瑞穂区の歯医者・矯正歯科
すずき歯科・矯正歯科
完全予約制
名鉄堀田駅徒歩3分
症例
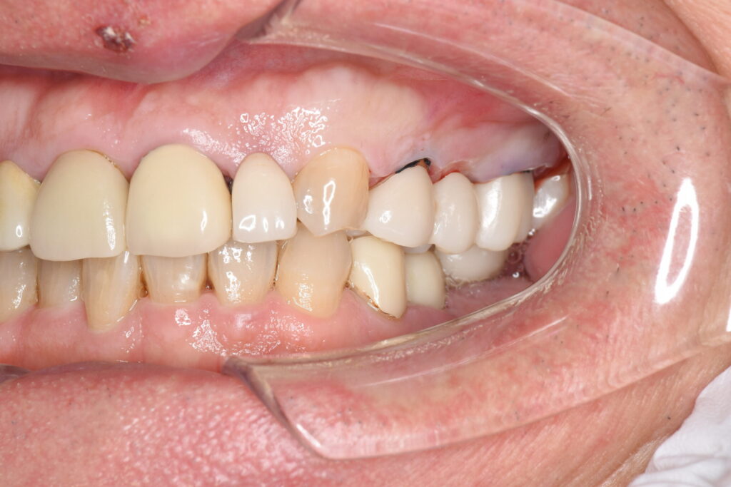
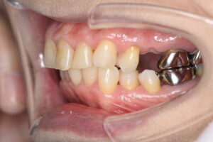
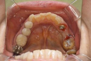
患者様は、奥歯4本の銀歯の色を変えたくて来院されました。虫歯の再発予防もしたいのでセラミックでの治療を希望されており、メリットデメリットと、起こりうるリスクについて説明の後、治療を開始しました。


銀歯のブリッジをセラミック(特に強度の高いジルコニア等)へ変える最大のメリットは、「土台となる歯の寿命を延ばせること」にあります。
ブリッジは欠損部分の両隣の歯を支えにするため、土台の歯には常に大きな負担がかかります。銀歯の場合、経年劣化による変形やセメントの流出によって、土台との間に隙間が生じやすく、そこから二次虫歯が進行して土台ごと失うリスクがありました。対してセラミックは変質せず、歯と強固に接着するため、細菌の侵入を許さず土台の歯をしっかり守り抜きます。
また、清掃性の向上も大きな利点です。ブリッジ特有の「汚れが溜まりやすい連結部分」も、表面が滑らかなセラミックならプラークが付着しにくく、日々のケアで清潔を保ちやすくなります。これにより、ブリッジ周辺の歯周病リスクを大幅に軽減できます。
さらに、金属アレルギーの心配がなく、歯ぐきの黒ずみ(メタルタトゥー)も解消されるため、健康で明るい口元を長期的に維持することが可能になります。
| 症例タイトル |
|---|
| 銀歯を白く!清潔な口元に。 |
| 所在地 |
| 愛知県名古屋市瑞穂区 |
| 患者さまの主訴 |
| 銀歯を白いものに変えたい |
| 治療内容 |
| 銀歯を除去し、ジルコニアブリッジにて補綴処置を行なった。 |
| 患者さまの年齢 |
| 50代 |
| 患者さまの性別 |
| 男性 |
| 治療期間 |
| 2回 |
| 治療にかかった総額 |
| 506,000円 |
| 治療する際に起こるメリット |
|
プラークが付きにくい(清潔) セラミック表面はなめらかで、細菌の付着が少なく虫歯や歯周病の再発リスクが低い。 自然な見た目 変色しにくい 金属アレルギーの心配がない 精度が高い |
| 治療する際に起こるリスク・副作用 |
|
強い衝撃で割れることがある 知覚過敏 歯の痛み 腫れ 出血 |
瑞穂区の歯医者
「すずき歯科・矯正歯科」
監修者情報
朝日大学歯学部卒業後、岐阜県の病院勤務を経て、すずき歯科・矯正歯科に勤務。インプラントや矯正治療に精通し、複数の専門学会に所属。副院長を務めている。
副院長紹介を見る