瑞穂区の歯医者・矯正歯科
すずき歯科・矯正歯科
完全予約制
名鉄堀田駅徒歩3分
症例

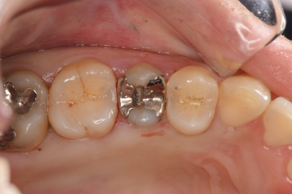
初診時の画像です。銀歯の下に隠れて進んだ虫歯があるため、銀歯を外して虫歯を除去していきます。

虫歯を青く染めるカリエスチェッカーで、虫歯があることが確認できます。

ラバーダム防湿下で、さらに虫歯を除去していきます。

虫歯除去後、歯髄温存療法を行い歯をコーティングしました。


1ヶ月後、痛みがないことが確認できたため被せ物をジルコニアにて行いました。
| 症例タイトル |
|---|
| 銀歯下の虫歯をジルコニアで治療(30代女性) |
| 所在地 |
| 愛知県名古屋市瑞穂区 |
| 患者さまの主訴 |
| 気になる所みてほしい |
| 治療内容 |
| 銀歯の下の虫歯を除去し、ジルコニアでかぶせもの治療を行なった |
| 患者さまの年齢 |
| 30代 |
| 患者さまの性別 |
| 女性 |
| 治療期間 |
| 3回 |
| 治療にかかった総額 |
| 歯髄温存療法、ジルコニア治療 合計187,000円 |
| 治療する際に起こるメリット |
|
8割の確率で神経を保存できる 歯の破折防止 プラークが付きにくい(清潔) セラミック表面はなめらかで、細菌の付着が少なく虫歯や歯周病の再発リスクが低い。 自然な見た目 変色しにくい 金属アレルギーの心配がない 精度が高い |
| 治療する際に起こるリスク・副作用 |
|
強い衝撃で割れることがある 知覚過敏 歯の痛み 腫れ 出血 |
瑞穂区の歯医者
「すずき歯科・矯正歯科」
監修者情報
朝日大学歯学部卒業後、岐阜県の病院勤務を経て、すずき歯科・矯正歯科に勤務。インプラントや矯正治療に精通し、複数の専門学会に所属。副院長を務めている。
副院長紹介を見る