瑞穂区の歯医者・矯正歯科
すずき歯科・矯正歯科
完全予約制
名鉄堀田駅徒歩3分
症例

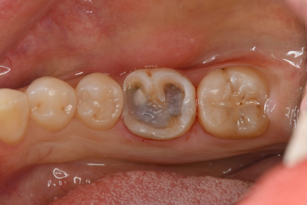
過去に別の歯科医院にて銀歯の詰め物がされており、その下で虫歯が再発していた症例です。
保険治療ご希望で来院されました。
レントゲン検査にて銀歯の下に虫歯の再発が見つかったため、治療の選択肢(保険・自費)とそれぞれのメリットデメリットをお話ししたところ、虫歯の再発のリスクを少しでも抑えたいとのことで自費治療のご希望に変更されました。

この大きさの虫歯は、通常全体を削って被せることでセラミックが割れるリスクを減らすのですが、ご本人様のご希望もありできるだけ歯を削らずに白矢印部を残す形でセラミック(オーバーレイ)を作成しました。

セラミックインレーは素材によってジルコニアとemaxの2種類があり、今回はより適合性が良い(隙間が少ない)emaxインレーを選択しました。
e-maxインレーはジルコニアインレーに比べ強度は劣りますが、歯とセラミックとの隙間が最小限で抑えられるため虫歯予防効果が期待できます。
また、e-maxの作成方法は削り出しではなく、鋳型に合わせてセラミックを射出・プレスするタイプの「e-max press」で作成し、更に隙間を減らす工夫をしております。
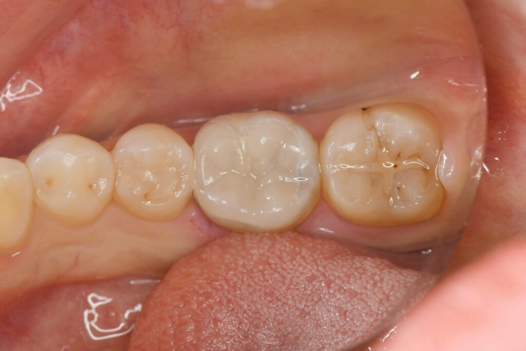
また、セラミックは経年による変色がほとんどないため、長期に美しい色を維持することが可能です。
ただし、氷や硬い食べ物を強く噛むと欠けるリスクがありますので、食事方法には気を遣う必要があります。

治療後のお写真です。
隙間なく歯と接着できていることがわかります。
| 症例タイトル |
|---|
| e-maxセラミックアンレーによる虫歯治療(30代女性) |
| 所在地 |
| 愛知県名古屋市南区 |
| 患者さまの主訴 |
| 虫歯を治したい |
| 治療内容 |
| 虫歯の跡をセラミックアンレーにて補綴処置を行なった。 |
| 患者さまの年齢 |
| 30代 |
| 患者さまの性別 |
| 女性 |
| 治療期間 |
| 2回 |
| 治療にかかった総額 |
| 121,000円 |
| 治療する際に起こるメリット |
| 虫歯の再発リスクの低下、見た目の改善 |
| 治療する際に起こるリスク・副作用 |
| 知覚過敏、神経の痛み、歯茎の腫れ、出血、装着後のセラミックの破折 |
瑞穂区の歯医者
「すずき歯科・矯正歯科」
監修者情報
朝日大学歯学部卒業後、岐阜県の病院勤務を経て、すずき歯科・矯正歯科に勤務。インプラントや矯正治療に精通し、複数の専門学会に所属。副院長を務めている。
副院長紹介を見る