瑞穂区の歯医者・矯正歯科
すずき歯科・矯正歯科
完全予約制
名鉄堀田駅徒歩3分
症例
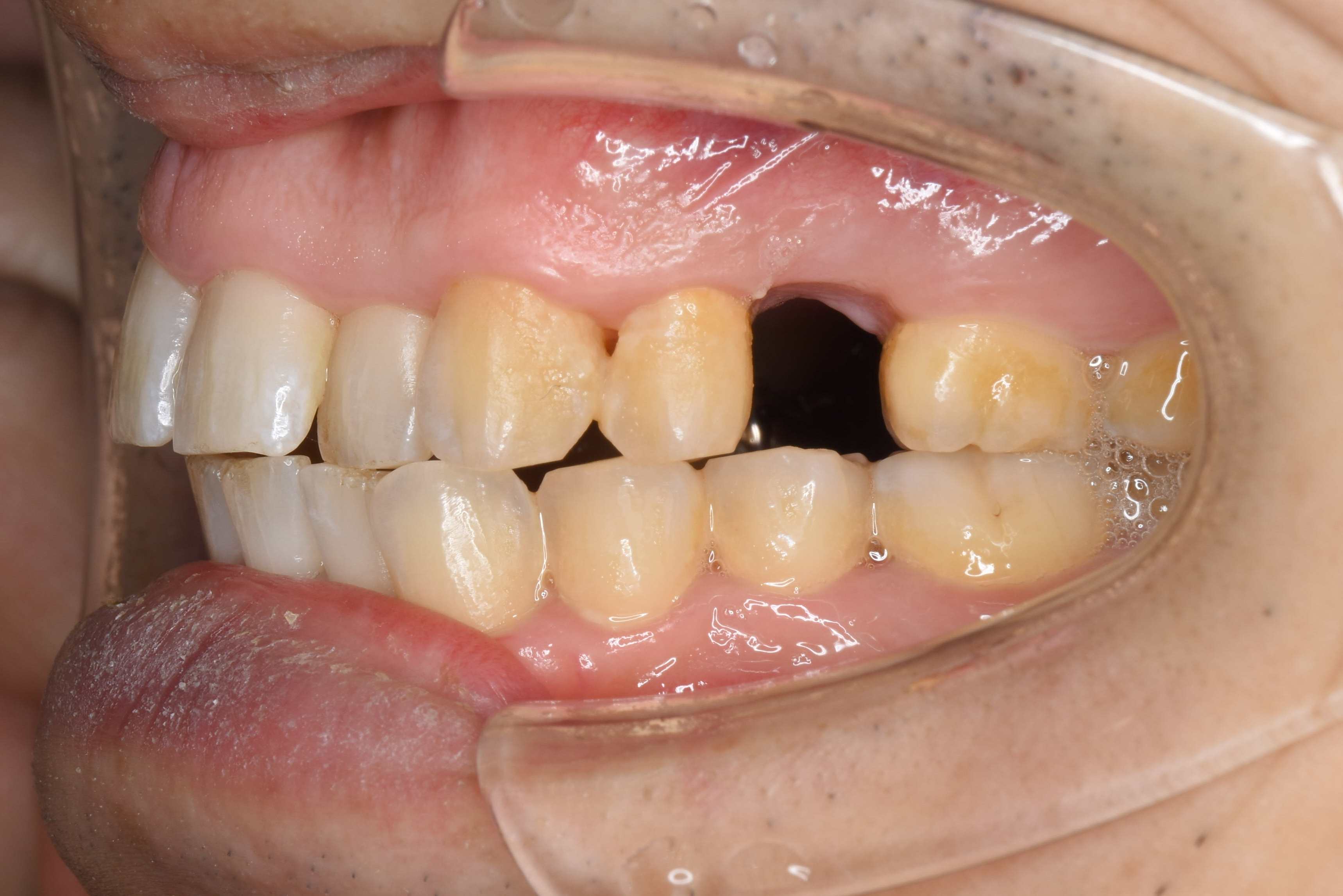
ご家族のご紹介で、虫歯の治療と歯のない部分のインプラント、その後の定期検診を目的に来院された方の反対側の治療です。


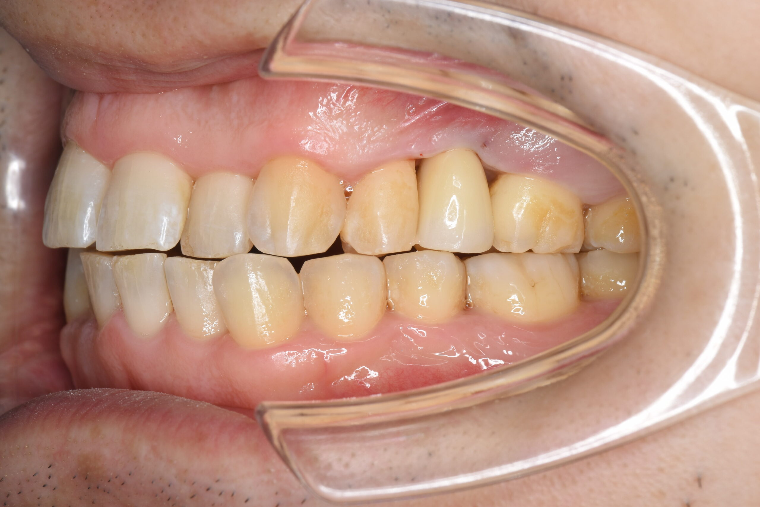
自然な仕上がりとなっており、ステーキ肉でも固いお煎餅でも食べられるような歯が完成しました。
| 症例タイトル |
|---|
| ストローマンインプラントその2(40代男性) |
| 所在地 |
| 愛知県名古屋市南区 |
| 患者さまの主訴 |
| 失った歯を補いたい |
| 治療内容 |
| ストローマンインプラントを2回法で埋入した。 |
| 患者さまの年齢 |
| 40代 |
| 患者さまの性別 |
| 男性 |
| 治療期間 |
| 4ヶ月 |
| 治療にかかった総額 |
| 2回法ストローマンインプラント手術、外科用ガイド、上部構造、純正アバットメント 544,500円 |
| 治療する際に起こるメリット |
|
自然な見た目・噛み心地 健全歯への負担がない 高い成功率・耐久性 入れ歯やブリッジを回避できる |
| 治療する際に起こるリスク・副作用 |
|
外科的手術が必要 治療期間が長い 咬合力による破損リスク 100%成功ではない |
瑞穂区の歯医者
「すずき歯科・矯正歯科」
監修者情報
朝日大学歯学部卒業後、岐阜県の病院勤務を経て、すずき歯科・矯正歯科に勤務。インプラントや矯正治療に精通し、複数の専門学会に所属。副院長を務めている。
副院長紹介を見る