瑞穂区の歯医者・矯正歯科
すずき歯科・矯正歯科
完全予約制
名鉄堀田駅徒歩3分
症例

1月29日投稿の記事
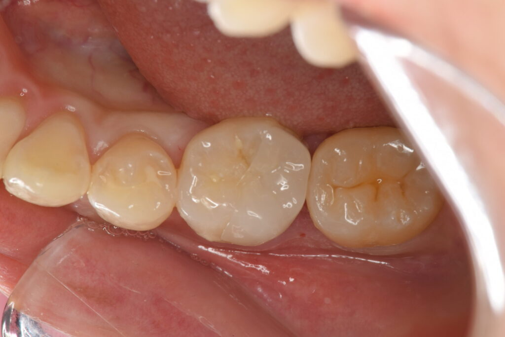
VPT(歯髄温存療法)処置をして1ヶ月後、痛みがなかったためオーバーレイ・テーブルトップベニヤの形成印象を行いました。

合い具合を確かめ、問題がないためラバーダム防湿を行い清潔な状態を作っていきます。


染め出しを行い、余分な汚れをブラシとブラスターで飛ばしていきます。

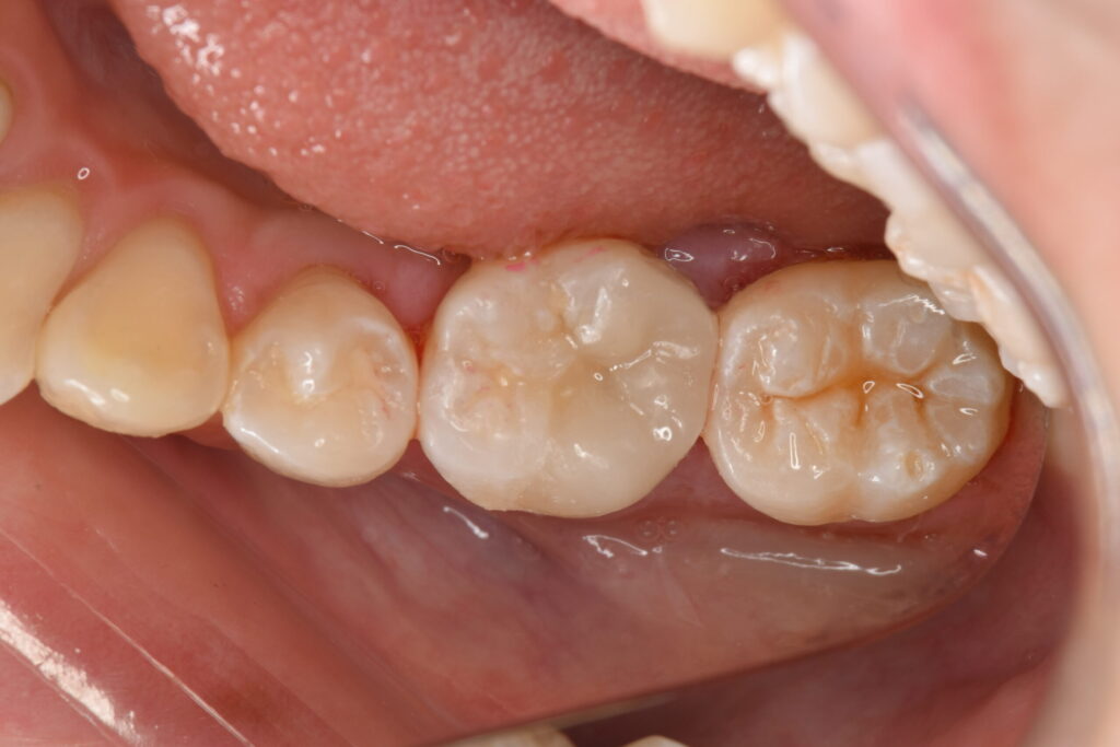
ラバーダム防湿下でセラミックオーバーレイ(テーブルトップベニヤ)を接着しました。

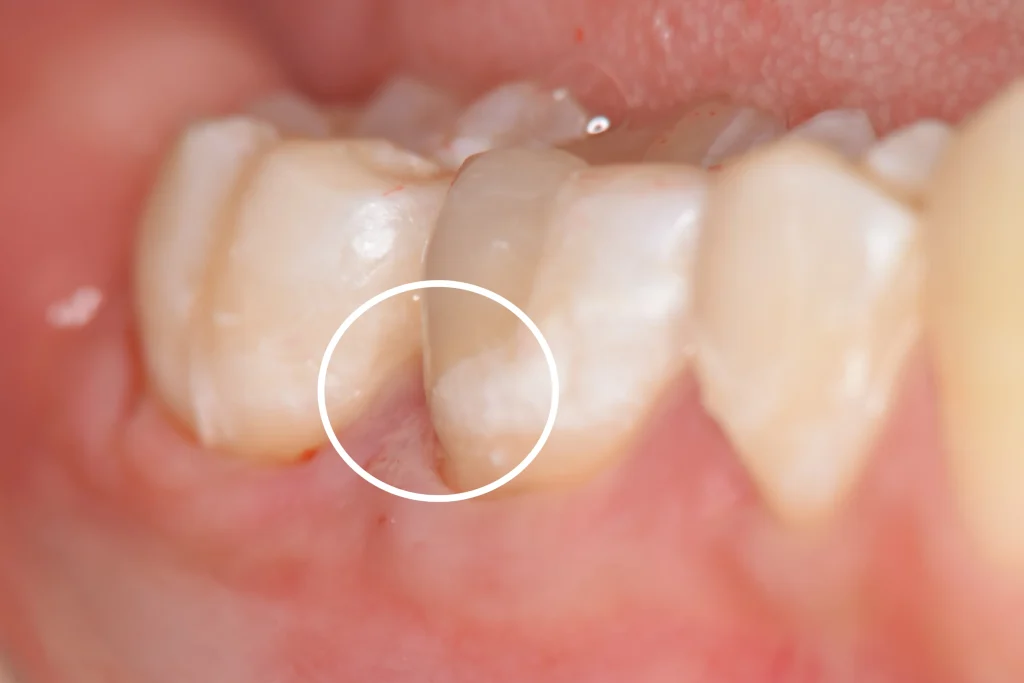
白丸の範囲、隙間が全くないことがわかります。
隙間を作らないことで汚れや細菌が入るスペースを与えず、虫歯の再発予防に寄与すると考えられます。


オーバーレイ(テーブルトップベニヤ、またはアンレー)は、特に奥歯の咬合面(噛み合わせる面)を中心に修復する治療法です。その最大の特長は、クラウン(被せ物)のように歯全体を削る必要がなく、健康な歯質を最大限に温存できる点にあります。これにより、歯の構造的な強度を保ち、歯の寿命を延ばすことに貢献します。また、セラミックなどの材料を用いることで、天然歯に酷似した色調と透明感を再現し、高い審美性を実現します。精密に作製されたオーバーレイは、噛む力を適切に分散させ、長期的な機能と安定性をもたらす、歯を大切にするための治療法です。
| 症例タイトル |
|---|
| 歯髄温存療法後、オーバーレイにてセラミック治療(20代女性) |
| 所在地 |
| 愛知県名古屋市瑞穂区 |
| 患者さまの主訴 |
| 歯が痛い |
| 治療内容 |
| 歯髄温存療法後、オーバーレイにてセラミック治療を行なった。 |
| 患者さまの年齢 |
| 20代 |
| 患者さまの性別 |
| 女性 |
| 治療期間 |
| 2回 |
| 治療にかかった総額 |
| 143000円(VPT歯髄温存療法別) |
| 治療する際に起こるメリット |
|
歯を削る量が少ない 白く美しい歯を手に入れられる 虫歯の再発リスクが低い |
| 治療する際に起こるリスク・副作用 |
| 硬いものを噛むと割れる可能性がある |
瑞穂区の歯医者
「すずき歯科・矯正歯科」
監修者情報
朝日大学歯学部卒業後、岐阜県の病院勤務を経て、すずき歯科・矯正歯科に勤務。インプラントや矯正治療に精通し、複数の専門学会に所属。副院長を務めている。
副院長紹介を見る