奥歯のセラミック治療(50代男性)|瑞穂区の歯医者「すずき歯科・矯正歯科」

瑞穂区の歯医者「すずき歯科・矯正歯科」

完全予約制

家族の健康 ここから。

症例

奥歯のセラミック治療(50代男性)

セラミックで虫歯再発防止

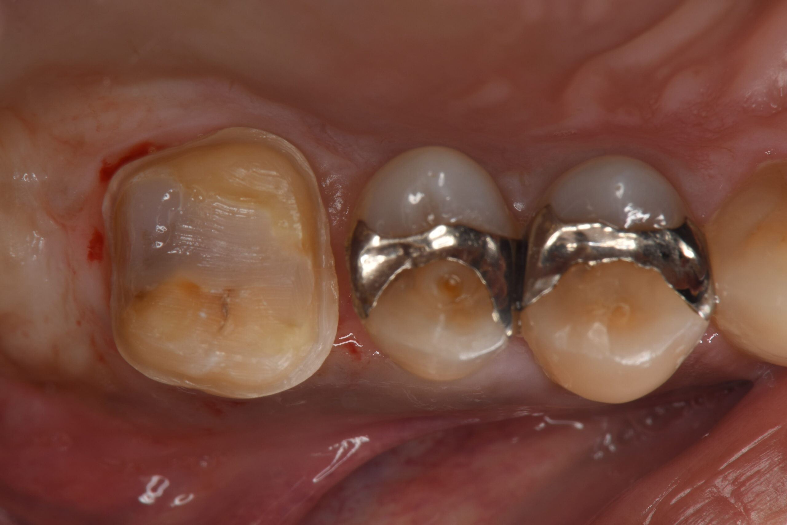
治療前

治療前

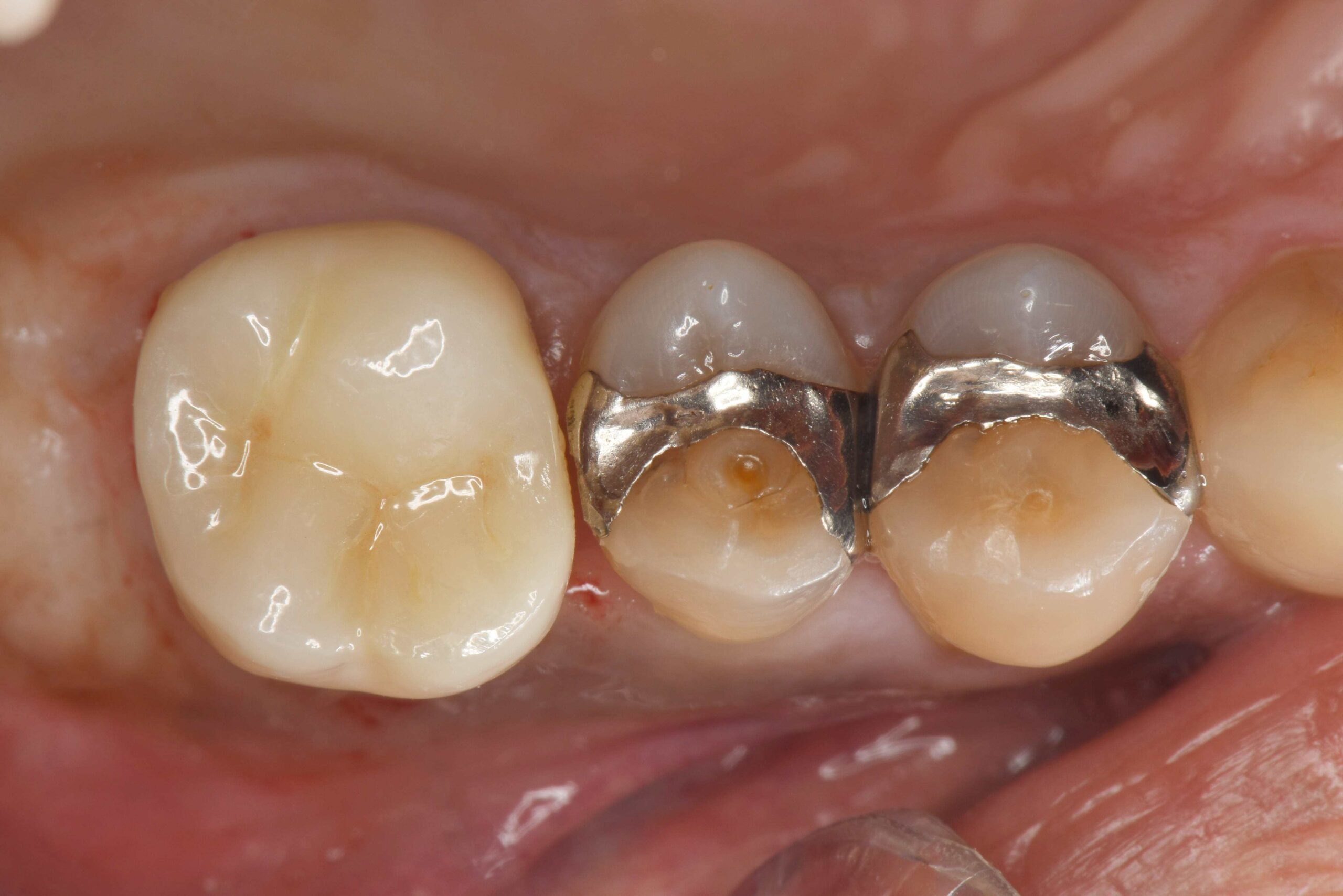
治療後

治療後

定期検診で銀歯の下に虫歯の再発が認められたため、銀歯を除去し、ご本人様は虫歯の再発を抑えたいとのことでしたので、治療の選択肢をお話しし、希望されたセラミック治療を行った。

症例タイトル
奥歯のセラミック治療(50代男性)
所在地
愛知県名古屋市緑区
患者さまの主訴
検診をして欲しい
治療内容
銀歯の下に虫歯があったので、銀歯を除去しセラミックで被せ直した
患者さまの年齢
50代
患者さまの性別
男性
治療期間
2回
治療にかかった総額
143,000円
治療する際に起こるメリット
プラークが付きにくい(清潔)
セラミック表面はなめらかで、細菌の付着が少なく虫歯や歯周病の再発リスクが低い。
自然な見た目
変色しにくい
金属アレルギーの心配がない
精度が高い
治療する際に起こるリスク・副作用
強い衝撃で割れることがある
知覚過敏
歯の痛み
腫れ
出血

関連症例

瑞穂区の歯医者
「すずき歯科・矯正歯科」

〒467-0831
愛知県名古屋市瑞穂区惣作町1−29

電話番号 TEL:052-882-8108

診療時間9:00~13:00/14:00~18:00

休診日日曜・祝日

監修者情報

すずき歯科・矯正歯科
副院長 鈴木 良典

朝日大学歯学部卒業後、岐阜県の病院勤務を経て、すずき歯科・矯正歯科に勤務。インプラントや矯正治療に精通し、複数の専門学会に所属。副院長を務めている。

副院長紹介を見る
診療時間
9:00-13:00 ×
14:00-18:00 ×

休診日:日曜・祝日