再根管治療後の奥歯のセラミック治療(20代男性)|瑞穂区の歯医者「すずき歯科・矯正歯科」

瑞穂区の歯医者「すずき歯科・矯正歯科」

完全予約制

家族の健康 ここから。

症例

再根管治療後の奥歯のセラミック治療(20代男性)

歯を抜かない!再根管治療後のセラミック治療

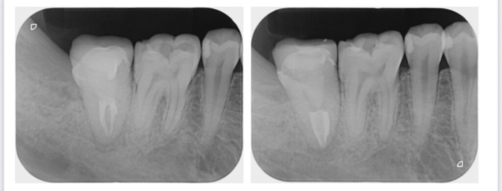
治療前

治療前

治療後

治療後

奥歯複数が痛むときがあるとのことで来院された患者様です。検査の結果、過去に保険の根管治療を行ったところが治っておらず、歯の根の先に病巣が再発しているようでした。

健康保険適応での根管治療は成功率の高い初回でも成功確率が30%以下であり、今回は2回目以降の根管治療なのでさらに成功確率が下がります。

痛みを取って歯を抜かないようにするためには自由診療での根管治療が必要でありましたため、患者様に歯を残すための計画の概要を説明しました。

患者様は自由診療での再根管治療を行い、その後セラミックを被せることを希望されました。

根管治療前後

根尖まで治療が完了していることが分かります。

症例タイトル
再根管治療後の奥歯のセラミック治療(20代男性)
所在地
愛知県常滑市
患者さまの主訴
奥歯が痛い時がある
治療内容
専門医による根管治療後、歯の被せ物をジルコニアを用いて行なった。
患者さまの年齢
20代
患者さまの性別
男性
治療期間
2回
治療にかかった総額
(根管治療を除いて)143,000円
治療する際に起こるメリット
プラークが付きにくい(清潔)
セラミック表面はなめらかで、細菌の付着が少なく虫歯や歯周病の再発リスクが低い。
自然な見た目
変色しにくい
金属アレルギーの心配がない
精度が高い
治療する際に起こるリスク・副作用
強い衝撃で割れることがある
知覚過敏
歯の痛み
腫れ
出血

関連症例

瑞穂区の歯医者
「すずき歯科・矯正歯科」

〒467-0831
愛知県名古屋市瑞穂区惣作町1−29

電話番号 TEL:052-882-8108

診療時間9:00~13:00/14:00~18:00

休診日日曜・祝日

監修者情報

すずき歯科・矯正歯科
院長・歯学博士 鈴木 宏紀

朝日大学大学院で歯周病学を専攻し博士号を取得。日本歯周病学会 認定医として臨床・研究に従事し、複数の学会に所属。現在はすずき歯科・矯正歯科院長として地域医療に貢献。

院長紹介を見る
診療時間
9:00-13:00 ×
14:00-18:00 ×

休診日:日曜・祝日