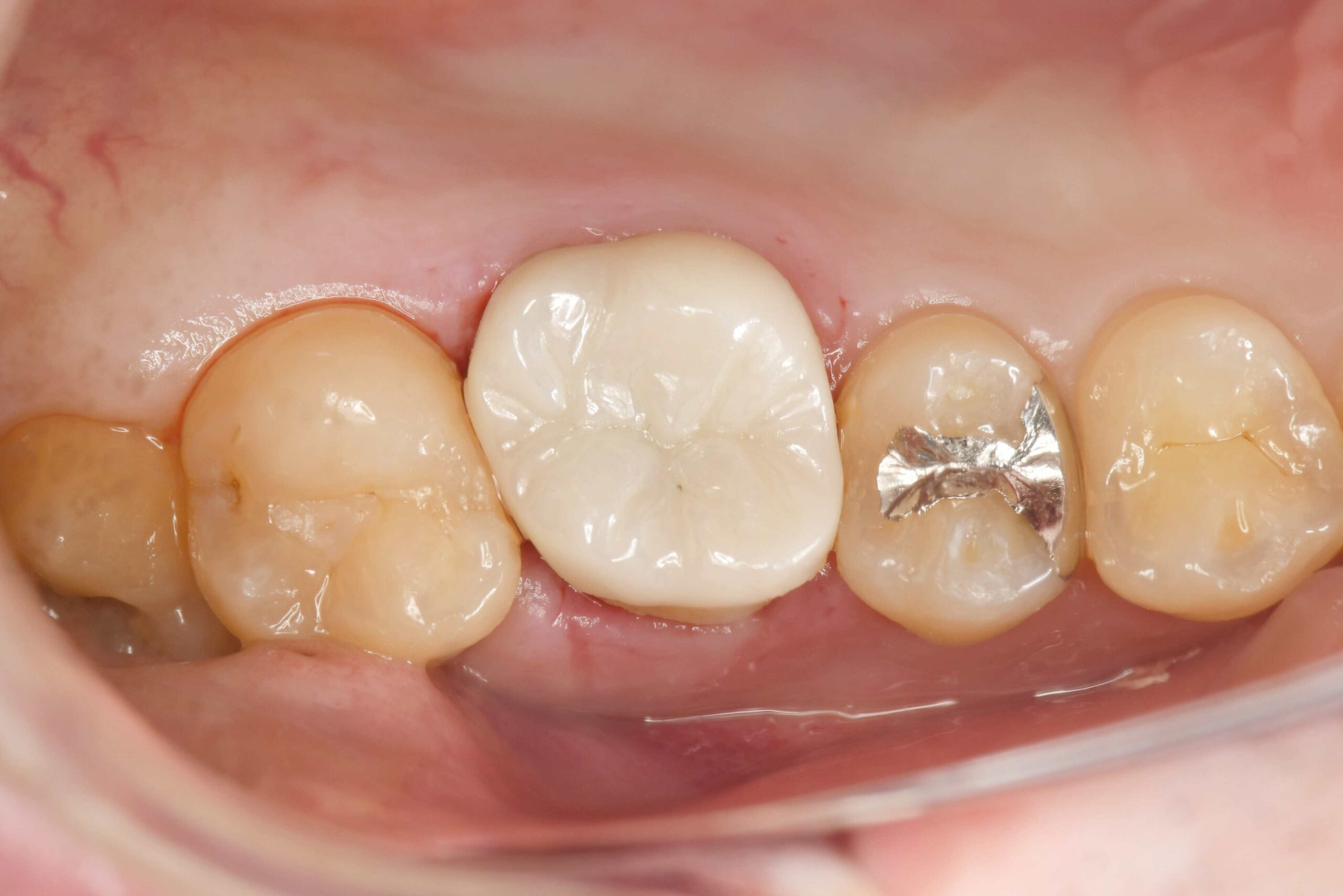
検診をしてほしいと来院された20代男性、レントゲン検査にて昔他院で治療した保険の銀歯の下での虫歯の再発を認めたため、治療の必要性とその選択肢、それぞれの選択肢を選んだ際の未来の予想をメリットデメリットを加えて説明。
ご本人様は、最大限自分の歯が長持ちする方法を希望されたため、MTAセメントによる歯髄温存療法とジルコニアによるセラミック治療を行なった。

赤丸が虫歯です。見た目では虫歯は見当たりませんが、レントゲン写真にて大きな虫歯が神経の付近まで接近していることがわかっています。

虫歯除去、神経が露出したためMTAセメントと刺激の少ないレジンにて神経保護を行いました。

1ヶ月後、痛みがないことが確認できたため歯の形を整えてセラミックの被せ物を行いました。
| 症例タイトル |
|---|
| VPT歯髄温存療法後のジルコニア治療(20代男性) |
| 所在地 |
| 東京都墨田区 |
| 患者さまの主訴 |
| 検診をしてほしい |
| 治療内容 |
| 右上6番目の銀歯(保険治療のインレー)を外して虫歯を除去後、MTAセメントにて神経保護、その後被せ物をセラミックで行なった。 |
| 患者さまの年齢 |
| 20代 |
| 患者さまの性別 |
| 男性 |
| 治療期間 |
| 2回 |
| 治療にかかった総額 |
| セラミック治療154,000円 |
| 治療する際に起こるメリット |
|
歯の破折防止 プラークが付きにくい(清潔) セラミック表面はなめらかで、細菌の付着が少なく虫歯や歯周病の再発リスクが低い。 自然な見た目 変色しにくい 金属アレルギーの心配がない 精度が高い |
| 治療する際に起こるリスク・副作用 |
|
強い衝撃で割れることがある 知覚過敏 歯の痛み 腫れ 出血 |
瑞穂区の歯医者
「すずき歯科・矯正歯科」
監修者情報
朝日大学歯学部卒業後、岐阜県の病院勤務を経て、すずき歯科・矯正歯科に勤務。インプラントや矯正治療に精通し、複数の専門学会に所属。副院長を務めている。
副院長紹介を見る