瑞穂区の歯医者・矯正歯科
すずき歯科・矯正歯科
完全予約制
名鉄堀田駅徒歩3分
症例

歯にものが挟まるとのことで来院された患者様です。レントゲン検査の結果、銀歯の下に虫歯を認めたため現状と治療法の選択肢、治療法の違いによる予後やメリットデメリットをお話ししたところ、歯髄温存療法(VPT治療)でできるだけ神経治療を回避し、被せ物も再発率が低く見た目が綺麗なジルコニアを希望されました。

銀歯を外してみると、大きく虫歯になっていることがわかります。

虫歯が青く染まる「カリエスチェッカー」を用いたところ、奥の方にも虫歯が進行していることが分かりました。

ラバーダム防湿下で虫歯を丁寧に除去し、VPT治療(歯髄温存療法)を行なっていきます。

神経保護処置後です。ここから1ヶ月痛みがないかの経過観察を行い、問題がなければ被せ物の処置に移行していきます。


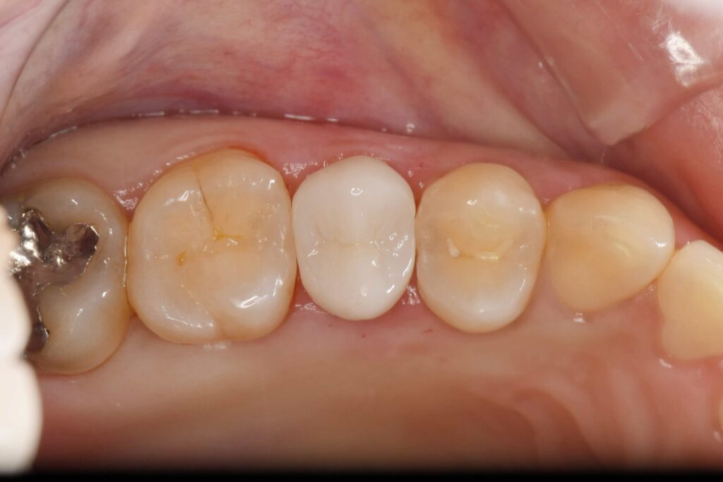
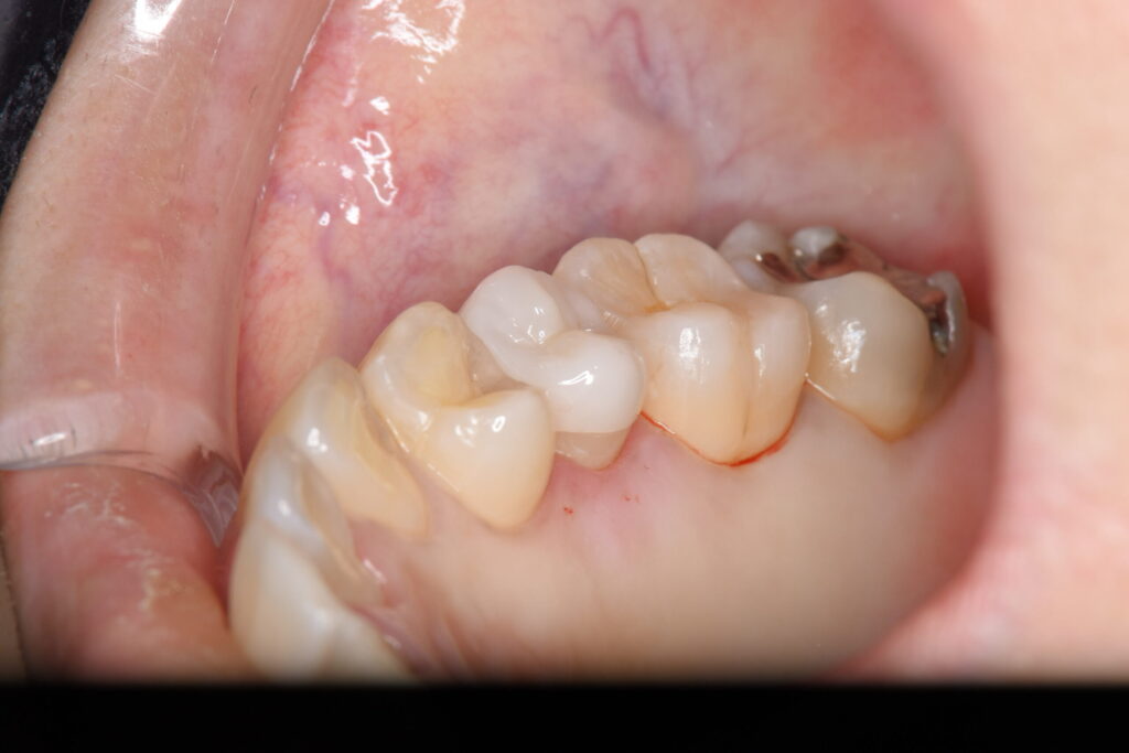
被せ物の試適です。隙間がないことが確認できたため接着を行いました。
歯髄温存療法(VPT)とは、深い虫歯などで神経(歯髄)が露出しかけている、あるいは一部露出してしまった場合に、可能な限り神経を残すための治療法です。
従来、神経の近くまで達した重度の虫歯は「抜髄(神経を取る治療)」が必要とされてきました。しかし、神経を失うと歯に栄養が行き渡らなくなり、歯が脆くなって将来的な破折のリスクが高まります。
この療法では、殺菌作用や封鎖性の高い「MTAセメント」などの特殊な薬剤を使用して神経を保護し、歯の寿命を延ばすことを目指します。ただし、神経に強い炎症がないことが適応条件となるため、事前の精密な診断が不可欠です。
| 症例タイトル |
|---|
| 銀歯の下の虫歯を歯髄温存療法とセラミックで治療(30代女性) |
| 所在地 |
| 愛知県名古屋市瑞穂区 |
| 患者さまの主訴 |
| 気になるところをみてほしい |
| 治療内容 |
| 銀歯の下の虫歯の再発をVPT治療(歯髄温存療法)を行なったのち、ジルコニアの被せ物にて補綴処置を行なった。 |
| 患者さまの年齢 |
| 30代 |
| 患者さまの性別 |
| 女性 |
| 治療期間 |
| VPT歯髄温存療法1回、ジルコニアによる補綴処置2回 |
| 治療にかかった総額 |
| 144,000円 |
| 治療する際に起こるメリット |
|
MTAセメントによる歯髄温存療法の成功確率は86% プラークが付きにくい(清潔) セラミック表面はなめらかで、細菌の付着が少なく虫歯や歯周病の再発リスクが低い。 自然な見た目 変色しにくい 金属アレルギーの心配がない 精度が高い |
| 治療する際に起こるリスク・副作用 |
|
強い衝撃で割れることがある 知覚過敏 歯の痛み 腫れ 出血 |
瑞穂区の歯医者
「すずき歯科・矯正歯科」
監修者情報
朝日大学歯学部卒業後、岐阜県の病院勤務を経て、すずき歯科・矯正歯科に勤務。インプラントや矯正治療に精通し、複数の専門学会に所属。副院長を務めている。
副院長紹介を見る