瑞穂区の歯医者・矯正歯科
すずき歯科・矯正歯科
完全予約制
名鉄堀田駅徒歩3分
症例
患者様は当院で定期検診に通われている患者様です。昔親知らずを抜かないまま虫歯処置をしたところが痛み出してご連絡をいただきました。
検査をしたところ、昔に虫歯処置をした部分が再発しており、それにより痛みが出ているようでした。

親知らずがあると今後も再発を繰り返す可能性が高くなるため、事情をお話しして口腔外科にて抜歯、その後、神経に近い部分はMTAを用いたVPT(歯髄温存療法)を行い、1ヶ月痛みがないかを経過観察したのち、補綴処置に入る計画を立てました。
ご本人様の同意が得られたため、抜歯後VPT治療に入りました。

まずはラバーダム防湿を行い、歯の清掃と消毒を徹底します。


神経の露出は認めなかったものの、歯髄腔に近接しているためMTAセメント貼付後、収縮率の低いコンポジットレジンにて保護を行いました。

1ヶ月後、オーバーレイでの形成印象を行い、ラバーダム防湿下で接着処理を行いました。


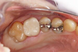
虫歯の再発には歯とセラミックの間に隙間を開けないことが重要です。上の高倍率の写真で見ても、隙間がほとんどないことがわかります。
術後5ヶ月経過していますが、痛みやしみることもなく経過は良好と言えるでしょう。
歯髄温存療法(VPT)とは、深い虫歯などで歯の神経(歯髄)が露出しかけた際、あるいは一部が露出してしまった場合に、神経を抜かずに保存することを目指す治療法です。
従来の歯科治療では、虫歯が神経の近くまで達していると、痛みを取り除き再感染を防ぐために「抜髄(神経を取る処置)」を行うのが一般的でした。しかし、神経を失った歯は栄養の供給が絶たれるため、枯れ木のように脆くなり、将来的な破折や抜歯のリスクが格段に高まってしまいます。
この療法では、高い殺菌作用と組織の再生を促す性質を持つ「MTAセメント」などの生体親和性に優れた薬剤を使用します。露出した神経を適切に保護・封鎖することで、歯本来の機能を維持し、歯の寿命を大幅に延ばすことが可能です。
ただし、この治療が成功するためには、神経に強い炎症が起きていないことが必須条件となります。そのため、マイクロスコープ(歯科用顕微鏡)を用いた精密な除去作業や、ラバーダムによる徹底した無菌化など、高度な技術と設備が求められます。自分の歯を長く残すための、体への負担が少ない「低侵襲」な治療として注目されています。
| 症例タイトル |
|---|
| 歯髄温存療法後、オーバーレイにてセラミック治療(50代女性) |
| 所在地 |
| 愛知県名古屋市瑞穂区 |
| 患者さまの主訴 |
| 左下が痛い気がする |
| 治療内容 |
| 左下親知らずを抜歯後、神経温存療法(VPT治療)を行い、その後オーバーレイ(テーブルトップベニヤ)で補綴処置を行った。 |
| 患者さまの年齢 |
| 50代 |
| 患者さまの性別 |
| 女性 |
| 治療期間 |
| VPT(歯髄温存療法)1回、オーバーレイ(テーブルトップベニヤ)2回 |
| 治療にかかった総額 |
| 192,500円 |
| 治療する際に起こるメリット |
|
歯を削る量が少ない 白く美しい歯を手に入れられる 虫歯の再発リスクが低い 歯の神経を保存できる可能性 |
| 治療する際に起こるリスク・副作用 |
|
硬いものを噛むと割れる可能性がある 成功率は100%ではない 痛みが続く可能性がある |
瑞穂区の歯医者
「すずき歯科・矯正歯科」
監修者情報
朝日大学歯学部卒業後、岐阜県の病院勤務を経て、すずき歯科・矯正歯科に勤務。インプラントや矯正治療に精通し、複数の専門学会に所属。副院長を務めている。
副院長紹介を見る