瑞穂区の歯医者・矯正歯科
すずき歯科・矯正歯科
完全予約制
名鉄堀田駅徒歩3分
症例
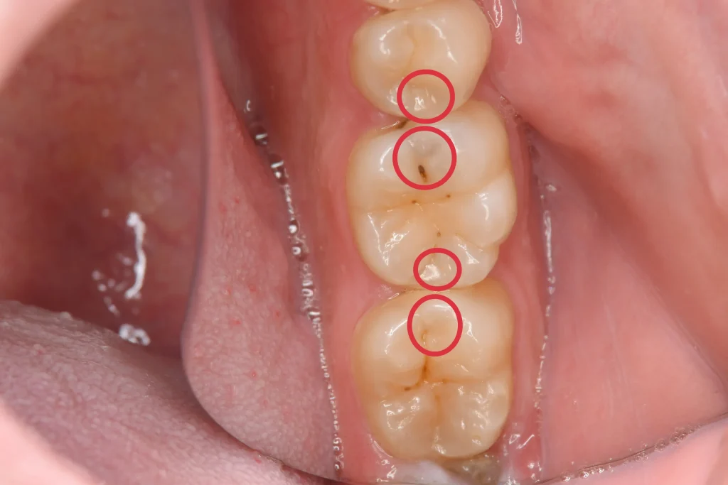
気になるところがあるとのことで来院された患者様です。
レントゲン検査にて隠れた虫歯が見つかったため、患者様と相談しダイレクトボンディングで治療することとなりました。

赤丸部が隠れた虫歯です。
この治療の最大の特長は、歯をほとんど削らないことです。健康な歯を最大限に残せるため、歯への負担が少なく、ご自身の歯の寿命を延ばすことができます。
また、「忙しくて何度も通院できない」という方にも最適です。通常、たった1回の治療で美しい歯を手に入れることができるため、お仕事や家事、子育てで忙しい方にも選ばれています。
金属アレルギーの心配がなく、複数の色を使い分けることで、あなたの歯の色に合わせた自然で美しい仕上がりが期待できます。銀歯や、古いプラスチックの変色が気になる方にもおすすめです。
| 症例タイトル |
|---|
| 奥歯の複数の虫歯をダイレクトボンディングで治療(20代男性) |
| 所在地 |
| 三重県松阪市 |
| 患者さまの主訴 |
| 気になるところがある |
| 治療内容 |
| 虫歯をダイレクトボンディングで治療した |
| 患者さまの年齢 |
| 20代 |
| 患者さまの性別 |
| 男性 |
| 治療期間 |
| 1日 |
| 治療にかかった総額 |
| 242,000円 |
| 治療する際に起こるメリット |
|
自然な見た目 接着力、耐久性が高く虫歯の再発率が低い。また変色しにくい 金属アレルギーの心配がない |
| 治療する際に起こるリスク・副作用 |
|
強い衝撃で割れることがある 知覚過敏 歯の痛み 腫れ 出血 |
瑞穂区の歯医者
「すずき歯科・矯正歯科」
監修者情報
朝日大学大学院で歯周病学を専攻し博士号を取得。日本歯周病学会 認定医として臨床・研究に従事し、複数の学会に所属。現在はすずき歯科・矯正歯科院長として地域医療に貢献。
院長紹介を見る