瑞穂区の歯医者・矯正歯科
すずき歯科・矯正歯科
完全予約制
名鉄堀田駅徒歩3分
症例
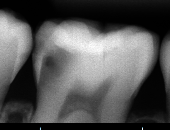
奥歯の痛みを主訴に来院されました。レントゲン検査にて神経近くまでの大きな虫歯が認められたため、MTAセメントによるVPT歯髄温存療法の選択肢とメリットデメリットを説明し、患者様はVPTを希望されました。


虫歯を除去する前に、ラバーダム防湿を行い清潔な状態を再現していきます。

消毒を行い、虫歯を時間をかけて丁寧に除去していきます。

青く染まっている部分が虫歯です

消毒を行い、神経に近い部分はMTAセメントを貼付します。

当日はレジンでの仮の蓋を行い、1ヶ月経過をみて痛みがないようでしたらオーバーレイでのセラミック治療を行なっていきます。(別記事にてその後の処置についてまとめてあります)
歯髄温存療法(生活歯髄療法)の最大のメリットは、歯の神経(歯髄)を可能な限り生きたまま残せる点にあります。歯髄が健全な状態を保つことで、歯に栄養や水分が供給され続け、歯がもろくなるのを防ぎ、結果として歯の寿命を延ばすことができます。また、熱い・冷たいといった刺激を感じる感覚(痛覚)を維持できるため、虫歯の再発などの異変に早期に気づきやすくなります。さらに、抜髄(神経を抜くこと)と比較して、治療後の痛みが少なく、回復が早い傾向にあることも大きな利点です。
| 症例タイトル |
|---|
| VPT歯髄温存療法で神経を残す(20代女性) |
| 所在地 |
| 愛知県名古屋市瑞穂区 |
| 患者さまの主訴 |
| 歯が痛い |
| 治療内容 |
| MTAセメントを用いて神経近くの組織を保護し、神経処置を回避した |
| 患者さまの年齢 |
| 20代 |
| 患者さまの性別 |
| 女性 |
| 治療期間 |
| 1回 |
| 治療にかかった総額 |
| 44000円 |
| 治療する際に起こるメリット |
| 歯の神経を残すことができる可能性がある |
| 治療する際に起こるリスク・副作用 |
| 14%の確率で神経が死んでしまう |
瑞穂区の歯医者
「すずき歯科・矯正歯科」
監修者情報
朝日大学歯学部卒業後、岐阜県の病院勤務を経て、すずき歯科・矯正歯科に勤務。インプラントや矯正治療に精通し、複数の専門学会に所属。副院長を務めている。
副院長紹介を見る