瑞穂区の歯医者・矯正歯科
すずき歯科・矯正歯科
完全予約制
名鉄堀田駅徒歩3分
症例
検診をクリーニングを希望されて来院された方です。今までこまめに歯科医院に通われていたそうですが、レントゲンを撮影していなかったそうで、この度レントゲン写真にて保険の白い詰め物の下に大きな虫歯が見つかったため、ご本人様に治療の必要性と治療の選択肢、それぞれのメリットデメリットをお話ししたところ、患者様は一番良い治療で治したいとのことでしたので、再発率が最も少なく、歯をできるだけ削らないe-maxでの治療を行うこととしました。
すずき歯科・矯正歯科では、年1回のパンラマレントゲン写真は必ず撮るようにしており、隠れた虫歯を見逃さない覚悟で日々の診療を行なっております。

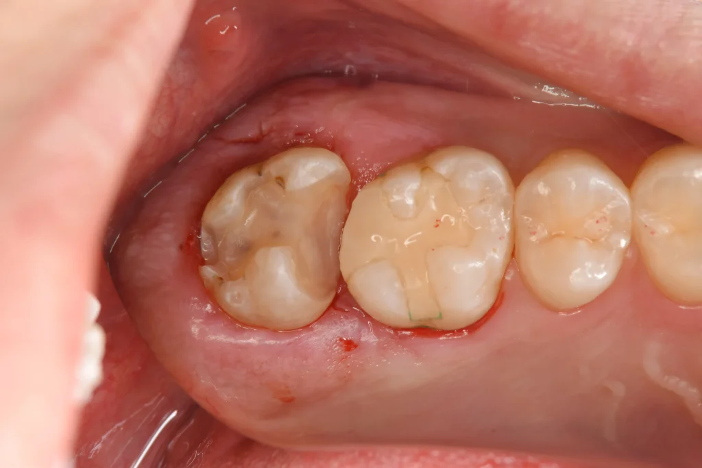
赤い点で、事前に噛む場所を確認しています。虫歯以外の場所で噛んでいないようならe-max治療は行えないためです。

赤丸で囲んだ部位が、カリエスチェッカーにて虫歯を青く染め上げた部分です。かなり大きな虫歯が隠れていたことが再確認できました。

虫歯だけを丁寧に除去後、e-maxのはまる形に修正していきます。

型取り前です。
イーマックス(e.max)治療は、セラミックの中でも特に審美性と耐久性に優れたニケイ酸リチウムガラスセラミックを用いた治療法です。
最大のメリットは、その高い接着性による虫歯予防効果です。イーマックスを歯に強固に接着させることで、詰め物や被せ物と歯の間に隙間ができにくくなります。この隙間の封鎖により、虫歯の原因となる細菌の侵入を防ぎ、二次的な虫歯(虫歯の再発)のリスクを大幅に低減できます。
また、天然歯のような透明感があり、見た目が非常に自然で美しい点も大きな利点です。さらに、金属を使用しないため金属アレルギーの心配がなく、強度も高いため奥歯にも使用可能です。長期間にわたって歯の機能と美しさを維持するのに適した治療と言えます。
| 症例タイトル |
|---|
| 保険の白い詰め物の下に隠れた虫歯をe-maxで再治療(20代男性) |
| 所在地 |
| 愛知県名古屋市昭和区 |
| 患者さまの主訴 |
| 検診とクリーニングをしてほしい |
| 治療内容 |
| 保険の白い詰め物の下に隠れていた虫歯を除去し、e-maxにて再治療を行なった。 |
| 患者さまの年齢 |
| 20代 |
| 患者さまの性別 |
| 男性 |
| 治療期間 |
| 2回 |
| 治療にかかった総額 |
| 77,000円 |
| 治療する際に起こるメリット |
|
歯の破折防止 プラークが付きにくい(清潔) セラミック表面はなめらかで、細菌の付着が少なく虫歯や歯周病の再発リスクが低い。 自然な見た目 変色しにくい 金属アレルギーの心配がない 精度が高い |
| 治療する際に起こるリスク・副作用 |
|
強い衝撃で割れることがある 知覚過敏 歯の痛み 腫れ 出血 |
瑞穂区の歯医者
「すずき歯科・矯正歯科」
監修者情報
朝日大学歯学部卒業後、岐阜県の病院勤務を経て、すずき歯科・矯正歯科に勤務。インプラントや矯正治療に精通し、複数の専門学会に所属。副院長を務めている。
副院長紹介を見る