瑞穂区の歯医者・矯正歯科
すずき歯科・矯正歯科
完全予約制
名鉄堀田駅徒歩3分
症例
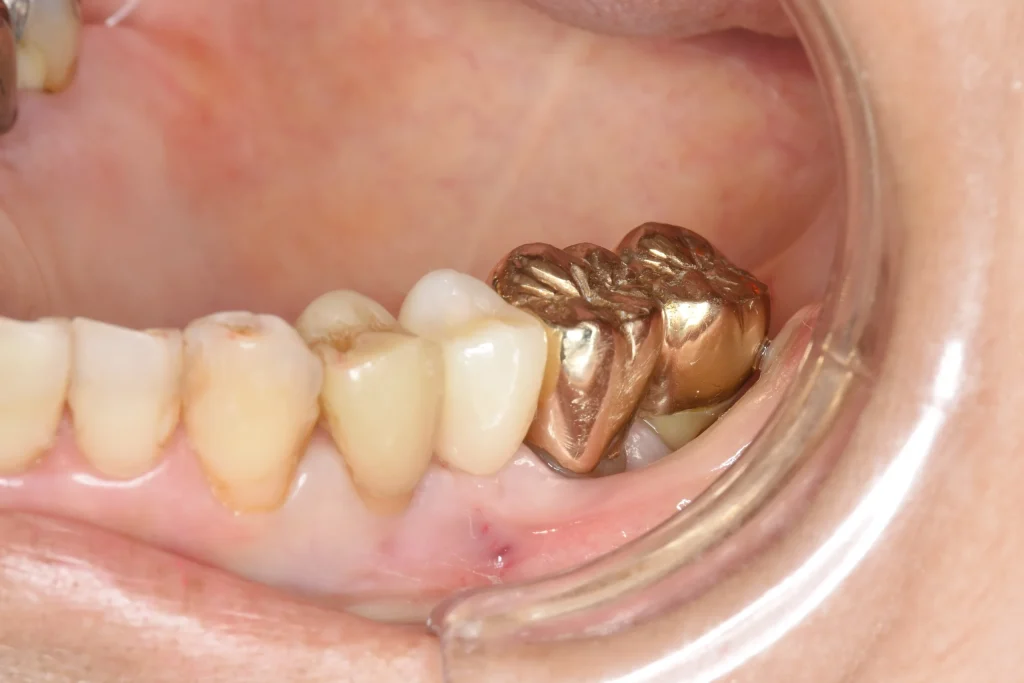
患者様は右上の失った歯について、お肉などなんでも食べたいのでインプラントを希望されました。
ブリッジや入れ歯のメリットデメリットもお話をした上で、再度インプラントを希望されたため治療計画に臨みました。
右上の6、7番目にも大きな虫歯があったため、そちらを金歯で治療した後にストローマンインプラントを行うこととなりました。


骨の幅はやや狭かったですが、通常使われる4mmのインプラントより1段階細い3.3mmのインプラントを選択し、骨造成の追加手術を回避しました。3.3mmでも十分な硬さになるようにストローマンインプラントのロキソリッドSLアクティブを選択しました。
ご年齢や体力に合わせて、術式や材料を工夫し治療計画を立てることを大切にしております。
| 症例タイトル |
|---|
| ストローマンインプラント(70代女性) |
| 所在地 |
| 愛知県知立市 |
| 患者さまの主訴 |
| 失った歯をインプラントで取り戻したい |
| 治療内容 |
| ストローマンインプラント2回法にて欠損部の回復を行なった。 |
| 患者さまの年齢 |
| 70代 |
| 患者さまの性別 |
| 女性 |
| 治療期間 |
| 4ヶ月 |
| 治療にかかった総額 |
| 2回法ストローマンインプラント手術、外科用ガイド、上部構造、純正アバットメント 544,500円 |
| 治療する際に起こるメリット |
|
自然な見た目・噛み心地 健全歯への負担がない 高い成功率・耐久性 入れ歯やブリッジを回避できる |
| 治療する際に起こるリスク・副作用 |
|
外科的手術が必要 治療期間が長い 咬合力による破損リスク 100%成功ではない |
瑞穂区の歯医者
「すずき歯科・矯正歯科」
監修者情報
朝日大学歯学部卒業後、岐阜県の病院勤務を経て、すずき歯科・矯正歯科に勤務。インプラントや矯正治療に精通し、複数の専門学会に所属。副院長を務めている。
副院長紹介を見る