瑞穂区の歯医者・矯正歯科
すずき歯科・矯正歯科
完全予約制
名鉄堀田駅徒歩3分
症例
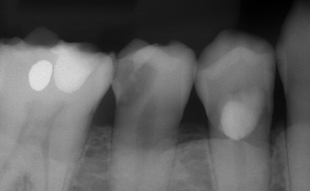
3年ぶりに歯科を受診、痛みはないがレントゲン写真検査にて小臼歯(奥歯)に神経に達する可能性のある程大きな虫歯が見つかりました。

通常の保険の虫歯治療でいくと、保険治療で神経を抜く治療を行いますので60〜70%の確率で根管治療は失敗し、歯を失う確率が高まります(東京医科歯科大学のデータより)
ご本人さまのご意向は、多少費用はかかっても良いので神経を保存したいとの事でしたので、8割の確率で神経を温存できるMTAセメントによる神経温存療法を試みることとなりました。
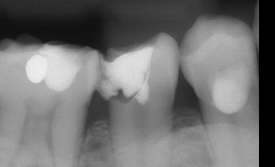
まず、浸潤麻酔を行い、ラバーダム防湿下で丁寧に虫歯を除去していきます。

虫歯を全て除去したら神経が露出しましたので、上部歯髄を切断して新鮮な面を出し、消毒を行いMTAセメントを貼付しました。

この日は1日でMTA治療は終了しました。

その後、3ヶ月経過するも痛みが出なかったためセラミックの被せ物の治療へ移行しました。
まとめ:この方は大手企業に勤めていらっしゃる方で、毎年会社での歯科検診を受けていたそうです。隠れた虫歯は目で見るだけでは見つかりませんので最低年1回は歯科医院でのレントゲン検査をおすすめします。早期発見できれば神経まで近くなる前に治療できることもありますのでこまめな受診が大切ですね。
| 症例タイトル |
|---|
| MTAセメントを用いたVPT神経温存療法(30代男性) |
| 所在地 |
| 愛知県江南市 |
| 患者さまの主訴 |
| 歯の神経を残したい |
| 治療内容 |
| MTAセメントを用いて歯髄温存療法を行なった。 |
| 患者さまの年齢 |
| 30代 |
| 患者さまの性別 |
| 男性 |
| 治療期間 |
| 1回、今後セラミックによる被せ物を行います。 |
| 治療にかかった総額 |
| 44000円 |
| 治療する際に起こるメリット |
|
歯髄を残せる確率は8割(論文上のデータ) 歯の破折防止 |
| 治療する際に起こるリスク・副作用 |
| 2割の方は痛みが出て神経を抜かなければいけない可能性あり |
瑞穂区の歯医者
「すずき歯科・矯正歯科」